Rabbit PHOX2A Polyclonal Antibody | anti-PHOX2A antibody
PHOX2A antibody - N-terminal region
WB (Western Blot)
(WB Suggested Anti-PHOX2A Antibody Titration: 0.2-1 ug/mlELISA Titer: 1:1562500Positive Control: 721_B cell lysatePHOX2A is supported by BioGPS gene expression data to be expressed in 721_B)
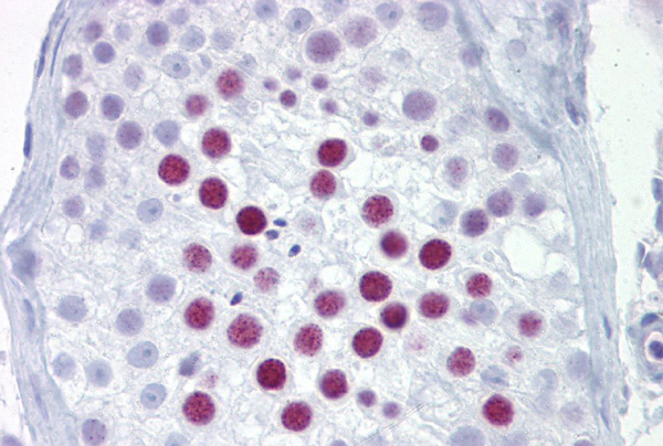
IHC (Immunohistochemistry)
(Immunohistochemistry with Testis tissue at an antibody concentration of 5ug/ml using anti-PHOX2A antibody)
Target Description: PHOX2A contains a paired-like homeodomain most similar to that of the Drosophila aristaless gene product. The encoded protein plays a central role in development of the autonomic nervous system. It regulates the expression of tyrosine hydroxylase and dopamine beta-hydroxylase, two catecholaminergic biosynthetic enzymes essential for the differentiation and maintenance of the noradrenergic neurotransmitter phenotype. PHOX2A has also been shown to regulate transcription of the alpha3 nicotinic acetylcholine receptor gene.The protein encoded by this gene contains a paired-like homeodomain most similar to that of the Drosophila aristaless gene product. The encoded protein plays a central role in development of the autonomic nervous system. It regulates the expression of tyrosine hydroxylase and dopamine beta-hydroxylase, two catecholaminergic biosynthetic enzymes essential for the differentiation and maintenance of the noradrenergic neurotransmitter phenotype. The encoded protein has also been shown to regulate transcription of the alpha3 nicotinic acetylcholine receptor gene. Mutations in this gene have been associated with autosomal recessive congenital fibrosis of the extraocular muscles. Publication Note: This RefSeq record includes a subset of the publications that are available for this gene. Please see the Entrez Gene record to access additional publications.
NCBI and Uniprot Product Information
Customer Reviews
Loading reviews...
Share Your Experience
Similar Products
Product Notes
The PHOX2A phox2a (Catalog #AAA197218) is an Antibody produced from Rabbit and is intended for research purposes only. The product is available for immediate purchase. The PHOX2A antibody - N-terminal region reacts with Cow, Dog, Guinea Pig, Horse, Human, Mouse, Rabbit, Rat, Zebrafish and may cross-react with other species as described in the data sheet. AAA Biotech's PHOX2A can be used in a range of immunoassay formats including, but not limited to, WB (Western Blot), IHC (Immunohistochemistry). Researchers should empirically determine the suitability of the PHOX2A phox2a for an application not listed in the data sheet. Researchers commonly develop new applications and it is an integral, important part of the investigative research process. The amino acid sequence is listed below: Synthetic peptide located within the following region: AVPYKFFPEP SGLHEKRKQR RIRTTFTSAQ LKELERVFAE THYPDIYTRE. It is sometimes possible for the material contained within the vial of "PHOX2A, Polyclonal Antibody" to become dispersed throughout the inside of the vial, particularly around the seal of said vial, during shipment and storage. We always suggest centrifuging these vials to consolidate all of the liquid away from the lid and to the bottom of the vial prior to opening. Please be advised that certain products may require dry ice for shipping and that, if this is the case, an additional dry ice fee may also be required.Precautions
All products in the AAA Biotech catalog are strictly for research-use only, and are absolutely not suitable for use in any sort of medical, therapeutic, prophylactic, in-vivo, or diagnostic capacity. By purchasing a product from AAA Biotech, you are explicitly certifying that said products will be properly tested and used in line with industry standard. AAA Biotech and its authorized distribution partners reserve the right to refuse to fulfill any order if we have any indication that a purchaser may be intending to use a product outside of our accepted criteria.Disclaimer
Though we do strive to guarantee the information represented in this datasheet, AAA Biotech cannot be held responsible for any oversights or imprecisions. AAA Biotech reserves the right to adjust any aspect of this datasheet at any time and without notice. It is the responsibility of the customer to inform AAA Biotech of any product performance issues observed or experienced within 30 days of receipt of said product. To see additional details on this or any of our other policies, please see our Terms & Conditions page.Item has been added to Shopping Cart
If you are ready to order, navigate to Shopping Cart and get ready to checkout.
