Rabbit RANGAP1 Polyclonal Antibody | anti-RANGAP1 antibody
RANGAP1 Antibody
Phosphate buffered saline, pH 7.4, 150mM NaCl, 0.02% sodium azide and 50% glycerol.
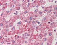
IHC (Immunohistochemisry)
(AAA327016 at 1/100 staining Mouse liver tissue by IHC-P. The sample was formaldehyde fixed and a heat mediated antigen retrieval step in citrate buffer was performed. The sample was then blocked and incubated with the antibody for 1.5 hours at 22 degree C. An HRP conjugated goat anti-rabbit antibody was used as the secondary.)
WB (Western Blot)
(Western blot analysis of extracts from 293, Hela and mouse brain, using RANGAP1 Antibody.)
WB (Western Blot)
(Western blot analysis of 293T whole cell lysates, using RANGAP1 Antibody. The lane on the left is treated with the antigen-specific peptide.)
Function: GTPase activator for RAN (PubMed:8146159, PubMed:8896452, PubMed:16428860). Converts cytoplasmic GTP-bound RAN to GDP-bound RAN, which is essential for RAN-mediated nuclear import and export (PubMed:8896452, PubMed:27160050). Mediates dissociation of cargo from nuclear export complexes containing XPO1, RAN and RANBP2 after nuclear export (PubMed:27160050).
Subunit Structure: Homodimer (PubMed:8146159). Interacts with RAN (PubMed:7891706, PubMed:8896452, PubMed:16428860). Forms a complex with RANBP2/NUP358, NXF1 and NXT1 (PubMed:14729961). Forms a tight complex in association with RANBP2/NUP358 and UBE2I/UBC9, the ubiquitin-conjugating enzyme E2 (PubMed:15037602, PubMed:27160050, PubMed:15931224, PubMed:22194619). Interacts with UBE2I; the interaction conjugates SUMO1 to RANGAP1, and subsequently stabilizes interactions of sumoylated RANGAP1 with RANBP2/NUP358 (PubMed:15037602, PubMed:27160050, PubMed:15931224). The complex composed of RANBP2, SUMO1, RANGAP1 and UBE2I associates with nuclear pore complexes (PubMed:15037602, PubMed:15931224). Identified in a complex composed of RAN, RANBP2, sumoylated RANGAP1, UBE2I and XPO1 (PubMed:27160050). Identified in a complex composed of RAN, RANGAP1 and RANBP1 (PubMed:16428860). Interacts with TRAF6 (PubMed:18093978). Interacts with SUMO1 and SENP1 (PubMed:17099698).
Post-translational Modifications: Phosphorylation occurs before nuclear envelope breakdown and continues throughout mitosis. Phosphorylated by the M-phase kinase cyclin B/Cdk1, in vitro. Differential timimg of dephosphorylation occurs during phases of mitosis. The phosphorylated form remains associated with RANBP2/NUP358 and the SUMO E2-conjugating enzyme, UBE2I, on nuclear pore complex (NPC) diassembly and during mitosis. Sumoylated (PubMed:11854305, PubMed:15037602, PubMed:27160050). Sumoylation is necessary for targeting to the nuclear envelope (NE), and for association with mitotic spindles and kinetochores during mitosis (PubMed:11854305). Also required for interaction with RANBP2 and is mediated by UBE2I (PubMed:27160050).
Similarity: Belongs to the RNA1 family.
NCBI and Uniprot Product Information
Predicted: 64 kDa
Customer Reviews
Loading reviews...
Share Your Experience
Similar Products
Product Notes
The RANGAP1 rangap1 (Catalog #AAA327016) is an Antibody produced from Rabbit and is intended for research purposes only. The product is available for immediate purchase. The RANGAP1 Antibody reacts with Human, Mouse, Rat and may cross-react with other species as described in the data sheet. AAA Biotech's RANGAP1 can be used in a range of immunoassay formats including, but not limited to, ELISA, IHC (Immunohistochemistry), WB (Western Blot). Researchers should empirically determine the suitability of the RANGAP1 rangap1 for an application not listed in the data sheet. Researchers commonly develop new applications and it is an integral, important part of the investigative research process. It is sometimes possible for the material contained within the vial of "RANGAP1, Polyclonal Antibody" to become dispersed throughout the inside of the vial, particularly around the seal of said vial, during shipment and storage. We always suggest centrifuging these vials to consolidate all of the liquid away from the lid and to the bottom of the vial prior to opening. Please be advised that certain products may require dry ice for shipping and that, if this is the case, an additional dry ice fee may also be required.Precautions
All products in the AAA Biotech catalog are strictly for research-use only, and are absolutely not suitable for use in any sort of medical, therapeutic, prophylactic, in-vivo, or diagnostic capacity. By purchasing a product from AAA Biotech, you are explicitly certifying that said products will be properly tested and used in line with industry standard. AAA Biotech and its authorized distribution partners reserve the right to refuse to fulfill any order if we have any indication that a purchaser may be intending to use a product outside of our accepted criteria.Disclaimer
Though we do strive to guarantee the information represented in this datasheet, AAA Biotech cannot be held responsible for any oversights or imprecisions. AAA Biotech reserves the right to adjust any aspect of this datasheet at any time and without notice. It is the responsibility of the customer to inform AAA Biotech of any product performance issues observed or experienced within 30 days of receipt of said product. To see additional details on this or any of our other policies, please see our Terms & Conditions page.Item has been added to Shopping Cart
If you are ready to order, navigate to Shopping Cart and get ready to checkout.
