Rabbit anti-Human PRKD2/PKD2 Polyclonal Antibody | anti-PRKD2 antibody
PRKD2/PKD2 Rabbit anti-Human Polyclonal (Internal) Antibody
Gene Names
PRKD2; PKD2; HSPC187; nPKC-D2
Reactivity
Human
Applications
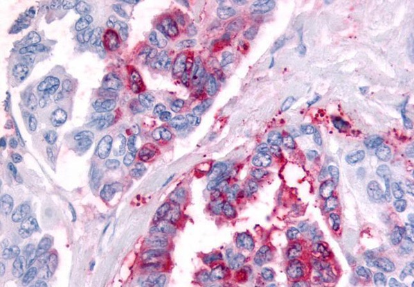
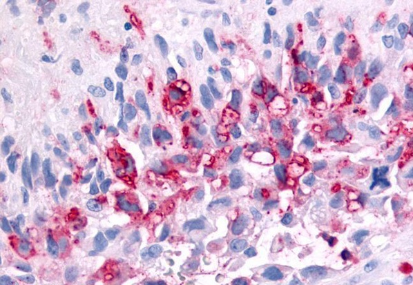
Immunohistochemistry, Immunohistochemistry, ELISA
Purity
Immunoaffinity purified
Synonyms
PRKD2/PKD2, Antibody; PRKD2/PKD2 Rabbit anti-Human Polyclonal (Internal) Antibody; PathPlus PRKD2/PKD2 Antibody (Internal); PRKD2; HSPC187; NPKC-D2; Protein kinase D2; DKFZP586E0820; anti-PRKD2 antibody
Host
Rabbit
Reactivity
Human
Clonality
Polyclonal
Specificity
internal domain of human
Purity/Purification
Immunoaffinity purified
Form/Format
PBS, 0.1% Sodium Azide
Concentration
1mg/ml (varies by lot)
Applicable Applications for anti-PRKD2 antibody
IHC (Immunohistochemistry), IHC (Immunohistochemistry), ELISA
Target
Human PRKD2/PKD2
Immunogen
Synthetic peptide-KLH conjugated
Conjugation
Unconjugated
Epitope
Internal
Family
Protein Kinase
Subfamily
PKD
Preparation and Storage
Aliquot and store undiluted at -20 degree C or below for up to 1 year. Can be stored undiluted at 4 degree C for up to 1 month. Avoid freeze-thaw cycles.
Related Product Information for anti-PRKD2 antibody
PKD2 antibody is an unconjugated rabbit polyclonal antibody to PKD2 (PRKD2)(Internal) from human. Validated for ELISA and IHC.
Serine/threonine-protein kinase that converts transient diacylglycerol (DAG) signals into prolonged physiological effects downstream of PKC, and is involved in the regulation of cell proliferation via MAPK1/3 (ERK1/2) signaling, oxidative stress-induced NF-kappa-B activation, inhibition of HDAC7 transcriptional repression, signaling downstream of T-cell antigen receptor (TCR) and cytokine production, and plays a role in Golgi membrane trafficking, angiogenesis, secretory granule release and cell adhesion. May potentiate mitogenesis induced by the neuropeptide bombesin by mediating an increase in the duration of MAPK1/3 (ERK1/2) signaling, which leads to accumulation of immediate-early gene products including FOS that stimulate cell cycle progression. In response to oxidative stress, is phosphorylated at Tyr-438 by ABL1, which leads to the activation of PRKD2 without increasing its catalytic activity, and mediates activation of NF-kappa-B. In response to the activation of the gastrin receptor CCKBR, is phosphorylated at Ser-244 by CSNK1D and CSNK1E, translocates to the nucleus, phosphorylates HDAC7, leading to nuclear export of HDAC7 and inhibition of HDAC7 transcriptional repression of NR4A1/NUR77. Upon TCR stimulation, is activated independently of ZAP70, translocates from the cytoplasm to the nucleus and is required for interleukin-2 (IL2) promoter up-regulation. During adaptive immune responses, is required in peripheral T-lymphocytes for the production of the effector cytokines IL2 and IFNG after TCR engagement and for optimal induction of antibody responses to antigens. In epithelial cells stimulated with lysophosphatidic acid (LPA), is activated through a PKC-dependent pathway and mediates LPA-stimulated interleukin-8 (IL8) secretion via a NF-kappa-B-dependent pathway. During TCR-induced T-cell activation, interacts with and is activated by the tyrosine kinase LCK, which results in the activation of the NFAT transcription factors. In the trans-Golgi network (TGN), regulates the fission of transport vesicles that are on their way to the plasma membrane and in polarized cells is involved in the transport of proteins from the TGN to the basolateral membrane. Plays an important role in endothelial cell proliferation and migration prior to angiogenesis, partly through modulation of the expression of KDR/VEGFR2 and FGFR1, two key growth factor receptors involved in angiogenesis. In secretory pathway, is required for the release of chromogranin-A (CHGA)-containing secretory granules from the TGN. Downstream of PRKCA, plays important roles in angiotensin-2-induced monocyte adhesion to endothelial cells. Plays a regulatory role in angiogenesis and tumor growth by phosphorylating a downstream mediator CIB1 isoform 2, resulting in vascular endothelial growth factor A (VEGFA) secretion.
Serine/threonine-protein kinase that converts transient diacylglycerol (DAG) signals into prolonged physiological effects downstream of PKC, and is involved in the regulation of cell proliferation via MAPK1/3 (ERK1/2) signaling, oxidative stress-induced NF-kappa-B activation, inhibition of HDAC7 transcriptional repression, signaling downstream of T-cell antigen receptor (TCR) and cytokine production, and plays a role in Golgi membrane trafficking, angiogenesis, secretory granule release and cell adhesion. May potentiate mitogenesis induced by the neuropeptide bombesin by mediating an increase in the duration of MAPK1/3 (ERK1/2) signaling, which leads to accumulation of immediate-early gene products including FOS that stimulate cell cycle progression. In response to oxidative stress, is phosphorylated at Tyr-438 by ABL1, which leads to the activation of PRKD2 without increasing its catalytic activity, and mediates activation of NF-kappa-B. In response to the activation of the gastrin receptor CCKBR, is phosphorylated at Ser-244 by CSNK1D and CSNK1E, translocates to the nucleus, phosphorylates HDAC7, leading to nuclear export of HDAC7 and inhibition of HDAC7 transcriptional repression of NR4A1/NUR77. Upon TCR stimulation, is activated independently of ZAP70, translocates from the cytoplasm to the nucleus and is required for interleukin-2 (IL2) promoter up-regulation. During adaptive immune responses, is required in peripheral T-lymphocytes for the production of the effector cytokines IL2 and IFNG after TCR engagement and for optimal induction of antibody responses to antigens. In epithelial cells stimulated with lysophosphatidic acid (LPA), is activated through a PKC-dependent pathway and mediates LPA-stimulated interleukin-8 (IL8) secretion via a NF-kappa-B-dependent pathway. During TCR-induced T-cell activation, interacts with and is activated by the tyrosine kinase LCK, which results in the activation of the NFAT transcription factors. In the trans-Golgi network (TGN), regulates the fission of transport vesicles that are on their way to the plasma membrane and in polarized cells is involved in the transport of proteins from the TGN to the basolateral membrane. Plays an important role in endothelial cell proliferation and migration prior to angiogenesis, partly through modulation of the expression of KDR/VEGFR2 and FGFR1, two key growth factor receptors involved in angiogenesis. In secretory pathway, is required for the release of chromogranin-A (CHGA)-containing secretory granules from the TGN. Downstream of PRKCA, plays important roles in angiotensin-2-induced monocyte adhesion to endothelial cells. Plays a regulatory role in angiogenesis and tumor growth by phosphorylating a downstream mediator CIB1 isoform 2, resulting in vascular endothelial growth factor A (VEGFA) secretion.
References
The UniProt Consortium. Nucleic Acids Res. 47: D506-515 (2019); Nucleic Acids Res. 2016 Jan 4;44(D1):D733-45, PMID:26553804
NCBI and Uniprot Product Information
NCBI GI #
NCBI GeneID
NCBI Accession #
NCBI GenBank Nucleotide #
Molecular Weight
80,143 Da
NCBI Official Full Name
serine/threonine-protein kinase D2 isoform A
NCBI Official Synonym Full Names
protein kinase D2
NCBI Official Symbol
PRKD2
NCBI Official Synonym Symbols
PKD2; HSPC187; nPKC-D2
NCBI Protein Information
serine/threonine-protein kinase D2
UniProt Protein Name
Serine/threonine-protein kinase D2
UniProt Gene Name
PRKD2
UniProt Synonym Gene Names
PKD2
UniProt Entry Name
KPCD2_HUMAN
Customer Reviews
Loading reviews...
Share Your Experience
Similar Products
Product Notes
The PRKD2 prkd2 (Catalog #AAA162463) is an Antibody produced from Rabbit and is intended for research purposes only. The product is available for immediate purchase. The PRKD2/PKD2 Rabbit anti-Human Polyclonal (Internal) Antibody reacts with Human and may cross-react with other species as described in the data sheet. AAA Biotech's PRKD2/PKD2 can be used in a range of immunoassay formats including, but not limited to, IHC (Immunohistochemistry), IHC (Immunohistochemistry), ELISA. Researchers should empirically determine the suitability of the PRKD2 prkd2 for an application not listed in the data sheet. Researchers commonly develop new applications and it is an integral, important part of the investigative research process. It is sometimes possible for the material contained within the vial of "PRKD2/PKD2, Polyclonal Antibody" to become dispersed throughout the inside of the vial, particularly around the seal of said vial, during shipment and storage. We always suggest centrifuging these vials to consolidate all of the liquid away from the lid and to the bottom of the vial prior to opening. Please be advised that certain products may require dry ice for shipping and that, if this is the case, an additional dry ice fee may also be required.Precautions
All products in the AAA Biotech catalog are strictly for research-use only, and are absolutely not suitable for use in any sort of medical, therapeutic, prophylactic, in-vivo, or diagnostic capacity. By purchasing a product from AAA Biotech, you are explicitly certifying that said products will be properly tested and used in line with industry standard. AAA Biotech and its authorized distribution partners reserve the right to refuse to fulfill any order if we have any indication that a purchaser may be intending to use a product outside of our accepted criteria.Disclaimer
Though we do strive to guarantee the information represented in this datasheet, AAA Biotech cannot be held responsible for any oversights or imprecisions. AAA Biotech reserves the right to adjust any aspect of this datasheet at any time and without notice. It is the responsibility of the customer to inform AAA Biotech of any product performance issues observed or experienced within 30 days of receipt of said product. To see additional details on this or any of our other policies, please see our Terms & Conditions page.Item has been added to Shopping Cart
If you are ready to order, navigate to Shopping Cart and get ready to checkout.
