Rabbit POLR2D Polyclonal Antibody | anti-POLR2D antibody
POLR2D Antibody
Gene Names
POLR2D; RBP4; RPB16; HSRBP4; HSRPB4
Reactivity
Human, Mouse, Rat
Applications
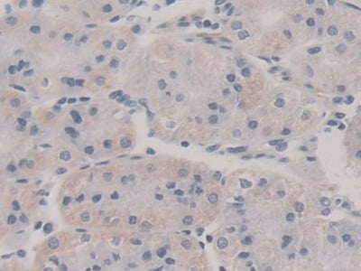
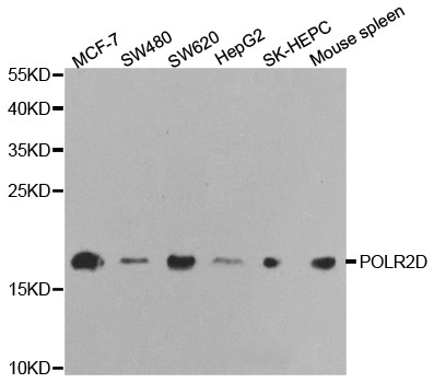
Immunohistochemistry, Western Blot
Purity
Antigen affinity purification
Synonyms
POLR2D, Antibody; POLR2D Antibody; RBP4; RPB16; HSRBP4; HSRPB4; anti-POLR2D antibody
Host
Rabbit
Reactivity
Human, Mouse, Rat
Clonality
Polyclonal
Isotype
IgG
Purity/Purification
Antigen affinity purification
Concentration
1mg/mL (varies by lot)
Sequence Length
32
Applicable Applications for anti-POLR2D antibody
IHC (Immunohistochemistry), WB (Western Blot)
Immunogen
Recombinant protein of human POLR2D
Buffer
PBS with 0.02% sodium azide, 50% glycerol, pH7.3
Preparation and Storage
Store at -20 degree C (regular) and -80 degree C (long term). Avoid freeze / thaw cycles.
Related Product Information for anti-POLR2D antibody
This gene encodes the fourth largest subunit of RNA polymerase II, the polymerase responsible for synthesizing messenger RNA in eukaryotes. In yeast, this polymerase subunit is associated with the polymerase under suboptimal growth conditions and may have a stress protective role. A sequence for a ribosomal pseudogene is contained within the 3' untranslated region of the transcript from this gene.
NCBI and Uniprot Product Information
NCBI GI #
NCBI GeneID
Molecular Weight
16,311 Da
NCBI Official Full Name
POLR2D protein
NCBI Official Synonym Full Names
polymerase (RNA) II (DNA directed) polypeptide D
NCBI Official Symbol
POLR2D
NCBI Official Synonym Symbols
RBP4; RPB16; HSRBP4; HSRPB4
NCBI Protein Information
DNA-directed RNA polymerase II subunit RPB4; DNA-directed RNA polymerase II 16 kDa polypeptide; DNA-directed RNA polymerase II subunit D; RNA polymerase II 16 kDa subunit; RNA polymerase II subunit B4; RNA polymerase II subunit hsRBP4
UniProt Protein Name
DNA-directed RNA polymerase II subunit RPB4
UniProt Gene Name
POLR2D
UniProt Synonym Gene Names
RNA polymerase II subunit B4; RPB16
UniProt Entry Name
RPB4_HUMAN
Customer Reviews
Loading reviews...
Share Your Experience
Similar Products
Product Notes
The POLR2D polr2d (Catalog #AAA167595) is an Antibody produced from Rabbit and is intended for research purposes only. The product is available for immediate purchase. The POLR2D Antibody reacts with Human, Mouse, Rat and may cross-react with other species as described in the data sheet. AAA Biotech's POLR2D can be used in a range of immunoassay formats including, but not limited to, IHC (Immunohistochemistry), WB (Western Blot). Researchers should empirically determine the suitability of the POLR2D polr2d for an application not listed in the data sheet. Researchers commonly develop new applications and it is an integral, important part of the investigative research process. It is sometimes possible for the material contained within the vial of "POLR2D, Polyclonal Antibody" to become dispersed throughout the inside of the vial, particularly around the seal of said vial, during shipment and storage. We always suggest centrifuging these vials to consolidate all of the liquid away from the lid and to the bottom of the vial prior to opening. Please be advised that certain products may require dry ice for shipping and that, if this is the case, an additional dry ice fee may also be required.Precautions
All products in the AAA Biotech catalog are strictly for research-use only, and are absolutely not suitable for use in any sort of medical, therapeutic, prophylactic, in-vivo, or diagnostic capacity. By purchasing a product from AAA Biotech, you are explicitly certifying that said products will be properly tested and used in line with industry standard. AAA Biotech and its authorized distribution partners reserve the right to refuse to fulfill any order if we have any indication that a purchaser may be intending to use a product outside of our accepted criteria.Disclaimer
Though we do strive to guarantee the information represented in this datasheet, AAA Biotech cannot be held responsible for any oversights or imprecisions. AAA Biotech reserves the right to adjust any aspect of this datasheet at any time and without notice. It is the responsibility of the customer to inform AAA Biotech of any product performance issues observed or experienced within 30 days of receipt of said product. To see additional details on this or any of our other policies, please see our Terms & Conditions page.Item has been added to Shopping Cart
If you are ready to order, navigate to Shopping Cart and get ready to checkout.
