Rabbit anti-Human POC1A Polyclonal Antibody | anti-POC1A antibody
POC1A Antibody
Gene Names
POC1A; PIX2; SOFT; WDR51A
Reactivity
Human
Applications
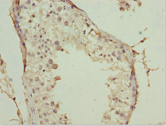
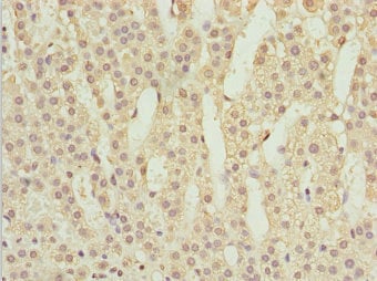
Immunohistochemistry, ELISA
Purity
Antigen Affinity Purified
Synonyms
POC1A, Antibody; POC1A Antibody; POC1 centriolar protein homolog A; Pix2; Proteome of centriole protein 1A; WD repeat-containing protein 51A; POC1A; WDR51A; anti-POC1A antibody
Host
Rabbit
Reactivity
Human
Clonality
Polyclonal
Isotype
IgG
Purity/Purification
Antigen Affinity Purified
Form/Format
Liquid
Sequence Length
359
Applicable Applications for anti-POC1A antibody
IHC (Immunohistochemistry), ELISA
Species
Human
Immunogen
Recombinant human POC1 centriolar protein homolog A protein (C-270AA)
Conjugate
Non-conjugated
Buffer
PBS with 0.02% sodium azide, 50% glycerol, pH7.3.
Santa Cruz Alternative
Potential replacement for Santa Cruz Biotechnology antibody catalog# sc-100244
Preparation and Storage
Shipped at 4 degree C. Upon delivery aliquot and store at -20 degree C or -80 degree C. Avoid repeated freeze.
Related Product Information for anti-POC1A antibody
Plays an important role in centriole assembly and/or stability and ciliogenesis. Involved in early steps of centriole duplication, as well as in the later steps of centriole length control. Acts in concert with POC1B to ensure centriole integrity and proper mitotic spindle formation.
NCBI and Uniprot Product Information
NCBI GI #
NCBI GeneID
NCBI Accession #
NCBI GenBank Nucleotide #
Molecular Weight
40,936 Da
NCBI Official Full Name
POC1 centriolar protein homolog A isoform 2
NCBI Official Synonym Full Names
POC1 centriolar protein A
NCBI Official Symbol
POC1A
NCBI Official Synonym Symbols
PIX2; SOFT; WDR51A
NCBI Protein Information
POC1 centriolar protein homolog A
UniProt Protein Name
POC1 centriolar protein homolog A
UniProt Gene Name
POC1A
UniProt Synonym Gene Names
WDR51A
UniProt Entry Name
POC1A_HUMAN
Customer Reviews
Loading reviews...
Share Your Experience
Similar Products
Product Notes
The POC1A poc1a (Catalog #AAA232245) is an Antibody produced from Rabbit and is intended for research purposes only. The product is available for immediate purchase. The POC1A Antibody reacts with Human and may cross-react with other species as described in the data sheet. AAA Biotech's POC1A can be used in a range of immunoassay formats including, but not limited to, IHC (Immunohistochemistry), ELISA. Researchers should empirically determine the suitability of the POC1A poc1a for an application not listed in the data sheet. Researchers commonly develop new applications and it is an integral, important part of the investigative research process. It is sometimes possible for the material contained within the vial of "POC1A, Polyclonal Antibody" to become dispersed throughout the inside of the vial, particularly around the seal of said vial, during shipment and storage. We always suggest centrifuging these vials to consolidate all of the liquid away from the lid and to the bottom of the vial prior to opening. Please be advised that certain products may require dry ice for shipping and that, if this is the case, an additional dry ice fee may also be required.Precautions
All products in the AAA Biotech catalog are strictly for research-use only, and are absolutely not suitable for use in any sort of medical, therapeutic, prophylactic, in-vivo, or diagnostic capacity. By purchasing a product from AAA Biotech, you are explicitly certifying that said products will be properly tested and used in line with industry standard. AAA Biotech and its authorized distribution partners reserve the right to refuse to fulfill any order if we have any indication that a purchaser may be intending to use a product outside of our accepted criteria.Disclaimer
Though we do strive to guarantee the information represented in this datasheet, AAA Biotech cannot be held responsible for any oversights or imprecisions. AAA Biotech reserves the right to adjust any aspect of this datasheet at any time and without notice. It is the responsibility of the customer to inform AAA Biotech of any product performance issues observed or experienced within 30 days of receipt of said product. To see additional details on this or any of our other policies, please see our Terms & Conditions page.Item has been added to Shopping Cart
If you are ready to order, navigate to Shopping Cart and get ready to checkout.
