anti-Human, Rat Rad51 Polyclonal Antibody | anti-RAD51 antibody
Anti-Rad51 Antibody
WB (Western Blot)
(Applications: Western BlotSample: MEFsDetection: LICOR Odyssey"The goal was to confirm the knockdown of mouse Rad51 via siRNA. Confirmed siRNA knockdown expression. Good detection. Recommended.")
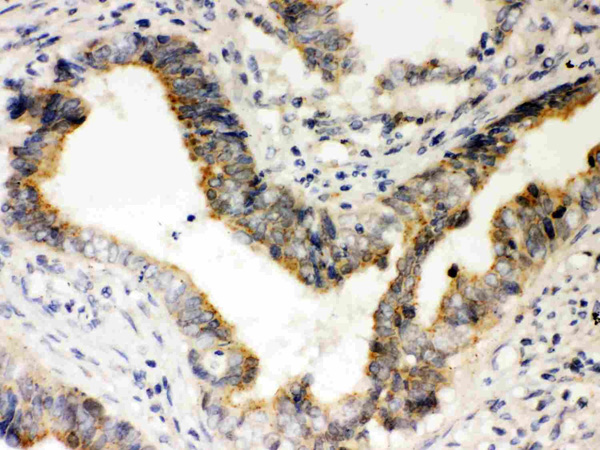
IHC (Immunohistochemisry)
(Anti- Rad51 Picoband antibody, AAA46435, IHC(P)IHC(P): Human Intestinal Cancer Tissue)
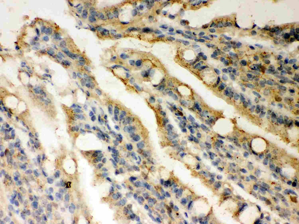
IHC (Immunohiostchemistry)
(Anti- Rad51 Picoband antibody, AAA46435, IHC(P)IHC(P): Rat Intestine Tissue)
WB (Western Blot)
(Anti- Rad51 Picoband antibody, AAA46435, Western blottingAll lanes: Anti Rad51 (AAA46435) at 0.5ug/mlLane 1: 22RV1 Whole Cell Lysate at 40ugLane 2: SW620 Whole Cell Lysate at 40ugLane 3: PANC Whole Cell Lysate at 40ugLane 4: U87 Whole Cell Lysate at 40ugLane 5: CEM Whole Cell Lysate at 40ugLane 6: MM231 Whole Cell Lysate at 40ugPredicted bind size: 37KDObserved bind size: 37KD)
Background: DNA repair protein RAD51 homolog 1, also known as RAD51A, is a human gene. The Rad51 gene, HsRAD51, is a homolog of RecA of Escherichia coli and functions in recombination and DNA repair. BRCA1 and BRCA2 proteins form a complex with Rad51, and these genes are thought to participate in a common DNA damage response pathway associated with the activation of homologous recombination and double-strand break repair. RAD51 is also found to interact with BRCA1 and BRCA2, which may be important for the cellular response to DNA damage. BRCA2 is shown to regulate both the intracellular localization and DNA-binding ability of this protein. Loss of these controls following BRCA2 inactivation may be a key event leading to genomic instability and tumorigenesis.
NCBI and Uniprot Product Information
Customer Reviews
Loading reviews...
Share Your Experience
Similar Products
RAD51 Antibody
Rad51 Antibody
RAD51 Antibody
RAD51 Antibody
Product Notes
The RAD51 rad51 (Catalog #AAA46435) is an Antibody and is intended for research purposes only. The product is available for immediate purchase. The Anti-Rad51 Antibody reacts with Human, Rat and may cross-react with other species as described in the data sheet. AAA Biotech's Rad51 can be used in a range of immunoassay formats including, but not limited to, IHC (Immunohistochemistry), WB (Western Blot). Researchers should empirically determine the suitability of the RAD51 rad51 for an application not listed in the data sheet. Researchers commonly develop new applications and it is an integral, important part of the investigative research process. It is sometimes possible for the material contained within the vial of "Rad51, Polyclonal Antibody" to become dispersed throughout the inside of the vial, particularly around the seal of said vial, during shipment and storage. We always suggest centrifuging these vials to consolidate all of the liquid away from the lid and to the bottom of the vial prior to opening. Please be advised that certain products may require dry ice for shipping and that, if this is the case, an additional dry ice fee may also be required.Precautions
All products in the AAA Biotech catalog are strictly for research-use only, and are absolutely not suitable for use in any sort of medical, therapeutic, prophylactic, in-vivo, or diagnostic capacity. By purchasing a product from AAA Biotech, you are explicitly certifying that said products will be properly tested and used in line with industry standard. AAA Biotech and its authorized distribution partners reserve the right to refuse to fulfill any order if we have any indication that a purchaser may be intending to use a product outside of our accepted criteria.Disclaimer
Though we do strive to guarantee the information represented in this datasheet, AAA Biotech cannot be held responsible for any oversights or imprecisions. AAA Biotech reserves the right to adjust any aspect of this datasheet at any time and without notice. It is the responsibility of the customer to inform AAA Biotech of any product performance issues observed or experienced within 30 days of receipt of said product. To see additional details on this or any of our other policies, please see our Terms & Conditions page.Item has been added to Shopping Cart
If you are ready to order, navigate to Shopping Cart and get ready to checkout.
