Rabbit anti-Human PRKAR2A Polyclonal Antibody | anti-PRKAR2A antibody
PRKAR2A antibody
DISCONTINUED
This product has been discontinued and is no longer available for purchase. Please contact us for alternative products or more information.
|
This product is discontinued. Contact us for alternatives. |
Phosphate buffered saline
0.09% Sodium Azide, <50% Glycerol
12 months from date of despatch.
WB (Western Blot)
(Western blot analysis of PRKAR2A knockout HeLa and wild type HeLa (WT) whole cell lysates probed with (A) Rabbit anti PRKAR2A antibody (AAA50466) followed by detection with HRP conjugated Goat anti Rabbit IgG (1/10,000) and (B) hFAB rhodamine anti-tubulin primary antibody (12004166) and visualized on the ChemiDoc MP with a (A) 231 second and (B) 30 second exposure.)
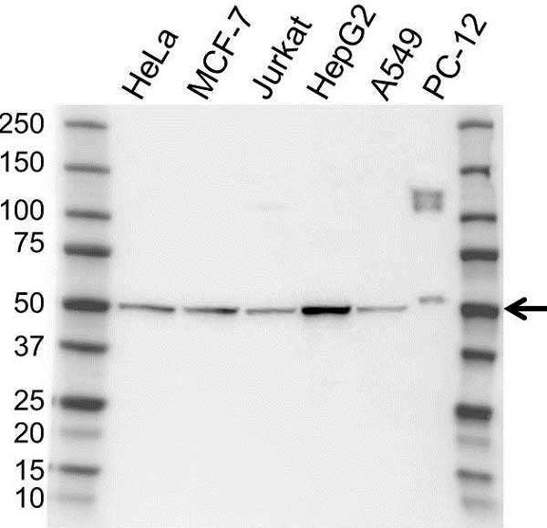
WB (Western Blot)
(Western blot analysis of whole cell lysates probed with PRKAR2A antibody followed by detection with HRP conjugated Goat anti Rabbit IgG (1/10,000) and visualized on the ChemiDoc MP with 9 second exposure. Arrow points to PRKAR2A (molecular weight 50 kDa))
cAMP is a signaling molecule important for a variety of cellular functions. cAMP exerts its effects by activating the cAMP-dependent protein kinase, which transduces the signal through phosphorylation of different target proteins. The inactive kinase holoenzyme is a tetramer composed of two regulatory and two catalytic subunits. cAMP causes the dissociation of the inactive holoenzyme into a dimer of regulatory subunits bound to four cAMP and two free monomeric catalytic subunits. Four different regulatory subunits and three catalytic subunits have been identified in humans. The protein encoded by PRKAR2A is one of the regulatory subunits. This subunit can be phosphorylated by the activated catalytic subunit. It may interact with various A-kinase anchoring proteins and determine the subcellular localization of cAMP-dependent protein kinase. This subunit has been shown to regulate protein transport from endosomes to the Golgi apparatus and further to the endoplasmic reticulum (ER) (provided by RefSeq, Jul 2008).
Rabbit anti Human PRKAR2A antibody detects a band of 50 kDa. The antibody has been extensively validated for western blotting using whole cell lysates.
NCBI and Uniprot Product Information
Customer Reviews
Loading reviews...
Share Your Experience
Similar Products
Product Notes
The PRKAR2A prkar2a (Catalog #AAA50466) is an Antibody produced from Rabbit and is intended for research purposes only. The product is available for immediate purchase. The PRKAR2A antibody reacts with Human and may cross-react with other species as described in the data sheet. AAA Biotech's PRKAR2A can be used in a range of immunoassay formats including, but not limited to, WB (Western Blot). Researchers should empirically determine the suitability of the PRKAR2A prkar2a for an application not listed in the data sheet. Researchers commonly develop new applications and it is an integral, important part of the investigative research process. It is sometimes possible for the material contained within the vial of "PRKAR2A, Polyclonal Antibody" to become dispersed throughout the inside of the vial, particularly around the seal of said vial, during shipment and storage. We always suggest centrifuging these vials to consolidate all of the liquid away from the lid and to the bottom of the vial prior to opening. Please be advised that certain products may require dry ice for shipping and that, if this is the case, an additional dry ice fee may also be required.Precautions
All products in the AAA Biotech catalog are strictly for research-use only, and are absolutely not suitable for use in any sort of medical, therapeutic, prophylactic, in-vivo, or diagnostic capacity. By purchasing a product from AAA Biotech, you are explicitly certifying that said products will be properly tested and used in line with industry standard. AAA Biotech and its authorized distribution partners reserve the right to refuse to fulfill any order if we have any indication that a purchaser may be intending to use a product outside of our accepted criteria.Disclaimer
Though we do strive to guarantee the information represented in this datasheet, AAA Biotech cannot be held responsible for any oversights or imprecisions. AAA Biotech reserves the right to adjust any aspect of this datasheet at any time and without notice. It is the responsibility of the customer to inform AAA Biotech of any product performance issues observed or experienced within 30 days of receipt of said product. To see additional details on this or any of our other policies, please see our Terms & Conditions page.Item has been added to Shopping Cart
If you are ready to order, navigate to Shopping Cart and get ready to checkout.
