Rabbit PRKACA/PRKACB/PRKACG Polyclonal Antibody | anti-PRKACA antibody
PRKACA/PRKACB/PRKACG Antibody
Gene Names
PRKACA; PKACA
Reactivity
Human, Mouse, Rat
Applications
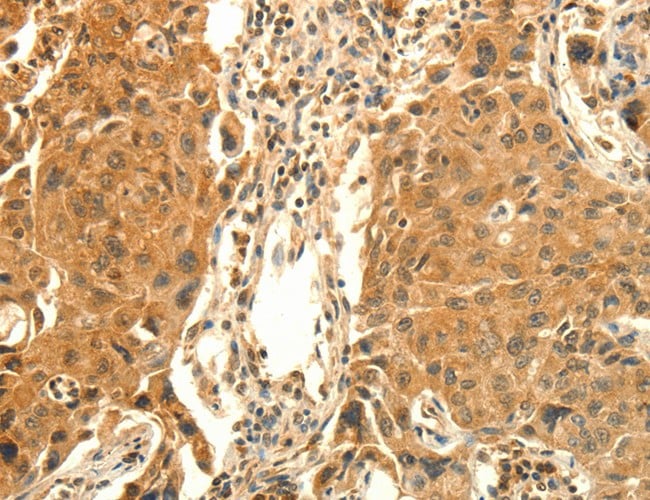
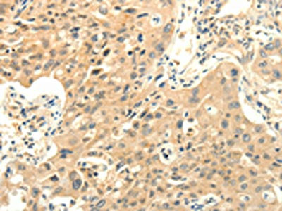
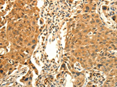
ELISA, Immunofluorescence, Immunohistochemistry, Western Blot
Purity
Affinity-purified from rabbit antiserum by affinity-chromatography using epitope-specific immunogen.
Synonyms
PRKACA/PRKACB/PRKACG, Antibody; PRKACA/PRKACB/PRKACG Antibody; PRKACA; PKACA; cAMP-dependent protein kinase catalytic subunit alpha; PKA C-alpha; PRKACB; cAMP-dependent protein kinase catalytic subunit beta; PKA C-beta; PRKACG; cAMP-dependent protein kinase catalytic subunit gamma; PKA C-gamma; anti-PRKACA antibody
Host
Rabbit
Reactivity
Human, Mouse, Rat
Clonality
Polyclonal
Isotype
IgG
Purity/Purification
Affinity-purified from rabbit antiserum by affinity-chromatography using epitope-specific immunogen.
Form/Format
Liquid; In Phosphate Buffered Saline, 50% Glycerol, 0.5% BSA and 0.02% Sodium Azide.
Applicable Applications for anti-PRKACA antibody
ELISA, IF (Immunofluorescence), IHC (Immunohistochemistry), WB (Western Blot)
Immunogen
Synthesized peptide derived from human PKAalpha/beta/gamma cat around the non-phosphorylation site of T198.
Immunogen Species
Human
Conjugate
Non-conjugated
Preparation and Storage
Upon receipt, store at -20 degree C or -80 degree C. Avoid repeated freeze.
Product Categories/Family for anti-PRKACA antibody
NCBI and Uniprot Product Information
NCBI GI #
NCBI GeneID
NCBI Accession #
NCBI GenBank Nucleotide #
Molecular Weight
351
NCBI Official Full Name
cAMP-dependent protein kinase catalytic subunit alpha isoform 1
NCBI Official Synonym Full Names
protein kinase, cAMP-dependent, catalytic, alpha
NCBI Official Symbol
PRKACA
NCBI Official Synonym Symbols
PKACA
NCBI Protein Information
cAMP-dependent protein kinase catalytic subunit alpha; PKA C-alpha; protein kinase A catalytic subunit; cAMP-dependent protein kinase catalytic subunit alpha, isoform 1
UniProt Protein Name
cAMP-dependent protein kinase catalytic subunit alpha
UniProt Gene Name
PRKACA
UniProt Synonym Gene Names
PKACA; PKA C-alpha
UniProt Entry Name
KAPCA_HUMAN
Customer Reviews
Loading reviews...
Share Your Experience
Similar Products
Product Notes
The PRKACA prkaca (Catalog #AAA236423) is an Antibody produced from Rabbit and is intended for research purposes only. The product is available for immediate purchase. The PRKACA/PRKACB/PRKACG Antibody reacts with Human, Mouse, Rat and may cross-react with other species as described in the data sheet. AAA Biotech's PRKACA/PRKACB/PRKACG can be used in a range of immunoassay formats including, but not limited to, ELISA, IF (Immunofluorescence), IHC (Immunohistochemistry), WB (Western Blot). Researchers should empirically determine the suitability of the PRKACA prkaca for an application not listed in the data sheet. Researchers commonly develop new applications and it is an integral, important part of the investigative research process. It is sometimes possible for the material contained within the vial of "PRKACA/PRKACB/PRKACG, Polyclonal Antibody" to become dispersed throughout the inside of the vial, particularly around the seal of said vial, during shipment and storage. We always suggest centrifuging these vials to consolidate all of the liquid away from the lid and to the bottom of the vial prior to opening. Please be advised that certain products may require dry ice for shipping and that, if this is the case, an additional dry ice fee may also be required.Precautions
All products in the AAA Biotech catalog are strictly for research-use only, and are absolutely not suitable for use in any sort of medical, therapeutic, prophylactic, in-vivo, or diagnostic capacity. By purchasing a product from AAA Biotech, you are explicitly certifying that said products will be properly tested and used in line with industry standard. AAA Biotech and its authorized distribution partners reserve the right to refuse to fulfill any order if we have any indication that a purchaser may be intending to use a product outside of our accepted criteria.Disclaimer
Though we do strive to guarantee the information represented in this datasheet, AAA Biotech cannot be held responsible for any oversights or imprecisions. AAA Biotech reserves the right to adjust any aspect of this datasheet at any time and without notice. It is the responsibility of the customer to inform AAA Biotech of any product performance issues observed or experienced within 30 days of receipt of said product. To see additional details on this or any of our other policies, please see our Terms & Conditions page.Item has been added to Shopping Cart
If you are ready to order, navigate to Shopping Cart and get ready to checkout.
