Rabbit PSEN1 Polyclonal Antibody | anti-PSEN1 antibody
PSEN1 antibody - middle region
WB (Western Blot)
(WB Suggested Anti-PSEN1 Antibody Titration: 0.2-1 ug/mlELISA Titer: 1:312500Positive Control: Human brain)
WB (Western Blot)
(Lanes:1. Mouse WT brain extract (80ug) 2. Rat brain extract (80ug)Primary Antibody Dilution:2ug/mlSecondary Antibody:IRDye 800CW goat anti-rabbit from Li-COR BioscienceSecondary Antibody Dilution:1: 20,000Gene Name:PSEN1Submitted by:Dr. Yuzhi Chen, University of Arkansas for Medical Science)
WB (Western Blot)
(Host: RabbitTarget Name: PSEN1Sample Type: Human Adult PlacentaAntibody Dilution: 1.0ug/ml)
WB (Western Blot)
(Host: RabbitTarget Name: PSEN1Sample Type: Human 721_BAntibody Dilution: 1.0ug/mlPSEN1 is strongly supported by BioGPS gene expression data to be expressed in Human 721_B cells)
IP (Immunoprecipitation)
(Sample Type: Mouse brainAmount and Sample Type :500 ug mouse brain homogenateAmount of IP Antibody :6 ugPrimary Antibody :PSEN1Primary Antibody Dilution :1:500Secondary Antibody :Goat anti-rabbit Alexa-Fluor 594Secondary Antibody Dilution :1:5000Gene Name :PSEN1Submitted by :Dr. Yuzhi Chen, University of Arkansas for Medical Science)
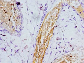
IHC (Immunohistochemistry)
(The PSEN1 antibody (#ARP58941) works fine in 4% paraformaldehyde fixed tissue sections (30 um), they were cut on a sliding, freezing microtome. We stained it overnight 1:500 followed with a biotinylated secondary, followed by an Avidin/peroxidase tertiary antibody, final staining with metal-intensified DAB. Similarly, both LRP antibodies (#ARP58562 &ARP58563) work fine (stain appropriately) with this procedure. We are still evaluating the BACE1 antibody, it seems to work, too. -Dr. Thomas van Groen)
Target Description: Alzheimer's disease (AD) patients with an inherited form of the disease carry mutations in the presenilin proteins (PSEN1; PSEN2) or in the amyloid precursor protein (APP). These disease-linked mutations result in increased production of the longer form of amyloid-beta (main component of amyloid deposits found in AD brains). Presenilins are postulated to regulate APP processing through their effects on gamma-secretase, an enzyme that cleaves APP. Also, it is thought that the presenilins are involved in the cleavage of the Notch receptor, such that they either directly regulate gamma-secretase activity or themselves are protease enzymes. Several alternatively spliced transcript variants encoding different isoforms have been identified for this gene, the full-length nature of only some have been determined.
NCBI and Uniprot Product Information
Customer Reviews
Loading reviews...
Share Your Experience
Similar Products
Product Notes
The PSEN1 psen1 (Catalog #AAA23585) is an Antibody produced from Rabbit and is intended for research purposes only. The product is available for immediate purchase. The PSEN1 antibody - middle region reacts with Cow, Dog, Guinea Pig, Horse, Human, Mouse, Rabbit, Rat and may cross-react with other species as described in the data sheet. AAA Biotech's PSEN1 can be used in a range of immunoassay formats including, but not limited to, IHC (Immunohistochemistry), IP (Immunoprecipitation), WB (Western Blot). Researchers should empirically determine the suitability of the PSEN1 psen1 for an application not listed in the data sheet. Researchers commonly develop new applications and it is an integral, important part of the investigative research process. The amino acid sequence is listed below: Synthetic peptide located within the following region: EGDPEAQRRV SKNSKYNAES TERESQDTVA ENDDGGFSEE WEAQRDSHLG. It is sometimes possible for the material contained within the vial of "PSEN1, Polyclonal Antibody" to become dispersed throughout the inside of the vial, particularly around the seal of said vial, during shipment and storage. We always suggest centrifuging these vials to consolidate all of the liquid away from the lid and to the bottom of the vial prior to opening. Please be advised that certain products may require dry ice for shipping and that, if this is the case, an additional dry ice fee may also be required.Precautions
All products in the AAA Biotech catalog are strictly for research-use only, and are absolutely not suitable for use in any sort of medical, therapeutic, prophylactic, in-vivo, or diagnostic capacity. By purchasing a product from AAA Biotech, you are explicitly certifying that said products will be properly tested and used in line with industry standard. AAA Biotech and its authorized distribution partners reserve the right to refuse to fulfill any order if we have any indication that a purchaser may be intending to use a product outside of our accepted criteria.Disclaimer
Though we do strive to guarantee the information represented in this datasheet, AAA Biotech cannot be held responsible for any oversights or imprecisions. AAA Biotech reserves the right to adjust any aspect of this datasheet at any time and without notice. It is the responsibility of the customer to inform AAA Biotech of any product performance issues observed or experienced within 30 days of receipt of said product. To see additional details on this or any of our other policies, please see our Terms & Conditions page.Frequently Asked Questions
What applications is this PSEN1 antibody validated for (WB, IHC, IF)?
The PSEN1 polyclonal antibody (Cat# AAA23585) is validated for Western Blot, Immunohistochemistry, and Immunoprecipitation. WB recommended dilution is 1:500-1:2000. The ELISA titer is 1:312,500 with human brain as positive control.
Which species does the PSEN1 polyclonal antibody detect?
This antibody detects PSEN1 across multiple species, including human, mouse, rat, cow, dog, guinea pig, and horse, making it suitable for diverse research models.
Does this antibody show any cross-reactivity with other presenilin family proteins?
AAA Biotech antibodies are affinity-purified and designed for specificity to their target. However, presenilin family proteins share structural homology. Cross-reactivity testing should be performed empirically if distinction between PSEN1 and PSEN2 is critical.
Is it suitable for detecting endogenous PSEN1 in tissue samples?
Yes, the antibody is suitable for detecting endogenous PSEN1 in tissue lysates and immunohistochemical applications. Human brain tissue serves as a validated positive control for optimization.
What storage conditions are required for long-term stability?
Store at -20°C or lower for long-term stability. Aliquot to minimize freeze-thaw cycles. Avoid repeated freezing and thawing, which can reduce antibody functionality.
Item has been added to Shopping Cart
If you are ready to order, navigate to Shopping Cart and get ready to checkout.
