Host
Rabbit
Clonality
Polyclonal
Specificity
Human and predicted against mouse and rat.
Purity/Purification
Affinity purified
Form/Format
PBS, pH 7.4 with 0.02% Sodium Azide
Concentration
1.0 mg/ml (varies by lot)
Sequence Length
500
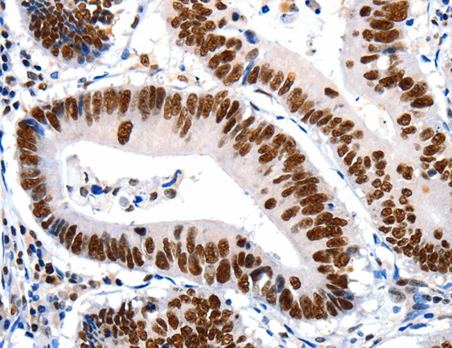
Applicable Applications for anti-PLXDC1 antibody
IHC (Immunohistochemistry), WB (Western Blot), ELISA
Immunogen Type
Recombinant Protein
Immunogen Description
Rabbit polyclonal PLXDC1 (1) antibody was raised against a recombinate human PLXDC1 protein 198-387aa (BC036059).
Target Name
PLXDC1
Preparation and Storage
This product is stable for several weeks at 4 degree C as an undiluted liquid. Dilute only prior to immediate use. For extended storage, aliquot contents and freeze at -20 degree C or below. Avoid cycles of freezing and thawing. Expiration date is one (1) year from date of receipt.
Product Categories/Family for anti-PLXDC1 antibody
NCBI and Uniprot Product Information
NCBI GI #
NCBI GeneID
NCBI Accession #
NCBI GenBank Nucleotide #
Molecular Weight
47,895 Da
NCBI Official Full Name
plexin domain-containing protein 1
NCBI Official Synonym Full Names
plexin domain containing 1
NCBI Official Symbol
PLXDC1
NCBI Official Synonym Symbols
TEM3; TEM7
NCBI Protein Information
plexin domain-containing protein 1
UniProt Protein Name
Plexin domain-containing protein 1
UniProt Gene Name
PLXDC1
UniProt Synonym Gene Names
TEM3; TEM7
UniProt Entry Name
PLDX1_HUMAN
Customer Reviews
Loading reviews...
Share Your Experience
Similar Products
Product Notes
The PLXDC1 plxdc1 (Catalog #AAA302187) is an Antibody produced from Rabbit and is intended for research purposes only. The product is available for immediate purchase. AAA Biotech's PLXDC1 can be used in a range of immunoassay formats including, but not limited to, IHC (Immunohistochemistry), WB (Western Blot), ELISA. Researchers should empirically determine the suitability of the PLXDC1 plxdc1 for an application not listed in the data sheet. Researchers commonly develop new applications and it is an integral, important part of the investigative research process. It is sometimes possible for the material contained within the vial of "PLXDC1, Polyclonal Antibody" to become dispersed throughout the inside of the vial, particularly around the seal of said vial, during shipment and storage. We always suggest centrifuging these vials to consolidate all of the liquid away from the lid and to the bottom of the vial prior to opening. Please be advised that certain products may require dry ice for shipping and that, if this is the case, an additional dry ice fee may also be required.Precautions
All products in the AAA Biotech catalog are strictly for research-use only, and are absolutely not suitable for use in any sort of medical, therapeutic, prophylactic, in-vivo, or diagnostic capacity. By purchasing a product from AAA Biotech, you are explicitly certifying that said products will be properly tested and used in line with industry standard. AAA Biotech and its authorized distribution partners reserve the right to refuse to fulfill any order if we have any indication that a purchaser may be intending to use a product outside of our accepted criteria.Disclaimer
Though we do strive to guarantee the information represented in this datasheet, AAA Biotech cannot be held responsible for any oversights or imprecisions. AAA Biotech reserves the right to adjust any aspect of this datasheet at any time and without notice. It is the responsibility of the customer to inform AAA Biotech of any product performance issues observed or experienced within 30 days of receipt of said product. To see additional details on this or any of our other policies, please see our Terms & Conditions page.Item has been added to Shopping Cart
If you are ready to order, navigate to Shopping Cart and get ready to checkout.
