Rabbit PLK1 Polyclonal Antibody | anti-PLK1 antibody
Phospho-PLK1 (Tyr217) Antibody
Predicted: Pig, Zebrafish, Bovine, Horse, Sheep, Rabbit, Dog, Xenopus
Predicted: Pig, Zebrafish, Bovine, Horse, Sheep, Rabbit, Dog, Xenopus
WB (Western Blot)
(Western blot analysis of Phospho-PLK1 (Tyr217) in lysates of Hela?, using Phospho-PLK1 (Tyr217) Antibody.)
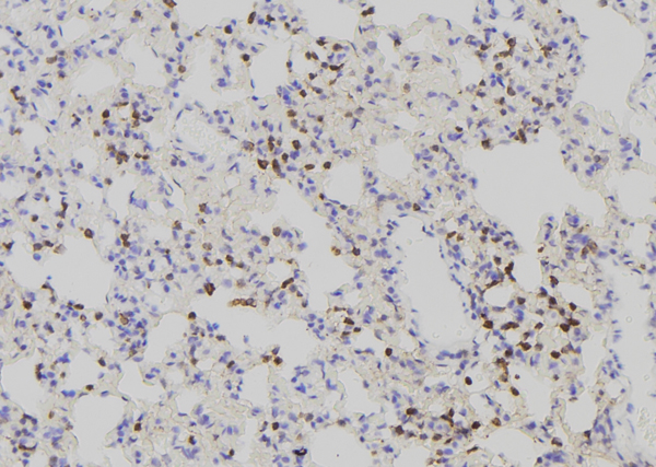
IHC (Immunohistochemistry)
(At 1/100 staining rat lung tissue sections by IHC-P. The tissue was formaldehyde fixed and a heat mediated antigen retrieval step in citrate buffer was performed. The tissue was then blocked and incubated with the antibody for 1.5 hours at 22 degree C. An HRP conjugated goat anti-rabbit antibody was used as the secondary)
Post Translational Modifications: Catalytic activity is enhanced by phosphorylation of Thr-210. Phosphorylation at Thr-210 is first detected on centrosomes in the G2 phase of the cell cycle, peaks in prometaphase and gradually disappears from centrosomes during anaphase. Dephosphorylation at Thr-210 at centrosomes is probably mediated by protein phosphatase 1C (PP1C), via interaction with PPP1R12A/MYPT1. Autophosphorylation and phosphorylation of Ser-137 may not be significant for the activation of PLK1 during mitosis, but may enhance catalytic activity during recovery after DNA damage checkpoint. Phosphorylated in vitro by STK10. Ubiquitinated by the anaphase promoting complex/cyclosome (APC/C) in anaphase and following DNA damage, leading to its degradation by the proteasome. Ubiquitination is mediated via its interaction with FZR1/CDH1. Ubiquitination and subsequent degradation prevents entry into mitosis and is essential to maintain an efficient G2 DNA damage checkpoint. Monoubiquitination at Lys-492 by the BCR(KLHL22) ubiquitin ligase complex does not lead to degradation: it promotes PLK1 dissociation from phosphoreceptor proteins and subsequent removal from kinetochores, allowing silencing of the spindle assembly checkpoint (SAC) and chromosome segregation.
Subunit Structure: Interacts with CEP170 and EVI5. Interacts and phosphorylates ERCC6L. Interacts with FAM29A. Interacts with SLX4/BTBD12 and TTDN1. Interacts with BUB1B. Interacts (via POLO-box domain) with the phosphorylated form of BUB1, CENPU and CDC25C. Interacts with isoform 3 of SGO1. Interacts with BORA, KIF2A and AURKA. Interacts with TOPORS and CYLD. Interacts with ECT2; the interaction is stimulated upon phosphorylation of ECT2 on 'Thr-444'. Interacts with PRC1. Interacts with KIF20A/MKLP2 (when phosphorylated), leading to the recruitment at the central spindle. Interacts (via POLO box domains) with PPP1R12A/MYPT1 (when previously phosphorylated by CDK1). Part of an astrin (SPAG5)-kinastrin (SKAP) complex containing KNSTRN, SPAG5, PLK1, DYNLL1 and SGO2. Interacts with BIRC6/bruce. Interacts with CDK1-phosphorylated FRY; this interaction occurs in mitotic cells, but not in interphase cells. FRY interaction facilitates AURKA-mediated PLK1 phosphorylation. Interacts with CDK1-phosphorylated DCTN6 during mitotic prometaphase; the interaction facilitates recruitment to kinetochores. Interacts with CEP68; the interaction phosphorylates CEP68 (PubMed:25503564). Interacts (via POLO-box domain) with DCTN1 (PubMed:20679239). Interacts with FOPNL in later G1, S, G2 and M phases of the cell cycle; this interaction recruits PLK1 to centrosomes, a step required for S phase progression (PubMed:24018379). Interacts with HSF1; this interaction increases upon heat shock but does not modulate neither HSF1 homotrimerization nor DNA-binding activities (PubMed:15661742, PubMed:18794143). Interacts with HNRNPU; this interaction induces phosphorylation of HNRNPU in mitosis (PubMed:25986610). Interacts (via its N-terminus) to RIOK2 (PubMed:21880710).
Similarity: The POLO box domains act as phosphopeptide-binding module that recognize and bind serine-[phosphothreonine/phosphoserine]-(proline/X) motifs. PLK1 recognizes and binds docking proteins that are already phosphorylated on these motifs, and then phosphorylates them. PLK1 can also create its own docking sites by mediating phosphorylation of serine-[phosphothreonine/phosphoserine]-(proline/X) motifs subsequently recognized by the POLO box domains. Belongs to the protein kinase superfamily. Ser/Thr protein kinase family. CDC5/Polo subfamily.
NCBI and Uniprot Product Information
Predicted: 69 kDa
Customer Reviews
Loading reviews...
Share Your Experience
Similar Products
Product Notes
The PLK1 plk1 (Catalog #AAA328466) is an Antibody produced from Rabbit and is intended for research purposes only. The product is available for immediate purchase. The Phospho-PLK1 (Tyr217) Antibody reacts with Human, Mouse, Rat Predicted: Pig, Zebrafish, Bovine, Horse, Sheep, Rabbit, Dog, Xenopus and may cross-react with other species as described in the data sheet. AAA Biotech's PLK1 can be used in a range of immunoassay formats including, but not limited to, ELISA (Peptide ELISA), IHC (Immunohistochemistry), WB (Western Blot). Researchers should empirically determine the suitability of the PLK1 plk1 for an application not listed in the data sheet. Researchers commonly develop new applications and it is an integral, important part of the investigative research process. It is sometimes possible for the material contained within the vial of "PLK1, Polyclonal Antibody" to become dispersed throughout the inside of the vial, particularly around the seal of said vial, during shipment and storage. We always suggest centrifuging these vials to consolidate all of the liquid away from the lid and to the bottom of the vial prior to opening. Please be advised that certain products may require dry ice for shipping and that, if this is the case, an additional dry ice fee may also be required.Precautions
All products in the AAA Biotech catalog are strictly for research-use only, and are absolutely not suitable for use in any sort of medical, therapeutic, prophylactic, in-vivo, or diagnostic capacity. By purchasing a product from AAA Biotech, you are explicitly certifying that said products will be properly tested and used in line with industry standard. AAA Biotech and its authorized distribution partners reserve the right to refuse to fulfill any order if we have any indication that a purchaser may be intending to use a product outside of our accepted criteria.Disclaimer
Though we do strive to guarantee the information represented in this datasheet, AAA Biotech cannot be held responsible for any oversights or imprecisions. AAA Biotech reserves the right to adjust any aspect of this datasheet at any time and without notice. It is the responsibility of the customer to inform AAA Biotech of any product performance issues observed or experienced within 30 days of receipt of said product. To see additional details on this or any of our other policies, please see our Terms & Conditions page.Item has been added to Shopping Cart
If you are ready to order, navigate to Shopping Cart and get ready to checkout.
