Rabbit PKD2 Polyclonal Antibody | anti-PKD2 antibody
Phospho-PKD2(Ser812) Antibody
Phosphate buffered saline, pH 7.4, 150mM NaCl, 0.02% sodium azide and 50% glycerol.
WB (Western Blot)
(Western blot analysis of extracts of NIH/3T3 cells, using Phospho-PKD2(Ser812) Antibody.)
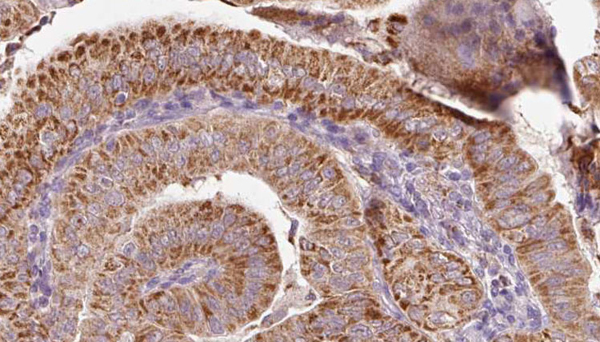
IHC (Immunohistochemistry)
(AAA321297 at 1/100 staining Human thyroid cancer tissue by IHC-P. The sample was formaldehyde fixed and a heat mediated antigen retrieval step in citrate buffer was performed. The sample was then blocked and incubated with the antibody for 1.5 hours at 22 degree C. An HRP conjugated goat anti-rabbit antibody was used as the secondary.)
Subunit Structure: Homotetramer (PubMed:20881056, PubMed:27768895, PubMed:27991905, PubMed:28092368). Interacts with PKD1, giving rise to a complex formed by one PKD1 chain and a PKD2 homooligomer (PubMed:20881056, PubMed:19556541). In vitro results suggest assembly of a complex composed of one PKD1 chain and a PKD2 trimer; the physiological significance of this is uncertain (PubMed:19556541). Isoform 1 interacts with PKD1 while isoform 3 does not (By similarity). Interacts with PKD1L1. PKD1 requires the presence of PKD2 for stable expression (By similarity). Interacts with CD2AP (PubMed:10913159). Interacts with HAX1 (PubMed:10760273). Interacts with NEK8 (By similarity). Part of a complex containing AKAP5, ADCY5, ADCY6 and PDE4C (By similarity). Interacts (via C-terminus) with TRPV4 (via C-terminus) (PubMed:18695040). Interacts (via C-terminal acidic region) with PACS1 and PACS2; these interactions retain the protein in the endoplasmic reticulum and prevent trafficking to the cell membrane (PubMed:15692563).
Post-translational Modifications: Phosphorylated. Phosphorylation is important for protein function; a mutant that lacks the N-terminal phosphorylation sites cannot complement a zebrafish pkd2-deficient mutant (PubMed:16551655). PKD-mediated phosphorylation at the C-terminus regulates its function in the release of Ca2+ stores from the endoplasmic reticulum (PubMed:20881056). PKA-mediated phosphorylation at a C-terminal site strongly increases the open probability of the channel, but does not increase single channel conductance (PubMed:26269590). N-glycosylated. The four subunits in a tetramer probably differ in the extent of glycosylation; simultaneous glycosylation of all experimentally validated sites would probably create steric hindrance. Thus, glycosylation at Asn-305 is not compatible with glycosylation at Asn-328; only one of these two residues is glycosylated at a given time.
Similarity: The C-terminal coiled-coil domain is involved in oligomerization and the interaction with PKD1 (PubMed:18694932, PubMed:19556541). The isolated coiled-coil domain forms a homotrimer in vitro; the homotrimer interacts with a single PKD1 chain (PubMed:19556541). The coiled-coil domain binds calcium and undergoes a calcium-induced conformation change (in vitro) (PubMed:18694932). Belongs to the polycystin family.
NCBI and Uniprot Product Information
Predicted: 110 kDa
Customer Reviews
Loading reviews...
Share Your Experience
Similar Products
Product Notes
The PKD2 pkd2 (Catalog #AAA321297) is an Antibody produced from Rabbit and is intended for research purposes only. The product is available for immediate purchase. The Phospho-PKD2(Ser812) Antibody reacts with Human, Mouse, Rat and may cross-react with other species as described in the data sheet. AAA Biotech's PKD2 can be used in a range of immunoassay formats including, but not limited to, IHC (Immunohistochemistry), WB (Western Blot). Researchers should empirically determine the suitability of the PKD2 pkd2 for an application not listed in the data sheet. Researchers commonly develop new applications and it is an integral, important part of the investigative research process. It is sometimes possible for the material contained within the vial of "PKD2, Polyclonal Antibody" to become dispersed throughout the inside of the vial, particularly around the seal of said vial, during shipment and storage. We always suggest centrifuging these vials to consolidate all of the liquid away from the lid and to the bottom of the vial prior to opening. Please be advised that certain products may require dry ice for shipping and that, if this is the case, an additional dry ice fee may also be required.Precautions
All products in the AAA Biotech catalog are strictly for research-use only, and are absolutely not suitable for use in any sort of medical, therapeutic, prophylactic, in-vivo, or diagnostic capacity. By purchasing a product from AAA Biotech, you are explicitly certifying that said products will be properly tested and used in line with industry standard. AAA Biotech and its authorized distribution partners reserve the right to refuse to fulfill any order if we have any indication that a purchaser may be intending to use a product outside of our accepted criteria.Disclaimer
Though we do strive to guarantee the information represented in this datasheet, AAA Biotech cannot be held responsible for any oversights or imprecisions. AAA Biotech reserves the right to adjust any aspect of this datasheet at any time and without notice. It is the responsibility of the customer to inform AAA Biotech of any product performance issues observed or experienced within 30 days of receipt of said product. To see additional details on this or any of our other policies, please see our Terms & Conditions page.Item has been added to Shopping Cart
If you are ready to order, navigate to Shopping Cart and get ready to checkout.
