Rabbit anti-Human PSMD3 Polyclonal Antibody | anti-PSMD3 antibody
PSMD3 Antibody
Gene Names
PSMD3; S3; P58; RPN3; TSTA2
Reactivity
Human
Applications
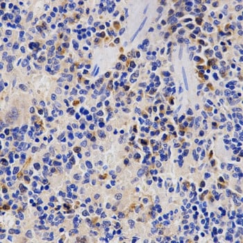
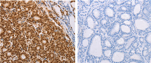
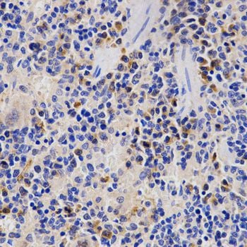
Immunohistochemistry, Western Blot, ELISA
Purity
Affinity-purified from rabbit antiserum by affinity-chromatography using epitope-specific immunogen.
Synonyms
PSMD3, Antibody; PSMD3 Antibody; 26S proteasome non-ATPase regulatory subunit 3; 26S proteasome regulatory subunit S3; proteasome subunit p58; PSD3; anti-PSMD3 antibody
Host
Rabbit
Reactivity
Human
Clonality
Polyclonal
Isotype
IgG
Purity/Purification
Affinity-purified from rabbit antiserum by affinity-chromatography using epitope-specific immunogen.
Form/Format
Liquid; Rabbit IgG In Phosphate Buffered Saline (without Mg2+ and Ca2+), pH 7.4, 150mM NaCl, 0.02% Sodium Azide and 50% Glycerol.
Applicable Applications for anti-PSMD3 antibody
IHC (Immunohistochemistry), WB (Western Blot), ELISA
Immunogen
Synthesized peptide derived from internal of human PSMD3.
Immunogen Species
Human
Conjugate
Non-conjugated
Preparation and Storage
Upon receipt, store at -20 degree C or -80 degree C. Avoid repeated freeze.
Product Categories/Family for anti-PSMD3 antibody
NCBI and Uniprot Product Information
NCBI GI #
NCBI GeneID
NCBI Accession #
NCBI GenBank Nucleotide #
Molecular Weight
60,978 Da
NCBI Official Full Name
26S proteasome non-ATPase regulatory subunit 3
NCBI Official Synonym Full Names
proteasome (prosome, macropain) 26S subunit, non-ATPase, 3
NCBI Official Symbol
PSMD3
NCBI Official Synonym Symbols
S3; P58; RPN3; TSTA2
NCBI Protein Information
26S proteasome non-ATPase regulatory subunit 3; proteasome subunit p58; 26S proteasome regulatory subunit S3; 26S proteasome regulatory subunit RPN3; tissue specific transplantation antigen 2
UniProt Protein Name
26S proteasome non-ATPase regulatory subunit 3
UniProt Gene Name
PSMD3
UniProt Entry Name
PSMD3_HUMAN
Customer Reviews
Loading reviews...
Share Your Experience
Similar Products
PSMD3 Antibody
Host: Rabbit
Reactivity: Human, Mouse
Apps: Immunohistochemistry, Western Blot, ELISA
PSMD3 Antibody
Host: Rabbit
Reactivity: Human, Mouse
Apps: Immunohistochemistry, Western Blot, ELISA
PSMD3 Antibody
Host: Rabbit
Reactivity: Human, Mouse
Apps: Immunohistochemistry, Western Blot, ELISA
Product Notes
The PSMD3 psmd3 (Catalog #AAA242544) is an Antibody produced from Rabbit and is intended for research purposes only. The product is available for immediate purchase. The PSMD3 Antibody reacts with Human and may cross-react with other species as described in the data sheet. AAA Biotech's PSMD3 can be used in a range of immunoassay formats including, but not limited to, IHC (Immunohistochemistry), WB (Western Blot), ELISA. Researchers should empirically determine the suitability of the PSMD3 psmd3 for an application not listed in the data sheet. Researchers commonly develop new applications and it is an integral, important part of the investigative research process. It is sometimes possible for the material contained within the vial of "PSMD3, Polyclonal Antibody" to become dispersed throughout the inside of the vial, particularly around the seal of said vial, during shipment and storage. We always suggest centrifuging these vials to consolidate all of the liquid away from the lid and to the bottom of the vial prior to opening. Please be advised that certain products may require dry ice for shipping and that, if this is the case, an additional dry ice fee may also be required.Precautions
All products in the AAA Biotech catalog are strictly for research-use only, and are absolutely not suitable for use in any sort of medical, therapeutic, prophylactic, in-vivo, or diagnostic capacity. By purchasing a product from AAA Biotech, you are explicitly certifying that said products will be properly tested and used in line with industry standard. AAA Biotech and its authorized distribution partners reserve the right to refuse to fulfill any order if we have any indication that a purchaser may be intending to use a product outside of our accepted criteria.Disclaimer
Though we do strive to guarantee the information represented in this datasheet, AAA Biotech cannot be held responsible for any oversights or imprecisions. AAA Biotech reserves the right to adjust any aspect of this datasheet at any time and without notice. It is the responsibility of the customer to inform AAA Biotech of any product performance issues observed or experienced within 30 days of receipt of said product. To see additional details on this or any of our other policies, please see our Terms & Conditions page.Item has been added to Shopping Cart
If you are ready to order, navigate to Shopping Cart and get ready to checkout.
