Rabbit PMCH Polyclonal Antibody | anti-PMCH antibody
PMCH Polyclonal Antibody
Gene Names
PMCH; MCH
Reactivity
Human, Mouse, Rat
Applications
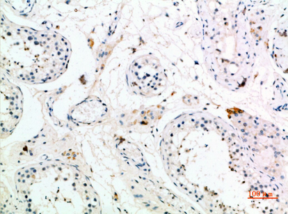
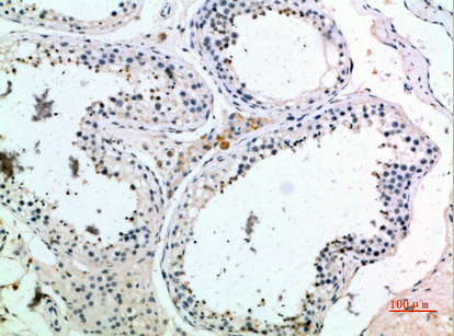
Immunohistochemistry
Synonyms
PMCH, Antibody; PMCH Polyclonal Antibody; Pro-MCH [Cleaved into: Neuropeptide-glycine-glutamic acid (NGE)(Neuropeptide G-E); Neuropeptide-glutamic acid-isoleucine (NEI)(Neuropeptide E-I); Melanin-concentrating hormone (MCH)]; anti-PMCH antibody
Host
Rabbit
Reactivity
Human, Mouse, Rat
Clonality
Polyclonal
Applicable Applications for anti-PMCH antibody
IHC (Immunohistochemistry)
Preparation and Storage
Maintain refrigerated at 2-8 degree C for up to 2 weeks. For long term storage store at -20 degree C in small aliquots to prevent freeze-thaw cycles.
Related Product Information for anti-PMCH antibody
MCH may act as a neurotransmitter or neuromodulator in a broad array of neuronal functions directed toward the regulation of goal-directed behavior, such as food intake, and general arousal. May also have a role in spermatocyte differentiation.
NCBI and Uniprot Product Information
NCBI GI #
NCBI GeneID
NCBI Accession #
NCBI GenBank Nucleotide #
Molecular Weight
18,679 Da
NCBI Official Full Name
pro-MCH preproprotein
NCBI Official Synonym Full Names
pro-melanin-concentrating hormone
NCBI Official Symbol
PMCH
NCBI Official Synonym Symbols
MCH
NCBI Protein Information
pro-MCH
UniProt Protein Name
Pro-MCH
UniProt Gene Name
PMCH
UniProt Synonym Gene Names
MCH; NGE; Neuropeptide G-E; NEI; Neuropeptide E-I; MCH
UniProt Entry Name
MCH_HUMAN
Customer Reviews
Loading reviews...
Share Your Experience
Similar Products
Product Notes
The PMCH pmch (Catalog #AAA296609) is an Antibody produced from Rabbit and is intended for research purposes only. The product is available for immediate purchase. The PMCH Polyclonal Antibody reacts with Human, Mouse, Rat and may cross-react with other species as described in the data sheet. AAA Biotech's PMCH can be used in a range of immunoassay formats including, but not limited to, IHC (Immunohistochemistry). Researchers should empirically determine the suitability of the PMCH pmch for an application not listed in the data sheet. Researchers commonly develop new applications and it is an integral, important part of the investigative research process. It is sometimes possible for the material contained within the vial of "PMCH, Polyclonal Antibody" to become dispersed throughout the inside of the vial, particularly around the seal of said vial, during shipment and storage. We always suggest centrifuging these vials to consolidate all of the liquid away from the lid and to the bottom of the vial prior to opening. Please be advised that certain products may require dry ice for shipping and that, if this is the case, an additional dry ice fee may also be required.Precautions
All products in the AAA Biotech catalog are strictly for research-use only, and are absolutely not suitable for use in any sort of medical, therapeutic, prophylactic, in-vivo, or diagnostic capacity. By purchasing a product from AAA Biotech, you are explicitly certifying that said products will be properly tested and used in line with industry standard. AAA Biotech and its authorized distribution partners reserve the right to refuse to fulfill any order if we have any indication that a purchaser may be intending to use a product outside of our accepted criteria.Disclaimer
Though we do strive to guarantee the information represented in this datasheet, AAA Biotech cannot be held responsible for any oversights or imprecisions. AAA Biotech reserves the right to adjust any aspect of this datasheet at any time and without notice. It is the responsibility of the customer to inform AAA Biotech of any product performance issues observed or experienced within 30 days of receipt of said product. To see additional details on this or any of our other policies, please see our Terms & Conditions page.Item has been added to Shopping Cart
If you are ready to order, navigate to Shopping Cart and get ready to checkout.
