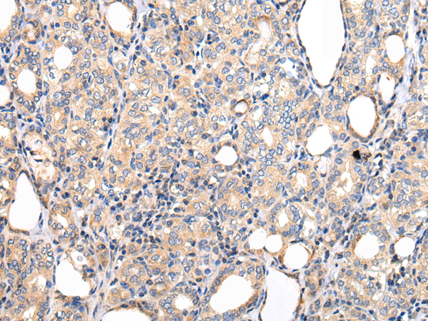
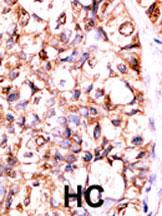
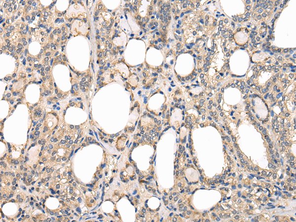
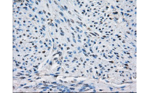
Rabbit PPP5C Polyclonal Antibody | anti-PPP5C antibody
PPP5C Rabbit Polyclonal Antibody
Gene Names
PPP5C; PP5; PPT; PPP5
Reactivity
Human, Mouse, Rat
Applications
Immunofluorescence, Western Blot
Purity
Affinity purification
Synonyms
PPP5C, Antibody; PPP5C Rabbit Polyclonal Antibody; PPP5C; PP5; PPP5; PPT; anti-PPP5C antibody
Host
Rabbit
Reactivity
Human, Mouse, Rat
Clonality
Polyclonal
Isotype
IgG
Purity/Purification
Affinity purification
Form/Format
Buffer: PBS with 0.02% sodium azide, 50% glycerol, pH7.3.
Applicable Applications for anti-PPP5C antibody
IF (Immunofluorescence), WB (Western Blot)
Immunogen
Recombinant fusion protein of human PPP5C (NP_006238.1).
Preparation and Storage
Store at -20 degree C. Avoid freeze/thaw cycles.
Related Product Information for anti-PPP5C antibody
This gene encodes a serine/threonine phosphatase which is a member of the protein phosphatase catalytic subunit family. Proteins in this family participate in pathways regulated by reversible phosphorylation at serine and threonine residues; many of these pathways are involved in the regulation of cell growth and differentiation. The product of this gene has been shown to participate in signaling pathways in response to hormones or cellular stress, and elevated levels of this protein may be associated with breast cancer development. Alternative splicing results in multiple transcript variants.
Product Categories/Family for anti-PPP5C antibody
NCBI and Uniprot Product Information
NCBI GI #
NCBI GeneID
NCBI Accession #
NCBI GenBank Nucleotide #
Molecular Weight
56,879 Da
NCBI Official Full Name
serine/threonine-protein phosphatase 5 isoform 1
NCBI Official Synonym Full Names
protein phosphatase 5, catalytic subunit
NCBI Official Symbol
PPP5C
NCBI Official Synonym Symbols
PP5; PPT; PPP5
NCBI Protein Information
serine/threonine-protein phosphatase 5; PP-T; protein phosphatase T
UniProt Protein Name
Serine/threonine-protein phosphatase 5
UniProt Gene Name
PPP5C
UniProt Synonym Gene Names
PPP5; PP5; PP-T; PPT
UniProt Entry Name
PPP5_HUMAN
Customer Reviews
Loading reviews...
Share Your Experience
Similar Products
Product Notes
The PPP5C ppp5c (Catalog #AAA313274) is an Antibody produced from Rabbit and is intended for research purposes only. The product is available for immediate purchase. The PPP5C Rabbit Polyclonal Antibody reacts with Human, Mouse, Rat and may cross-react with other species as described in the data sheet. AAA Biotech's PPP5C can be used in a range of immunoassay formats including, but not limited to, IF (Immunofluorescence), WB (Western Blot). Researchers should empirically determine the suitability of the PPP5C ppp5c for an application not listed in the data sheet. Researchers commonly develop new applications and it is an integral, important part of the investigative research process. It is sometimes possible for the material contained within the vial of "PPP5C, Polyclonal Antibody" to become dispersed throughout the inside of the vial, particularly around the seal of said vial, during shipment and storage. We always suggest centrifuging these vials to consolidate all of the liquid away from the lid and to the bottom of the vial prior to opening. Please be advised that certain products may require dry ice for shipping and that, if this is the case, an additional dry ice fee may also be required.Precautions
All products in the AAA Biotech catalog are strictly for research-use only, and are absolutely not suitable for use in any sort of medical, therapeutic, prophylactic, in-vivo, or diagnostic capacity. By purchasing a product from AAA Biotech, you are explicitly certifying that said products will be properly tested and used in line with industry standard. AAA Biotech and its authorized distribution partners reserve the right to refuse to fulfill any order if we have any indication that a purchaser may be intending to use a product outside of our accepted criteria.Disclaimer
Though we do strive to guarantee the information represented in this datasheet, AAA Biotech cannot be held responsible for any oversights or imprecisions. AAA Biotech reserves the right to adjust any aspect of this datasheet at any time and without notice. It is the responsibility of the customer to inform AAA Biotech of any product performance issues observed or experienced within 30 days of receipt of said product. To see additional details on this or any of our other policies, please see our Terms & Conditions page.Item has been added to Shopping Cart
If you are ready to order, navigate to Shopping Cart and get ready to checkout.
