Rabbit PDZK1 Polyclonal Antibody | anti-PDZK1 antibody
PDZK1 Antibody
Phosphate buffered saline, pH 7.4, 150mM NaCl, 0.02% sodium azide and 50% glycerol.
WB (Western Blot)
(Western blot analysis of A549 whole cell lysates, using PDZK1 Antibody. The lane on the left is treated with the antigen-specific peptide.)
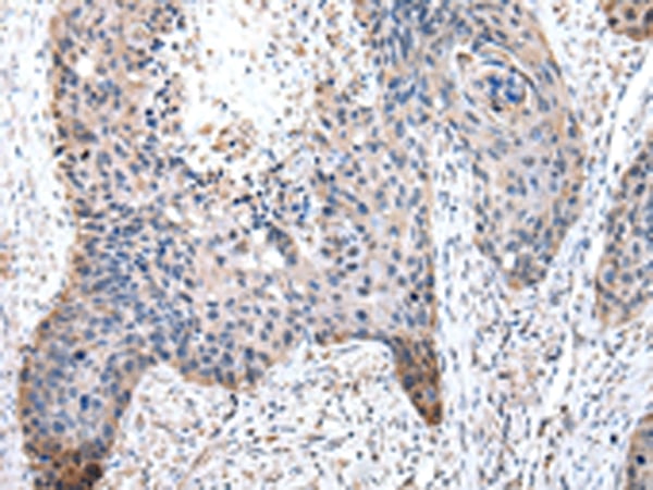
IHC (Immunohistochemistry)
(AAA326976 at 1/100 staining Mouse lung tissue by IHC-P. The sample was formaldehyde fixed and a heat mediated antigen retrieval step in citrate buffer was performed. The sample was then blocked and incubated with the antibody for 1.5 hours at 22 degree C. An HRP conjugated goat anti-rabbit antibody was used as the secondary.)
Function: A scaffold protein that connects plasma membrane proteins and regulatory components, regulating their surface expression in epithelial cells apical domains. May be involved in the coordination of a diverse range of regulatory processes for ion transport and second messenger cascades. In complex with SLC9A3R1, may cluster proteins that are functionally dependent in a mutual fashion and modulate the trafficking and the activity of the associated membrane proteins. May play a role in the cellular mechanisms associated with multidrug resistance through its interaction with ABCC2 and PDZK1IP1. May potentiate the CFTR chloride channel activity. Required for normal cell-surface expression of SCARB1. Plays a role in maintaining normal plasma cholesterol levels via its effects on SCARB1. Plays a role in the normal localization and function of the chloride-anion exchanger SLC26A6 to the plasma membrane in the brush border of the proximal tubule of the kidney. May be involved in the regulation of proximal tubular Na+-dependent inorganic phosphate cotransport therefore playing an important role in tubule function (By similarity).
Subunit Structure: Interacts with PDZK1IP1 and ABCC2. Interacts (via PDZ domains 1 and 3) with SCARB1 (C-terminal domain). Forms a heterodimeric complex with SLC9A3R1. Interacts with AKAP2, BCR, CFTR, SLC22A12, SLC22A4, SLC22A5, SLC9A3R2 and SLC17A1. Component of a complex, composed of PDZK1, SYNGAP1, KLHL17 and NMDA receptors. Interacts (via PDZ1 domain) directly with KLHL17; the interaction is important for integrity of actin cytoskeleton structures in neurons. Interacts (via the first PDZ domain) with PTGIR (via non-isoprenylated C-terminus) (By similarity). Interacts (via C-terminal PDZ domain) with SLC26A6 (via C-terminal domain) (By similarity). Interacts (via C-terminal PDZ domain) with SLC9A3 (via C-terminal domain).
Similarity: The PDZ 2 and 3 domains seem to be involved in the interaction with SLC26A3.Interaction with the C-terminus of CFTR could be mediated through independent binding of PDZ 1, 3 and 4 domains.The PDZ 1 and 3 domains seem to be involved in the interaction with SLCO1A1.The PDZ 1 domain interacts with BCR.The PDZ 2 and 4 domains do not interact with the C-terminal region of SCARB1. Belongs to the NHER family.
NCBI and Uniprot Product Information
Predicted: 58 kDa
Customer Reviews
Loading reviews...
Share Your Experience
Similar Products
Product Notes
The PDZK1 pdzk1 (Catalog #AAA326976) is an Antibody produced from Rabbit and is intended for research purposes only. The product is available for immediate purchase. The PDZK1 Antibody reacts with Human, Mouse, Rat and may cross-react with other species as described in the data sheet. AAA Biotech's PDZK1 can be used in a range of immunoassay formats including, but not limited to, ELISA, IHC (Immunohistochemistry), WB (Western Blot). Researchers should empirically determine the suitability of the PDZK1 pdzk1 for an application not listed in the data sheet. Researchers commonly develop new applications and it is an integral, important part of the investigative research process. It is sometimes possible for the material contained within the vial of "PDZK1, Polyclonal Antibody" to become dispersed throughout the inside of the vial, particularly around the seal of said vial, during shipment and storage. We always suggest centrifuging these vials to consolidate all of the liquid away from the lid and to the bottom of the vial prior to opening. Please be advised that certain products may require dry ice for shipping and that, if this is the case, an additional dry ice fee may also be required.Precautions
All products in the AAA Biotech catalog are strictly for research-use only, and are absolutely not suitable for use in any sort of medical, therapeutic, prophylactic, in-vivo, or diagnostic capacity. By purchasing a product from AAA Biotech, you are explicitly certifying that said products will be properly tested and used in line with industry standard. AAA Biotech and its authorized distribution partners reserve the right to refuse to fulfill any order if we have any indication that a purchaser may be intending to use a product outside of our accepted criteria.Disclaimer
Though we do strive to guarantee the information represented in this datasheet, AAA Biotech cannot be held responsible for any oversights or imprecisions. AAA Biotech reserves the right to adjust any aspect of this datasheet at any time and without notice. It is the responsibility of the customer to inform AAA Biotech of any product performance issues observed or experienced within 30 days of receipt of said product. To see additional details on this or any of our other policies, please see our Terms & Conditions page.Item has been added to Shopping Cart
If you are ready to order, navigate to Shopping Cart and get ready to checkout.
