Rabbit PTHLH Polyclonal Antibody | anti-PTHLH antibody
PTHLH antibody - middle region
WB (Western Blot)
(WB Suggested Anti-PTHLH Antibody Titration: 2.0ug/mlPositive Control: HepG2 cell lysate)
WB (Western Blot)
(Sample Type: Human , Mouse, RatPrimary antibody dilution: 1:1000Secondary antibody: Goat anti-rabbit HRPSecondary antibody dilution:1:2000)
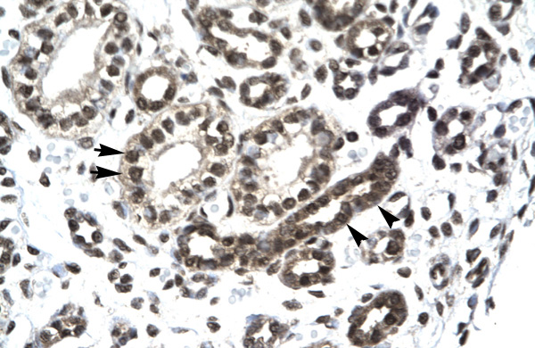
IHC (Immunohiostchemistry)
(Rabbit Anti-PTHLH AntibodyParaffin Embedded Tissue: Human KidneyCellular Data: Epithelial cells of collecting tubule and renal tubuleAntibody Concentration: 4.0-8.0 ug/mlMagnification: 400X)
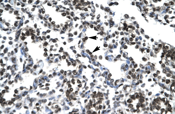
IHC (Immunohistochemistry)
(IHC Information:Rabbit Anti-PTHLH AntibodyParaffin Embedded Tissue: Human LungCellular Data: Alveolar cellsAntibody Concentration: 4.0-8.0 ug/mlMagnification: 400X)
Target Description: PTHLH is a member of the parathyroid hormone family. This hormone regulates endochondral bone development and epithelial-mesenchymal interactions during the formation of the mammary glands and teeth. This hormone is involved in lactation possibly by regulating the mobilization and transfer of calcium to the milk. The receptor of this hormone, PTHR1, is responsible for most cases of humoral hypercalcemia of malignancy. Four alternatively spliced transcript variants encoding two distinct isoforms have been observed.
NCBI and Uniprot Product Information
Customer Reviews
Loading reviews...
Share Your Experience
Similar Products
Product Notes
The PTHLH pthlh (Catalog #AAA197684) is an Antibody produced from Rabbit and is intended for research purposes only. The product is available for immediate purchase. The PTHLH antibody - middle region reacts with Cow, Dog, Goat, Guinea Pig, Horse, Human, Mouse, Rabbit, Rat and may cross-react with other species as described in the data sheet. AAA Biotech's PTHLH can be used in a range of immunoassay formats including, but not limited to, WB (Western Blot), IHC (Immunohistochemistry). Researchers should empirically determine the suitability of the PTHLH pthlh for an application not listed in the data sheet. Researchers commonly develop new applications and it is an integral, important part of the investigative research process. The amino acid sequence is listed below: Synthetic peptide located within the following region: YKEQPLKTPG KKKKGKPGKR KEQEKKKRRT RSAWLDSGVT GSGLEGDHLS. It is sometimes possible for the material contained within the vial of "PTHLH, Polyclonal Antibody" to become dispersed throughout the inside of the vial, particularly around the seal of said vial, during shipment and storage. We always suggest centrifuging these vials to consolidate all of the liquid away from the lid and to the bottom of the vial prior to opening. Please be advised that certain products may require dry ice for shipping and that, if this is the case, an additional dry ice fee may also be required.Precautions
All products in the AAA Biotech catalog are strictly for research-use only, and are absolutely not suitable for use in any sort of medical, therapeutic, prophylactic, in-vivo, or diagnostic capacity. By purchasing a product from AAA Biotech, you are explicitly certifying that said products will be properly tested and used in line with industry standard. AAA Biotech and its authorized distribution partners reserve the right to refuse to fulfill any order if we have any indication that a purchaser may be intending to use a product outside of our accepted criteria.Disclaimer
Though we do strive to guarantee the information represented in this datasheet, AAA Biotech cannot be held responsible for any oversights or imprecisions. AAA Biotech reserves the right to adjust any aspect of this datasheet at any time and without notice. It is the responsibility of the customer to inform AAA Biotech of any product performance issues observed or experienced within 30 days of receipt of said product. To see additional details on this or any of our other policies, please see our Terms & Conditions page.Item has been added to Shopping Cart
If you are ready to order, navigate to Shopping Cart and get ready to checkout.
