Rabbit Prohibitin Polyclonal Antibody | anti-PHB antibody
Anti-Prohibitin antibody
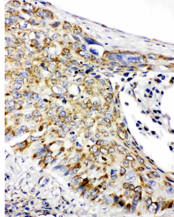
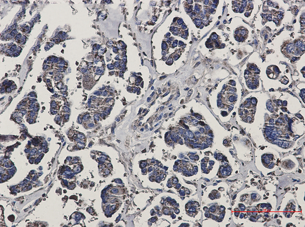
IHC (Immunohiostchemistry)
(Anti-Prohibitin antibody, AAA45394, IHC(P)IHC(P): Human Lung Cancer Tissue)
WB (Western Blot)
(Anti-Prohibitin antibody, AAA45394, Western blottingLane 1: Rat Lung Tissue LysateLane 2: Rat Skeletal Muscle Tissue LysateLane 3: Rat Brain Tissue LysateLane 4: Rat Kidney Tissue LysateLane 5: HELA Cell LysateLane 6: MCF-7 Cell LysateLane 7: PC-12 Cell LysateLane 8: A549 Cell LysateLane 9: SMMC Cell Lysate)
Background: PHB(Prohibitin), also known as PHB1, is a protein that in humans is encoded by the PHB gene. White et al.(1991) mapped the PHB gene to chromosome 17 by analysis of human-mouse somatic cell hybrid cell lines using a genomic fragment of human prohibitin DNA isolated from a library using the rat prohibitin cDNA clone. By in situ hybridization, they localized the gene to 17q21. Sato et al.(1992) isolated the human homolog of the rat prohibitin gene and mapped it to 17q12-q21 by in situ hybridization. Proliferation of tumor cells depends on new blood vessel formation(angiogenesis) that accompanies malignant progression. Anticancer therapies using angiogenesis inhibitors or cytotoxic agents targeted to the vasculature of tumors have been evaluated in clinical trials. Although white fat is a nonmalignant tissue, it has the capability to quickly proliferate and expand. Furthermore, it is highly vascularized. Rupnick et al.(2002) showed that nonspecific angiogenesis inhibitors can prevent the development of obesity of mice.
NCBI and Uniprot Product Information
Customer Reviews
Loading reviews...
Share Your Experience
Similar Products
Product Notes
The PHB phb (Catalog #AAA45394) is an Antibody produced from Rabbit and is intended for research purposes only. The product is available for immediate purchase. The Anti-Prohibitin antibody reacts with Human, Mouse, Rat and may cross-react with other species as described in the data sheet. AAA Biotech's Prohibitin can be used in a range of immunoassay formats including, but not limited to, ICC (Immunocytochemistry), IHC (Immunohistochemistry), WB (Western Blot). Researchers should empirically determine the suitability of the PHB phb for an application not listed in the data sheet. Researchers commonly develop new applications and it is an integral, important part of the investigative research process. It is sometimes possible for the material contained within the vial of "Prohibitin, Polyclonal Antibody" to become dispersed throughout the inside of the vial, particularly around the seal of said vial, during shipment and storage. We always suggest centrifuging these vials to consolidate all of the liquid away from the lid and to the bottom of the vial prior to opening. Please be advised that certain products may require dry ice for shipping and that, if this is the case, an additional dry ice fee may also be required.Precautions
All products in the AAA Biotech catalog are strictly for research-use only, and are absolutely not suitable for use in any sort of medical, therapeutic, prophylactic, in-vivo, or diagnostic capacity. By purchasing a product from AAA Biotech, you are explicitly certifying that said products will be properly tested and used in line with industry standard. AAA Biotech and its authorized distribution partners reserve the right to refuse to fulfill any order if we have any indication that a purchaser may be intending to use a product outside of our accepted criteria.Disclaimer
Though we do strive to guarantee the information represented in this datasheet, AAA Biotech cannot be held responsible for any oversights or imprecisions. AAA Biotech reserves the right to adjust any aspect of this datasheet at any time and without notice. It is the responsibility of the customer to inform AAA Biotech of any product performance issues observed or experienced within 30 days of receipt of said product. To see additional details on this or any of our other policies, please see our Terms & Conditions page.Item has been added to Shopping Cart
If you are ready to order, navigate to Shopping Cart and get ready to checkout.
