Rabbit PRMT1 Polyclonal Antibody | anti-PRMT1 antibody
PRMT1 Antibody
Phosphate buffered saline, pH 7.4, 150mM NaCl, 0.02% sodium azide and 50% glycerol.
WB (Western Blot)
(Western blot analysis of Hela using PRMT1 antibody. The lane on the left is treated with the antigen-specific peptide.)
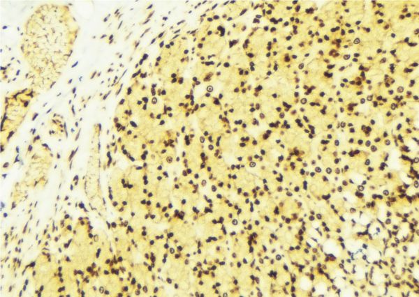
IHC (Immunohistochemistry)
(AAA325981 at 1/100 staining Human gastric tissue by IHC-P. The sample was formaldehyde fixed and a heat mediated antigen retrieval step in citrate buffer was performed. The sample was then blocked and incubated with the antibody for 1.5 hours at 22 degree C. An HRP conjugated goat anti-rabbit antibody was used as the secondary.)
Function: Arginine methyltransferase that methylates (mono and asymmetric dimethylation) the guanidino nitrogens of arginyl residues present in proteins such as ESR1, histone H2, H3 and H4, PIAS1, HNRNPA1, HNRNPD, NFATC2IP, SUPT5H, TAF15, EWS, HABP4 and SERBP1 (PubMed:16879614). Constitutes the main enzyme that mediates monomethylation and asymmetric dimethylation of histone H4 'Arg-4' (H4R3me1 and H4R3me2a, respectively), a specific tag for epigenetic transcriptional activation. Together with dimethylated PIAS1, represses STAT1 transcriptional activity, in the late phase of interferon gamma (IFN-gamma) signaling. May be involved in the regulation of TAF15 transcriptional activity, act as an activator of estrogen receptor (ER)-mediated transactivation, play a key role in neurite outgrowth and act as a negative regulator of megakaryocytic differentiation, by modulating p38 MAPK pathway. Methylates FOXO1 and retains it in the nucleus increasing its transcriptional activity. Methylates CHTOP and this methylation is critical for its 5-hydroxymethylcytosine (5hmC)-binding activity (PubMed:25284789). Methylates H4R3 in genes involved in glioblastomagenesis in a CHTOP-and/or TET1-dependent manner (PubMed:25284789).
Subunit Structure: Homodimer (PubMed:16879614). Heterodimer with PRMT8. Individual homodimers can associate to form a homohexamer. Interacts with BTG1, BTG2, NFATC2IP and IFNAR1 (By similarity). Interacts with and methylates CHTOP, thereby enabling the interaction of CHTOP with the 5FMC complex (PubMed:25284789). Interacts with ILF3 and SUPT5H. Interacts with and methylates FOXO1, leading to the nuclear retention of FOXO1 and the stimulation of FOXO1 transcriptional activity. Methylation of FOXO1 is increased upon oxidative stress. Interacts with and probably methylates ATXN2L (PubMed:25748791). Component of the methylosome, a 20S complex containing at least CLNS1A/pICln, PRMT5/SKB1, WDR77/MEP50, PRMT1 and ERH (PubMed:25284789). Interacts with DHX9 (via RGG region) (PubMed:15084609). Interacts (via N-terminus) with HABP4 (PubMed:16879614).
Similarity: Belongs to the class I-like SAM-binding methyltransferase superfamily. Protein arginine N-methyltransferase family.
NCBI and Uniprot Product Information
Predicted: 43 kDa
Customer Reviews
Loading reviews...
Share Your Experience
Similar Products
Product Notes
The PRMT1 prmt1 (Catalog #AAA325981) is an Antibody produced from Rabbit and is intended for research purposes only. The product is available for immediate purchase. The PRMT1 Antibody reacts with Human, Mouse, Rat and may cross-react with other species as described in the data sheet. AAA Biotech's PRMT1 can be used in a range of immunoassay formats including, but not limited to, ELISA, IHC (Immunohistochemistry), WB (Western Blot). Researchers should empirically determine the suitability of the PRMT1 prmt1 for an application not listed in the data sheet. Researchers commonly develop new applications and it is an integral, important part of the investigative research process. It is sometimes possible for the material contained within the vial of "PRMT1, Polyclonal Antibody" to become dispersed throughout the inside of the vial, particularly around the seal of said vial, during shipment and storage. We always suggest centrifuging these vials to consolidate all of the liquid away from the lid and to the bottom of the vial prior to opening. Please be advised that certain products may require dry ice for shipping and that, if this is the case, an additional dry ice fee may also be required.Precautions
All products in the AAA Biotech catalog are strictly for research-use only, and are absolutely not suitable for use in any sort of medical, therapeutic, prophylactic, in-vivo, or diagnostic capacity. By purchasing a product from AAA Biotech, you are explicitly certifying that said products will be properly tested and used in line with industry standard. AAA Biotech and its authorized distribution partners reserve the right to refuse to fulfill any order if we have any indication that a purchaser may be intending to use a product outside of our accepted criteria.Disclaimer
Though we do strive to guarantee the information represented in this datasheet, AAA Biotech cannot be held responsible for any oversights or imprecisions. AAA Biotech reserves the right to adjust any aspect of this datasheet at any time and without notice. It is the responsibility of the customer to inform AAA Biotech of any product performance issues observed or experienced within 30 days of receipt of said product. To see additional details on this or any of our other policies, please see our Terms & Conditions page.Item has been added to Shopping Cart
If you are ready to order, navigate to Shopping Cart and get ready to checkout.
