Rabbit Pin1 Polyclonal Antibody | anti-Pin1 antibody
Phospho-Pin1 (Ser16) Antibody
Phosphate buffered saline, pH 7.4, 150mM NaCl, 0.02% sodium azide and 50% glycerol.
WB (Western Blot)
(Western blot analysis of Phospho-Pin1 (Ser16) Antibody expression in Insulin treated COS7 cells lysates.The lane on the right is treated with the antigen-specific peptide.)
IF (Immunofluorescence)
(AAA321720 staining COS7 by IF/ICC. The sample were fixed with PFA and permeabilized in 0.1% Triton X-100, then blocked in 10% serum for 45 minutes at 25 degree C. The primary antibody was diluted at 1/200 and incubated with the sample for 1 hour at 37 degree C. An Alexa Fluor 594 conjugated goat anti-rabbit IgG (H+L) Ab, diluted at 1/600, was used as the secondary antibody.)
WB (Western Blot)
(Western blot analysis of Pin1 phosphorylation expression in Insulin treated COS7 whole cell lysates, The lane on the left is treated with the antigen-specific peptide.)
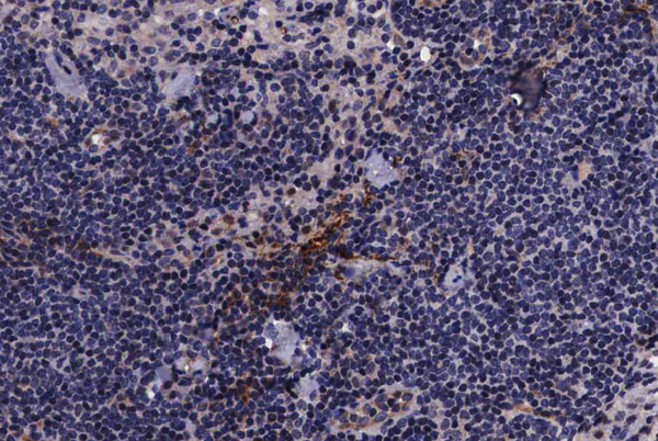
IHC (Immunohistochemistry)
(AAA321720 at 1/200 staining human lymph node tissue sections by IHC-P. The tissue was formaldehyde fixed and a heat mediated antigen retrieval step in citrate buffer was performed. The tissue was then blocked and incubated with the antibody for 1.5 hours at 22 degree C. An HRP conjugated goat anti-rabbit antibody was used as the secondary.)
Function: Peptidyl-prolyl cis/trans isomerase (PPIase) that binds to and isomerizes specific phosphorylated Ser/Thr-Pro (pSer/Thr-Pro) motifs. By inducing conformational changes in a subset of phosphorylated proteins, acts as a molecular switch in multiple cellular processes (PubMed:21497122, PubMed:22033920, PubMed:23623683). Displays a preference for acidic residues located N-terminally to the proline bond to be isomerized. Regulates mitosis presumably by interacting with NIMA and attenuating its mitosis-promoting activity. Down-regulates kinase activity of BTK (PubMed:16644721). Can transactivate multiple oncogenes and induce centrosome amplification, chromosome instability and cell transformation. Required for the efficient dephosphorylation and recycling of RAF1 after mitogen activation (PubMed:15664191). Binds and targets PML and BCL6 for degradation in a phosphorylation-dependent manner (PubMed:17828269). Acts as a regulator of JNK cascade by binding to phosphorylated FBXW7, disrupting FBXW7 dimerization and promoting FBXW7 autoubiquitination and degradation: degradation of FBXW7 leads to subsequent stabilization of JUN (PubMed:22608923). May facilitate the ubiquitination and proteasomal degradation of RBBP8/CtIP through CUL3/KLHL15 E3 ubiquitin-protein ligase complex, hence favors DNA double-strand repair through error-prone non-homologous end joining (NHEJ) over error-free, RBBP8-mediated homologous recombination (HR) (PubMed:23623683, PubMed:27561354).
Subunit Structure: Interacts with STIL. Interacts with KIF20B. Interacts with NEK6. Interacts (via WW domain) with PRKX. Interacts with BTK. Interacts (via PpiC domain) with DAPK1. Interacts with the phosphorylated form of RAF1. Interacts (via WW domain) with ATCAY; upon NGF stimulation. Interacts with PML (isoform PML-4) and BCL-6. Interacts with FBXW7, disrupting FBXW7 dimerization and promoting FBXW7 autoubiquitination and degradation (PubMed:22608923). Directly interacts with RBBP8/CtIP; this interaction depends upon RBBP8 phosphorylation (PubMed:23623683).
Post-translational Modifications: Phosphorylation at Ser-71 by DAPK1 results in inhibition of its catalytic activity, nuclear localization, and its ability to induce centrosome amplification, chromosome instability and cell transformation.
Similarity: The WW domain is required for the interaction with STIL and KIF20B.
NCBI and Uniprot Product Information
Predicted: 19 kDa
Customer Reviews
Loading reviews...
Share Your Experience
Similar Products
Product Notes
The Pin1 pin1 (Catalog #AAA321720) is an Antibody produced from Rabbit and is intended for research purposes only. The product is available for immediate purchase. The Phospho-Pin1 (Ser16) Antibody reacts with Human, Mouse, Rat, Monkey and may cross-react with other species as described in the data sheet. AAA Biotech's Pin1 can be used in a range of immunoassay formats including, but not limited to, ELISA, ICC (Immunocytochemistry), IF (Immunofluorescence), IHC (Immunohistochemistry), WB (Western Blot). Researchers should empirically determine the suitability of the Pin1 pin1 for an application not listed in the data sheet. Researchers commonly develop new applications and it is an integral, important part of the investigative research process. It is sometimes possible for the material contained within the vial of "Pin1, Polyclonal Antibody" to become dispersed throughout the inside of the vial, particularly around the seal of said vial, during shipment and storage. We always suggest centrifuging these vials to consolidate all of the liquid away from the lid and to the bottom of the vial prior to opening. Please be advised that certain products may require dry ice for shipping and that, if this is the case, an additional dry ice fee may also be required.Precautions
All products in the AAA Biotech catalog are strictly for research-use only, and are absolutely not suitable for use in any sort of medical, therapeutic, prophylactic, in-vivo, or diagnostic capacity. By purchasing a product from AAA Biotech, you are explicitly certifying that said products will be properly tested and used in line with industry standard. AAA Biotech and its authorized distribution partners reserve the right to refuse to fulfill any order if we have any indication that a purchaser may be intending to use a product outside of our accepted criteria.Disclaimer
Though we do strive to guarantee the information represented in this datasheet, AAA Biotech cannot be held responsible for any oversights or imprecisions. AAA Biotech reserves the right to adjust any aspect of this datasheet at any time and without notice. It is the responsibility of the customer to inform AAA Biotech of any product performance issues observed or experienced within 30 days of receipt of said product. To see additional details on this or any of our other policies, please see our Terms & Conditions page.Item has been added to Shopping Cart
If you are ready to order, navigate to Shopping Cart and get ready to checkout.
