Rabbit PHYH Polyclonal Antibody | anti-PHYH antibody
PHYH Polyclonal Antibody
Gene Names
PHYH; RD; LN1; PAHX; LNAP1; PHYH1
Reactivity
Human, Mouse, Rat
Applications
Immunohistochemistry, ELISA
Purity
Antigen affinity purification
Synonyms
PHYH, Antibody; PHYH Polyclonal Antibody; RD; LN1; PAHX; LNAP1; PHYH1; anti-PHYH antibody
Host
Rabbit
Reactivity
Human, Mouse, Rat
Clonality
Polyclonal
Isotype
IgG
Purity/Purification
Antigen affinity purification
Concentration
1.8mg/mL (varies by lot)
Sequence Length
338
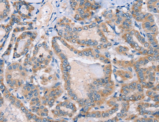
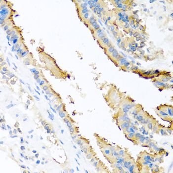
Applicable Applications for anti-PHYH antibody
IHC (Immunohistochemistry), ELISA
Immunogen
Recombinant protein of human PHYH
Buffer
PBS with 0.05% sodium azide, 50% glycerol, pH7.3
Preparation and Storage
Store at -20 degree C (regular) and -80 degree C (long term). Avoid freeze / thaw cycles.
Related Product Information for anti-PHYH antibody
This gene is a member of the PhyH family and encodes a peroxisomal protein that is involved in the alpha-oxidation of 3-methyl branched fatty acids. Specifically, this protein converts phytanoyl-CoA to 2-hydroxyphytanoyl-CoA. Mutations in this gene have been associated with Refsum disease (RD) and deficient protein activity has been associated with Zellweger syndrome and rhizomelic chondrodysplasia punctata. Alternate transcriptional splice variants, encoding different isoforms, have been characterized.
NCBI and Uniprot Product Information
NCBI GI #
NCBI GeneID
Molecular Weight
27,291 Da
NCBI Official Full Name
PHYH, partial
NCBI Official Synonym Full Names
phytanoyl-CoA 2-hydroxylase
NCBI Official Symbol
PHYH
NCBI Official Synonym Symbols
RD; LN1; PAHX; LNAP1; PHYH1
NCBI Protein Information
phytanoyl-CoA dioxygenase, peroxisomal; phytanic acid oxidase; phytanoil-CoA alpha hydroxylase; phytanoyl-CoA 2 oxoglutarate dioxygenase; phytanoyl-CoA alpha-hydroxylase
UniProt Protein Name
Phytanoyl-CoA dioxygenase, peroxisomal
UniProt Gene Name
PHYH
UniProt Synonym Gene Names
PAHX; PhyH
UniProt Entry Name
PAHX_HUMAN
Customer Reviews
Loading reviews...
Share Your Experience
Similar Products
Product Notes
The PHYH phyh (Catalog #AAA168684) is an Antibody produced from Rabbit and is intended for research purposes only. The product is available for immediate purchase. The PHYH Polyclonal Antibody reacts with Human, Mouse, Rat and may cross-react with other species as described in the data sheet. AAA Biotech's PHYH can be used in a range of immunoassay formats including, but not limited to, IHC (Immunohistochemistry), ELISA. Researchers should empirically determine the suitability of the PHYH phyh for an application not listed in the data sheet. Researchers commonly develop new applications and it is an integral, important part of the investigative research process. It is sometimes possible for the material contained within the vial of "PHYH, Polyclonal Antibody" to become dispersed throughout the inside of the vial, particularly around the seal of said vial, during shipment and storage. We always suggest centrifuging these vials to consolidate all of the liquid away from the lid and to the bottom of the vial prior to opening. Please be advised that certain products may require dry ice for shipping and that, if this is the case, an additional dry ice fee may also be required.Precautions
All products in the AAA Biotech catalog are strictly for research-use only, and are absolutely not suitable for use in any sort of medical, therapeutic, prophylactic, in-vivo, or diagnostic capacity. By purchasing a product from AAA Biotech, you are explicitly certifying that said products will be properly tested and used in line with industry standard. AAA Biotech and its authorized distribution partners reserve the right to refuse to fulfill any order if we have any indication that a purchaser may be intending to use a product outside of our accepted criteria.Disclaimer
Though we do strive to guarantee the information represented in this datasheet, AAA Biotech cannot be held responsible for any oversights or imprecisions. AAA Biotech reserves the right to adjust any aspect of this datasheet at any time and without notice. It is the responsibility of the customer to inform AAA Biotech of any product performance issues observed or experienced within 30 days of receipt of said product. To see additional details on this or any of our other policies, please see our Terms & Conditions page.Item has been added to Shopping Cart
If you are ready to order, navigate to Shopping Cart and get ready to checkout.
