Rabbit PI3 Kinase Class III Polyclonal Antibody | anti-Pik3c3 antibody
Phospho-PI3 Kinase Class III (Ser244/249) Antibody
Predicted: Pig, Bovine, Horse, Sheep, Rabbit, Chicken, Xenopus
Predicted: Pig, Bovine, Horse, Sheep, Rabbit, Chicken, Xenopus
WB (Western Blot)
(Western blot analysis of Phospho-PI3 Kinase Class III (Ser244/249) in lysates of 293T?, using Phospho-PI3 Kinase Class III (Ser244/249) Antibody.)
IHC (Immunohiostchemistry)
(At 1/100 staining mouse kidney tissue sections by IHC-P. The tissue was formaldehyde fixed and a heat mediated antigen retrieval step in citrate buffer was performed. The tissue was then blocked and incubated with the antibody for 1.5 hours at 22 degree C. An HRP conjugated goat anti-rabbit antibody was used as the secondary)
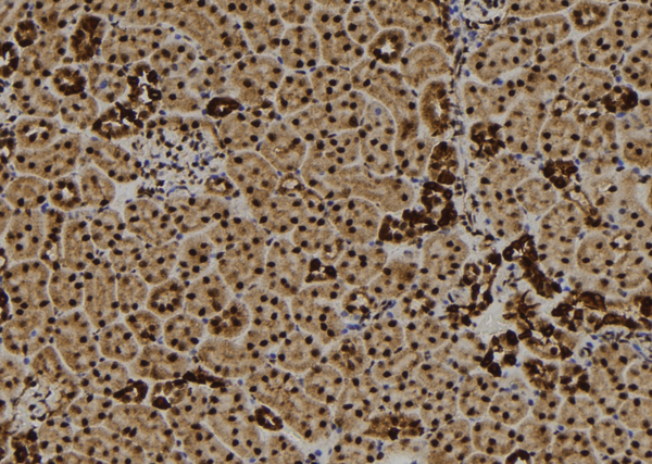
IHC (Immunohistochemistry)
(At 1/100 staining mouse liver tissue sections by IHC-P. The tissue was formaldehyde fixed and a heat mediated antigen retrieval step in citrate buffer was performed. The tissue was then blocked and incubated with the antibody for 1.5 hours at 22 degree C. An HRP conjugated goat anti-rabbit antibody was used as the secondary)
Subunit Structure: Component of the PI3K (PI3KC3/PI3K-III/class III phosphatidylinositol 3-kinase) complex the core of which is composed of the catalytic subunit PIK3C3, the regulatory subunit PIK3R4 and BECN1 associating with additional regulatory/auxilliary subunits to form alternative complex forms. Alternative complex forms containing a forth regulatory subunit in a mutually exclusive manner are: the PI3K complex I (PI3KC3-C1) containing ATG14, and the PI3K complex II (PI3KC3-C2) containing UVRAG. PI3KC3-C1 displays a V-shaped architecture with PIK3R4 serving as a bridge between PIK3C3 and the ATG14:BECN1 subcomplex. Both, PI3KC3-C1 and PI3KC3-C2, can associate with further regulatory subunits such as RUBCN, SH3GLB1/Bif-1 and AMBRA1 (PubMed:7628435, PubMed:19050071, PubMed:20643123, PubMed:19270696, PubMed:23878393, PubMed:25490155). PI3KC3-C1 probably associates with PIK3CB (By similarity). Interacts with RAB7A in the presence of PIK3R4 (PubMed:14617358). Interacts with AMBRA1 (By similarity). Interacts with BECN1P1/BECN2 (PubMed:23954414). Interacts with SLAMF1(PubMed:22493499). May be a component of a complex composed of RAB5A (in GDP-bound form), DYN2 and PIK3C3 (By similarity). Interacts with NCKAP1L (PubMed:16417406).
Similarity: Belongs to the PI3/PI4-kinase family.
NCBI and Uniprot Product Information
Predicted: 102 kDa
Customer Reviews
Loading reviews...
Share Your Experience
Similar Products
Product Notes
The Pik3c3 pik3c3 (Catalog #AAA328539) is an Antibody produced from Rabbit and is intended for research purposes only. The product is available for immediate purchase. The Phospho-PI3 Kinase Class III (Ser244/249) Antibody reacts with Human, Mouse, Rat Predicted: Pig, Bovine, Horse, Sheep, Rabbit, Chicken, Xenopus and may cross-react with other species as described in the data sheet. AAA Biotech's PI3 Kinase Class III can be used in a range of immunoassay formats including, but not limited to, ELISA (Peptide ELISA), IHC (Immunohistochemistry), WB (Western Blot). Researchers should empirically determine the suitability of the Pik3c3 pik3c3 for an application not listed in the data sheet. Researchers commonly develop new applications and it is an integral, important part of the investigative research process. It is sometimes possible for the material contained within the vial of "PI3 Kinase Class III, Polyclonal Antibody" to become dispersed throughout the inside of the vial, particularly around the seal of said vial, during shipment and storage. We always suggest centrifuging these vials to consolidate all of the liquid away from the lid and to the bottom of the vial prior to opening. Please be advised that certain products may require dry ice for shipping and that, if this is the case, an additional dry ice fee may also be required.Precautions
All products in the AAA Biotech catalog are strictly for research-use only, and are absolutely not suitable for use in any sort of medical, therapeutic, prophylactic, in-vivo, or diagnostic capacity. By purchasing a product from AAA Biotech, you are explicitly certifying that said products will be properly tested and used in line with industry standard. AAA Biotech and its authorized distribution partners reserve the right to refuse to fulfill any order if we have any indication that a purchaser may be intending to use a product outside of our accepted criteria.Disclaimer
Though we do strive to guarantee the information represented in this datasheet, AAA Biotech cannot be held responsible for any oversights or imprecisions. AAA Biotech reserves the right to adjust any aspect of this datasheet at any time and without notice. It is the responsibility of the customer to inform AAA Biotech of any product performance issues observed or experienced within 30 days of receipt of said product. To see additional details on this or any of our other policies, please see our Terms & Conditions page.Item has been added to Shopping Cart
If you are ready to order, navigate to Shopping Cart and get ready to checkout.
