Rabbit Prostate Apoptosis Response protein 4 Polyclonal Antibody | anti-PAWR antibody
Prostate Apoptosis Response protein 4 Antibody
Phosphate buffered saline, pH 7.4, 150mM NaCl, 0.02% sodium azide and 50% glycerol.
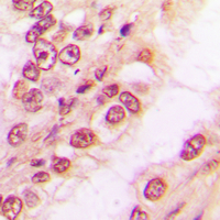
IHC (Immunohistochemisry)
(AAA322022 at 1/100 staining Human gastric tissue by IHC-P. The sample was formaldehyde fixed and a heat mediated antigen retrieval step in citrate buffer was performed. The sample was then blocked and incubated with the antibody for 1.5 hours at 22 degree C. An HRP conjugated goat anti-rabbit antibody was used as the secondary.)
WB (Western Blot)
(Western blot analysis of Prostate Apoptosis Response protein 4 expression in NIH/3T3 cells)
IF (Immunofluorescence)
(AAA322022 staining NIH-3T3 by IF/ICC. The sample were fixed with PFA and permeabilized in 0.1% Triton X-100, then blocked in 10% serum for 45 minutes at 25 degree C. The primary antibody was diluted at 1/200 and incubated with the sample for 1 hour at 37 degree C. An Alexa Fluor 594 conjugated goat anti-rabbit IgG (H+L) Ab, diluted at 1/600, was used as the secondary antibody.)
Function: Pro-apoptopic protein capable of selectively inducing apoptosis in cancer cells, sensitizing the cells to diverse apoptotic stimuli and causing regression of tumors in animal models. Induces apoptosis in certain cancer cells by activation of the Fas prodeath pathway and coparallel inhibition of NF-kappa-B transcriptional activity. Inhibits the transcriptional activation and augments the transcriptional repression mediated by WT1. Down-regulates the anti-apoptotic protein BCL2 via its interaction with WT1. Seems also to be a transcriptional repressor by itself. May be directly involved in regulating the amyloid precursor protein (APP) cleavage activity of BACE1.
Subunit Structure: Homooligomer. Interacts (via the C-terminal region) with WT1 (PubMed:8943350). Interacts with THAP1 (PubMed:12717420). Interacts with AATF (PubMed:14627703). Interacts with BACE1 (PubMed:15671026). Interacts with SPSB1 (via B30.2/SPRY domain); this interaction is direct and occurs in association with the Elongin BC complex (PubMed:17189197, PubMed:20561531). Interacts with SPSB2 (via B30.2/SPRY domain); this interaction occurs in association with the Elongin BC complex (PubMed:17189197, PubMed:20561531). Interacts with SPSB4 (via B30.2/SPRY domain) (PubMed:20561531); this interaction occurs in association with the Elongin BC complex (PubMed:20561531). Component of a ternary complex composed of SQSTM1 and PRKCZ (PubMed:11755531). Interacts with actin (By similarity).
Post-translational Modifications: Preferentially phosphorylated at the Thr-163 by PKC in cancer cells.
Similarity: The leucine-zipper domain is not essential for apoptosis, but is required for sensitization of cells to exogenous apoptotic insults and for interaction with its partners.The SAC domain is a death-inducing domain selective for apoptosis induction in cancer cells. This domain is essential for nuclear entry, Fas activation, inhibition of NF-kappa-B activity and induction of apoptosis in cancer cells (By similarity).The B30.2/SPRY domain-binding motif mediates recognition by proteins containing a B30.2/SPRY domain.
NCBI and Uniprot Product Information
Predicted: 37 kDa
Customer Reviews
Loading reviews...
Share Your Experience
Similar Products
Product Notes
The PAWR pawr (Catalog #AAA322022) is an Antibody produced from Rabbit and is intended for research purposes only. The product is available for immediate purchase. The Prostate Apoptosis Response protein 4 Antibody reacts with Human, Mouse, Rat and may cross-react with other species as described in the data sheet. AAA Biotech's Prostate Apoptosis Response protein 4 can be used in a range of immunoassay formats including, but not limited to, ELISA, ICC (Immunocytochemistry), IF (Immunofluorescence), IHC (Immunohistochemistry), WB (Western Blot). Researchers should empirically determine the suitability of the PAWR pawr for an application not listed in the data sheet. Researchers commonly develop new applications and it is an integral, important part of the investigative research process. It is sometimes possible for the material contained within the vial of "Prostate Apoptosis Response protein 4, Polyclonal Antibody" to become dispersed throughout the inside of the vial, particularly around the seal of said vial, during shipment and storage. We always suggest centrifuging these vials to consolidate all of the liquid away from the lid and to the bottom of the vial prior to opening. Please be advised that certain products may require dry ice for shipping and that, if this is the case, an additional dry ice fee may also be required.Precautions
All products in the AAA Biotech catalog are strictly for research-use only, and are absolutely not suitable for use in any sort of medical, therapeutic, prophylactic, in-vivo, or diagnostic capacity. By purchasing a product from AAA Biotech, you are explicitly certifying that said products will be properly tested and used in line with industry standard. AAA Biotech and its authorized distribution partners reserve the right to refuse to fulfill any order if we have any indication that a purchaser may be intending to use a product outside of our accepted criteria.Disclaimer
Though we do strive to guarantee the information represented in this datasheet, AAA Biotech cannot be held responsible for any oversights or imprecisions. AAA Biotech reserves the right to adjust any aspect of this datasheet at any time and without notice. It is the responsibility of the customer to inform AAA Biotech of any product performance issues observed or experienced within 30 days of receipt of said product. To see additional details on this or any of our other policies, please see our Terms & Conditions page.Item has been added to Shopping Cart
If you are ready to order, navigate to Shopping Cart and get ready to checkout.
