RAB13 Polyclonal Antibody | anti-RAB13 antibody
Anti-RAB13 Antibody
IHC (Immunohistochemisry)
(Anti- RAB13 Picoband antibody, AAA46539, IHC(P)IHC(P): Rat Intestine Tissue)
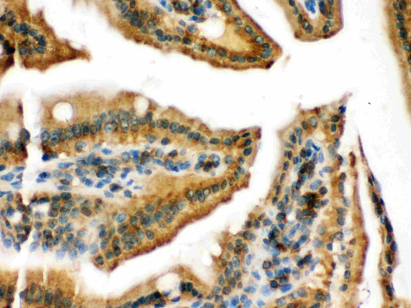
IHC (Immunohiostchemistry)
(Anti- RAB13 Picoband antibody, AAA46539, IHC(P)IHC(P): Mouse Intestine Tissue)
WB (Western Blot)
(Anti- RAB13 Picoband antibody, AAA46539, Western blottingAll lanes: Anti RAB13 (AAA46539) at 0.5ug/mlLane 1: Rat Kidney Tissue Lysate at 50ugLane 2: HELA Whole Cell Lysate at 40ugLane 3: HEPG2 Whole Cell Lysate at 40ugPredicted bind size: 23KD, 45KDObserved bind size: 23KD, 45KD)
Background: Ras-related protein Rab-13 is a protein that in humans is encoded by the RAB13 gene. This gene is a member of the Rab family of small G proteins and plays a role in regulating membrane trafficking between trans-Golgi network (TGN) and recycling endosomes (RE). The encoded protein is involved in the assembly of tight junctions, which are components of the apical junctional complex (AJC) of epithelial cells. The AJC plays a role in forming a barrier between luminal contents and the underlying tissue. Additional functions associated with the protein include endocytic recycling of occludin, regulation of epithelial cell scattering, neuronal regeneration and regulation of neurite outgrowth. Alternately spliced transcript variants have been observed for this gene. A pseudogene associated with this gene is located on chromosome 12.
NCBI and Uniprot Product Information
Customer Reviews
Loading reviews...
Share Your Experience
Similar Products
Product Notes
The RAB13 rab13 (Catalog #AAA46539) is an Antibody and is intended for research purposes only. The product is available for immediate purchase. The Anti-RAB13 Antibody reacts with Human, Mouse, Rat and may cross-react with other species as described in the data sheet. AAA Biotech's RAB13 can be used in a range of immunoassay formats including, but not limited to, IHC (Immunohistochemistry), WB (Western Blot). Researchers should empirically determine the suitability of the RAB13 rab13 for an application not listed in the data sheet. Researchers commonly develop new applications and it is an integral, important part of the investigative research process. It is sometimes possible for the material contained within the vial of "RAB13, Polyclonal Antibody" to become dispersed throughout the inside of the vial, particularly around the seal of said vial, during shipment and storage. We always suggest centrifuging these vials to consolidate all of the liquid away from the lid and to the bottom of the vial prior to opening. Please be advised that certain products may require dry ice for shipping and that, if this is the case, an additional dry ice fee may also be required.Precautions
All products in the AAA Biotech catalog are strictly for research-use only, and are absolutely not suitable for use in any sort of medical, therapeutic, prophylactic, in-vivo, or diagnostic capacity. By purchasing a product from AAA Biotech, you are explicitly certifying that said products will be properly tested and used in line with industry standard. AAA Biotech and its authorized distribution partners reserve the right to refuse to fulfill any order if we have any indication that a purchaser may be intending to use a product outside of our accepted criteria.Disclaimer
Though we do strive to guarantee the information represented in this datasheet, AAA Biotech cannot be held responsible for any oversights or imprecisions. AAA Biotech reserves the right to adjust any aspect of this datasheet at any time and without notice. It is the responsibility of the customer to inform AAA Biotech of any product performance issues observed or experienced within 30 days of receipt of said product. To see additional details on this or any of our other policies, please see our Terms & Conditions page.Item has been added to Shopping Cart
If you are ready to order, navigate to Shopping Cart and get ready to checkout.
