Rabbit PTHLH Polyclonal Antibody | anti-PTHLH antibody
PTHLH Antibody
Phosphate buffered saline, pH 7.4, 150mM NaCl, 0.02% sodium azide and 50% glycerol.
WB (Western Blot)
(Western blot analysis of extracts of A549, using PTHLH antibody. The lane on the left is treated with the antigen-specific peptide.)
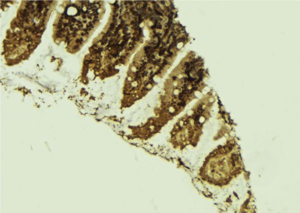
IHC (Immunohistochemistry)
(AAA326298 at 1/100 staining Mouse colon tissue by IHC-P. The sample was formaldehyde fixed and a heat mediated antigen retrieval step in citrate buffer was performed. The sample was then blocked and incubated with the antibody for 1.5 hours at 22 degree C. An HRP conjugated goat anti-rabbit antibody was used as the secondary.)
Function: Neuroendocrine peptide which is a critical regulator of cellular and organ growth, development, migration, differentiation and survival and of epithelial calcium ion transport. Regulates endochondral bone development and epithelial-mesenchymal interactions during the formation of the mammary glands and teeth. Required for skeletal homeostasis. Promotes mammary mesenchyme differentiation and bud outgrowth by modulating mesenchymal cell responsiveness to BMPs. Upregulates BMPR1A expression in the mammary mesenchyme and this increases the sensitivity of these cells to BMPs and allows them to respond to BMP4 in a paracrine and/or autocrine fashion. BMP4 signaling in the mesenchyme, in turn, triggers epithelial outgrowth and augments MSX2 expression, which causes the mammary mesenchyme to inhibit hair follicle formation within the nipple sheath (By similarity). Promotes colon cancer cell migration and invasion in an integrin alpha-6/beta-1-dependent manner through activation of Rac1.
Subunit Structure: PTHrP interacts with PTH1R (via N-terminal extracellular domain).
Post-translational Modifications: There are 3 principal secretory forms, called PTHrP[1-36], PTHrP[38-94], and osteostatin (PTHrP[107-139]) arising from endoproteolytic cleavage of the initial translation product. Each of these secretory forms is believed to have one or more of its own receptors that mediates the normal paracrine, autocrine and endocrine actions.
Similarity: Belongs to the parathyroid hormone family.
NCBI and Uniprot Product Information
Predicted: 21 kDa
Customer Reviews
Loading reviews...
Share Your Experience
Similar Products
Product Notes
The PTHLH pthlh (Catalog #AAA326298) is an Antibody produced from Rabbit and is intended for research purposes only. The product is available for immediate purchase. The PTHLH Antibody reacts with Human, Mouse, Rat and may cross-react with other species as described in the data sheet. AAA Biotech's PTHLH can be used in a range of immunoassay formats including, but not limited to, ELISA, IHC (Immunohistochemistry), WB (Western Blot). Researchers should empirically determine the suitability of the PTHLH pthlh for an application not listed in the data sheet. Researchers commonly develop new applications and it is an integral, important part of the investigative research process. It is sometimes possible for the material contained within the vial of "PTHLH, Polyclonal Antibody" to become dispersed throughout the inside of the vial, particularly around the seal of said vial, during shipment and storage. We always suggest centrifuging these vials to consolidate all of the liquid away from the lid and to the bottom of the vial prior to opening. Please be advised that certain products may require dry ice for shipping and that, if this is the case, an additional dry ice fee may also be required.Precautions
All products in the AAA Biotech catalog are strictly for research-use only, and are absolutely not suitable for use in any sort of medical, therapeutic, prophylactic, in-vivo, or diagnostic capacity. By purchasing a product from AAA Biotech, you are explicitly certifying that said products will be properly tested and used in line with industry standard. AAA Biotech and its authorized distribution partners reserve the right to refuse to fulfill any order if we have any indication that a purchaser may be intending to use a product outside of our accepted criteria.Disclaimer
Though we do strive to guarantee the information represented in this datasheet, AAA Biotech cannot be held responsible for any oversights or imprecisions. AAA Biotech reserves the right to adjust any aspect of this datasheet at any time and without notice. It is the responsibility of the customer to inform AAA Biotech of any product performance issues observed or experienced within 30 days of receipt of said product. To see additional details on this or any of our other policies, please see our Terms & Conditions page.Item has been added to Shopping Cart
If you are ready to order, navigate to Shopping Cart and get ready to checkout.
