anti-Human, Mouse PPP1R12A Polyclonal Antibody | anti-PPP1R12A antibody
Anti-PPP1R12A Antibody
FCM/FACS (Flow Cytometry)
(Figure 5. Flow Cytometry analysis of U251 cells using anti-PPP1R12A antibody (AAA46314).Overlay histogram showing U251 cells stained with AAA46314 (Blue line).The cells were blocked with 10% normal goat serum. And then incubated with rabbit anti-PPP1R12A Antibody (AAA46314,1ug/1x10^6 cells) for 30 min at 20 degree C. DyLight®488 conjugated goat anti-rabbit IgG (5-10ug/1x10^6 cells) was used as secondary antibody for 30 minutes at 20 degree C. Isotype control antibody (Green line) was rabbit IgG (1ug/1x106) used under the same conditions. Unlabelled sample (Red line) was also used as a control.)
FCM/FACS (Flow Cytometry)
(Figure 4. Flow Cytometry analysis of SiHa cells using anti-PPP1R12A antibody (AAA46314).Overlay histogram showing SiHa cells stained with AAA46314 (Blue line).The cells were blocked with 10% normal goat serum. And then incubated with rabbit anti-PPP1R12A Antibody (AAA46314,1ug/1x10^6 cells) for 30 min at 20 degree C. DyLight®488 conjugated goat anti-rabbit IgG (5-10ug/1x10^6 cells) was used as secondary antibody for 30 minutes at 20 degree C. Isotype control antibody (Green line) was rabbit IgG (1ug/1x106) used under the same conditions. Unlabelled sample (Red line) was also used as a control.)
FCM/FACS (Flow Cytometry)
(Figure 3. Flow Cytometry analysis of Hela cells using anti-PPP1R12A antibody (AAA46314).Overlay histogram showing Hela cells stained with AAA46314 (Blue line).The cells were blocked with 10% normal goat serum. And then incubated with rabbit anti-PPP1R12A Antibody (AAA46314,1ug/1x10^6 cells) for 30 min at 20 degree C. DyLight®488 conjugated goat anti-rabbit IgG (5-10ug/1x10^6 cells) was used as secondary antibody for 30 minutes at 20 degree C. Isotype control antibody (Green line) was rabbit IgG (1ug/1x106) used under the same conditions. Unlabelled sample (Red line) was also used as a control.)
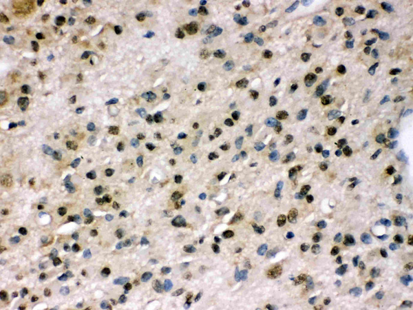
IHC (Immunohiostchemistry)
(Figure 2. IHC analysis of PPP1R12A using anti-PPP1R12A antibody (AAA46314).PPP1R12A was detected in paraffin-embedded section of Human Glioma Tissue. Heat mediated antigen retrieval was performed in citrate buffer (pH6, epitope retrieval solution) for 20 mins. The tissue section was blocked with 10% goat serum. The tissue section was then incubated with 1ug/ml rabbit anti-PPP1R12A Antibody (AAA46314) overnight at 4 degree C. Biotinylated goat anti-rabbit IgG was used as secondary antibody and incubated for 30 minutes at 37 degree C. The tissue section was developed using Strepavidin-Biotin-Complex (SABC) with DAB as the chromogen.)
WB (Western Blot)
(Figure 1. Western blot analysis of PPP1R12A using anti-PPP1R12A antibody (AAA46314).Electrophoresis was performed on a 5-20% SDS-PAGE gel at 70V (Stacking gel) / 90V (Resolving gel) for 2-3 hours. The sample well of each lane was loaded with 50ug of sample under reducing conditions.Lane 1: Mouse Skeletal Muscle Tissue Lysate,Lane 2: HELA Whole Cell Lysate.After Electrophoresis, proteins were transferred to a Nitrocellulose membrane at 150mA for 50-90 minutes. Blocked the membrane with 5% Non-fat Milk/ TBS for 1.5 hour at RT. The membrane was incubated with rabbit anti-PPP1R12A antigen affinity purified polyclonal antibody at 0.5ug/mL overnight at 4 degree C, then washed with TBS-0.1%Tween 3 times with 5 minutes each and probed with a goat anti-rabbit IgG-HRP secondary antibody at a dilution of 1:10000 for 1.5 hour at RT. The signal is developed using an Enhanced Chemiluminescent detection (ECL) kit with Tanon 5200 system. A specific band was detected for PPP1R12A at approximately 150KD. The expected band size for PPP1R12A is at 115KD.)
Background: PPP1R12A (Protein phosphatase 1 regulatory subunit 12A), also called MYPT1 (Myosin phosphatase target subunit 1), is an enzyme that in humans is encoded by the PPP1R12A gene. PPP1R12A is one of the subunits of myosin phosphatase. Sequencing analysis showed that human PPP1R12A contains 1,030 amino acids with a calculated molecular mass of approximately 115 kD. The PPP1R12A gene is mapped on 12q21.2-q21.3. PPP1R12A is the protein that regulates PP1 function in smooth muscle relaxation. The cellular MYPT1-PP1-delta -specific inhibitor CPI17 caused a loss of merlin function characterized by merlin phosphorylation, Ras activation, and transformation. Jin et al. concluded that PPP1R12A and its substrate merlin are part of a previously undescribed tumor suppressor cascade that can be hindered in two ways, by mutation of the NF2 gene and by upregulation of the oncoprotein CPI17.
NCBI and Uniprot Product Information
Customer Reviews
Loading reviews...
Share Your Experience
Similar Products
Product Notes
The PPP1R12A ppp1r12a (Catalog #AAA46314) is an Antibody and is intended for research purposes only. The product is available for immediate purchase. The Anti-PPP1R12A Antibody reacts with Human, Mouse and may cross-react with other species as described in the data sheet. AAA Biotech's PPP1R12A can be used in a range of immunoassay formats including, but not limited to, IHC (Immunohistochemistry), WB (Western Blot). Researchers should empirically determine the suitability of the PPP1R12A ppp1r12a for an application not listed in the data sheet. Researchers commonly develop new applications and it is an integral, important part of the investigative research process. It is sometimes possible for the material contained within the vial of "PPP1R12A, Polyclonal Antibody" to become dispersed throughout the inside of the vial, particularly around the seal of said vial, during shipment and storage. We always suggest centrifuging these vials to consolidate all of the liquid away from the lid and to the bottom of the vial prior to opening. Please be advised that certain products may require dry ice for shipping and that, if this is the case, an additional dry ice fee may also be required.Precautions
All products in the AAA Biotech catalog are strictly for research-use only, and are absolutely not suitable for use in any sort of medical, therapeutic, prophylactic, in-vivo, or diagnostic capacity. By purchasing a product from AAA Biotech, you are explicitly certifying that said products will be properly tested and used in line with industry standard. AAA Biotech and its authorized distribution partners reserve the right to refuse to fulfill any order if we have any indication that a purchaser may be intending to use a product outside of our accepted criteria.Disclaimer
Though we do strive to guarantee the information represented in this datasheet, AAA Biotech cannot be held responsible for any oversights or imprecisions. AAA Biotech reserves the right to adjust any aspect of this datasheet at any time and without notice. It is the responsibility of the customer to inform AAA Biotech of any product performance issues observed or experienced within 30 days of receipt of said product. To see additional details on this or any of our other policies, please see our Terms & Conditions page.Item has been added to Shopping Cart
If you are ready to order, navigate to Shopping Cart and get ready to checkout.
