Rabbit Prolactin Receptor Polyclonal Antibody | anti-PRLR antibody
Anti-Prolactin Receptor antibody
Predicted to work with: Mouse
Predicted to work with: Mouse
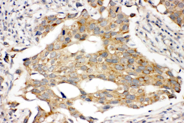
IHC (Immunohiostchemistry)
(Anti-PRLR antibody, AAA45452, IHC(P)IHC(P): Human Mammary Cancer Tissue)
WB (Western Blot)
(Figure 1. Western blot analysis of PRLR using anti- PRLR antibody (AAA45452).Electrophoresis was performed on a 5-20% SDS-PAGE gel at 70V (Stacking gel) / 90V (Resolving gel) for 2-3 hours. The sample well of each lane was loaded with 50ug of sample under reducing conditions.Lane 1: rat PC-12 whole cell lysates.After Electrophoresis, proteins were transferred to a Nitrocellulose membrane at 150mA for 50-90 minutes. Blocked the membrane with 5% Non-fat Milk/ TBS for 1.5 hour at RT. The membrane was incubated with rabbit anti- PRLR antigen affinity purified polyclonal antibody at 0.5ug/mL overnight at 4 degree C, then washed with TBS-0.1%Tween 3 times with 5 minutes each and probed with a goat anti-rabbit IgG-HRP secondary antibody at a dilution of 1:10000 for 1.5 hour at RT. The signal is developed using an Enhanced Chemiluminescent detection (ECL) kit with Tanon 5200 system. A specific band was detected for PRLR at approximately 90KD. The expected band size for PRLR is at 70KD.)
Background: PRLR(Prolactin Receptor), is a cytokine receptor. By somatic cell hybrid analysis and by in situ hybridization, Arden et al.(1989, 1990) demonstrated that the prolactin receptor gene resides in the same chromosomal region as the growth hormone receptor gene, which has been mapped to 5p13-p12. Cunningham et al.(1990) demonstrated that zinc greatly increases the affinity of GH for the extracellular binding domain of PRLR, although it is not required for binding of GH to the growth hormone receptor or for binding of prolactin to the prolactin receptor. By mutational analysis, they showed that a cluster of 3 residues(histidine-18, histidine-21, and glutamic acid-174) in GH and histidine-188 in PRLR(conserved in all PRL receptors but not GH receptors) are likely zinc-ion ligands.
NCBI and Uniprot Product Information
Customer Reviews
Loading reviews...
Share Your Experience
Similar Products
Product Notes
The PRLR prlr (Catalog #AAA45452) is an Antibody produced from Rabbit and is intended for research purposes only. The product is available for immediate purchase. The Anti-Prolactin Receptor antibody reacts with Reacts with: Human, Rat Predicted to work with: Mouse and may cross-react with other species as described in the data sheet. AAA Biotech's Prolactin Receptor can be used in a range of immunoassay formats including, but not limited to, IHC (Immunohistochemistry), WB (Western Blot). Researchers should empirically determine the suitability of the PRLR prlr for an application not listed in the data sheet. Researchers commonly develop new applications and it is an integral, important part of the investigative research process. It is sometimes possible for the material contained within the vial of "Prolactin Receptor, Polyclonal Antibody" to become dispersed throughout the inside of the vial, particularly around the seal of said vial, during shipment and storage. We always suggest centrifuging these vials to consolidate all of the liquid away from the lid and to the bottom of the vial prior to opening. Please be advised that certain products may require dry ice for shipping and that, if this is the case, an additional dry ice fee may also be required.Precautions
All products in the AAA Biotech catalog are strictly for research-use only, and are absolutely not suitable for use in any sort of medical, therapeutic, prophylactic, in-vivo, or diagnostic capacity. By purchasing a product from AAA Biotech, you are explicitly certifying that said products will be properly tested and used in line with industry standard. AAA Biotech and its authorized distribution partners reserve the right to refuse to fulfill any order if we have any indication that a purchaser may be intending to use a product outside of our accepted criteria.Disclaimer
Though we do strive to guarantee the information represented in this datasheet, AAA Biotech cannot be held responsible for any oversights or imprecisions. AAA Biotech reserves the right to adjust any aspect of this datasheet at any time and without notice. It is the responsibility of the customer to inform AAA Biotech of any product performance issues observed or experienced within 30 days of receipt of said product. To see additional details on this or any of our other policies, please see our Terms & Conditions page.Item has been added to Shopping Cart
If you are ready to order, navigate to Shopping Cart and get ready to checkout.
