Loading...

Skip to main content
Call us at +1-800-604-9114 for more information about our products or contact us online Need help? +1-800-604-9114 or contact us
product-image-AAA237758_SDS_PAGE11.jpg SDS-PAGE (Gel: 10%SDS-PAGE, Lysate: 50 ug, Lane 1-3: 293T cells, Hela cells, Jurkat cells, Primary antibody: AAA237758(PSMD3 Antibody) at dilution 1/400, Secondary antibody: Goat anti rabbit IgG at 1/8000 dilution, Exposure time: 30 seconds)

Rabbit anti-Human, Mouse PSMD3 Polyclonal Antibody | anti-PSMD3 antibody

PSMD3 Antibody

Average rating 0.0
No ratings yet
Gene Names
PSMD3; S3; P58; RPN3; TSTA2
Reactivity
Human, Mouse
Applications
Immunohistochemistry, Western Blot, ELISA
Purity
Antigen Affinity Purification
Synonyms
PSMD3, Antibody; PSMD3 Antibody; proteasome (prosome; macropain) 26S subunit; non-ATPase; 3; anti-PSMD3 antibody
Ordering
Host
Rabbit
Reactivity
Human, Mouse
Clonality
Polyclonal
Isotype
IgG
Purity/Purification
Antigen Affinity Purification
Form/Format
Liquid; In Phosphate Buffered Saline, pH 7.4, 0.05% NaN3, and 40% Glycerol
Applicable Applications for anti-PSMD3 antibody
IHC (Immunohistochemistry), WB (Western Blot), ELISA
Immunogen
Fusion protein of human PSMD3
Immunogen Species
Human
Conjugate
Non-conjugated
Preparation and Storage
Upon receipt, store at -20 degree C or -80 degree C. Avoid repeated freeze.

SDS-PAGE

(Gel: 10%SDS-PAGE, Lysate: 50 ug, Lane 1-3: 293T cells, Hela cells, Jurkat cells, Primary antibody: AAA237758(PSMD3 Antibody) at dilution 1/400, Secondary antibody: Goat anti rabbit IgG at 1/8000 dilution, Exposure time: 30 seconds)

product-image-AAA237758_SDS_PAGE11.jpg SDS-PAGE (Gel: 10%SDS-PAGE, Lysate: 50 ug, Lane 1-3: 293T cells, Hela cells, Jurkat cells, Primary antibody: AAA237758(PSMD3 Antibody) at dilution 1/400, Secondary antibody: Goat anti rabbit IgG at 1/8000 dilution, Exposure time: 30 seconds)

IHC (Immunohiostchemistry)

(The image on the left is immunohistochemistry of paraffin-embedded Human ovarian cancer tissue using AAA237758(PSMD3 Antibody) at dilution 1/30, on the right is treated with fusion protein. (Original magnification: ×200))

product-image-AAA237758_IHC13.jpg IHC (Immunohiostchemistry) (The image on the left is immunohistochemistry of paraffin-embedded Human ovarian cancer tissue using AAA237758(PSMD3 Antibody) at dilution 1/30, on the right is treated with fusion protein. (Original magnification: ×200))

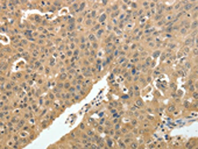
IHC (Immunohistochemistry)

(The image on the left is immunohistochemistry of paraffin-embedded Human liver cancer tissue using AAA237758(PSMD3 Antibody) at dilution 1/30, on the right is treated with fusion protein. (Original magnification: ×200))

product-image-AAA237758_IHC15.jpg IHC (Immunohistochemistry) (The image on the left is immunohistochemistry of paraffin-embedded Human liver cancer tissue using AAA237758(PSMD3 Antibody) at dilution 1/30, on the right is treated with fusion protein. (Original magnification: ×200))
Product Categories/Family for anti-PSMD3 antibody

NCBI and Uniprot Product Information

NCBI GI #
NCBI GeneID
NCBI Accession #
NCBI GenBank Nucleotide #
UniProt Accession #
Molecular Weight
60,978 Da
NCBI Official Full Name
26S proteasome non-ATPase regulatory subunit 3
NCBI Official Synonym Full Names
proteasome (prosome, macropain) 26S subunit, non-ATPase, 3
NCBI Official Symbol
PSMD3
NCBI Official Synonym Symbols
S3; P58; RPN3; TSTA2
NCBI Protein Information
26S proteasome non-ATPase regulatory subunit 3; proteasome subunit p58; 26S proteasome regulatory subunit S3; 26S proteasome regulatory subunit RPN3; tissue specific transplantation antigen 2
UniProt Protein Name
26S proteasome non-ATPase regulatory subunit 3
UniProt Gene Name
PSMD3
UniProt Entry Name
PSMD3_HUMAN

Customer Reviews

View All Reviews

Loading reviews...

Share Your Experience

Rating

Similar Products

Product Notes

The PSMD3 psmd3 (Catalog #AAA237758) is an Antibody produced from Rabbit and is intended for research purposes only. The product is available for immediate purchase. The PSMD3 Antibody reacts with Human, Mouse and may cross-react with other species as described in the data sheet. AAA Biotech's PSMD3 can be used in a range of immunoassay formats including, but not limited to, IHC (Immunohistochemistry), WB (Western Blot), ELISA. Researchers should empirically determine the suitability of the PSMD3 psmd3 for an application not listed in the data sheet. Researchers commonly develop new applications and it is an integral, important part of the investigative research process. It is sometimes possible for the material contained within the vial of "PSMD3, Polyclonal Antibody" to become dispersed throughout the inside of the vial, particularly around the seal of said vial, during shipment and storage. We always suggest centrifuging these vials to consolidate all of the liquid away from the lid and to the bottom of the vial prior to opening. Please be advised that certain products may require dry ice for shipping and that, if this is the case, an additional dry ice fee may also be required.

Precautions

All products in the AAA Biotech catalog are strictly for research-use only, and are absolutely not suitable for use in any sort of medical, therapeutic, prophylactic, in-vivo, or diagnostic capacity. By purchasing a product from AAA Biotech, you are explicitly certifying that said products will be properly tested and used in line with industry standard. AAA Biotech and its authorized distribution partners reserve the right to refuse to fulfill any order if we have any indication that a purchaser may be intending to use a product outside of our accepted criteria.

Disclaimer

Though we do strive to guarantee the information represented in this datasheet, AAA Biotech cannot be held responsible for any oversights or imprecisions. AAA Biotech reserves the right to adjust any aspect of this datasheet at any time and without notice. It is the responsibility of the customer to inform AAA Biotech of any product performance issues observed or experienced within 30 days of receipt of said product. To see additional details on this or any of our other policies, please see our Terms & Conditions page.

Item has been added to Shopping Cart

If you are ready to order, navigate to Shopping Cart and get ready to checkout.

Submit a Question

Please complete the form below and a representative will contact you as soon as possible.

Request more Information

Please complete the form below and a representative will contact you as soon as possible.

Request a Manual

Please complete the form below and a representative will contact you as soon as possible.

Request a Quote

Please complete the form below and a representative will contact you as soon as possible.