Rabbit RAPGEF3 Polyclonal Antibody | anti-RAPGEF3 antibody
RAPGEF3 Antibody
Phosphate buffered saline, pH 7.4, 150mM NaCl, 0.02% sodium azide and 50% glycerol.
IF (Immunofluorescence)
(AAA326677 staining Hela by IF/ICC. The sample were fixed with PFA and permeabilized in 0.1% Triton X-100, then blocked in 10% serum for 45 minutes at 25 degree C. The primary antibody was diluted at 1/200 and incubated with the sample for 1 hour at 37 degree C. An Alexa Fluor 594 conjugated goat anti-rabbit IgG (H+L) Ab, diluted at 1/600, was used as the secondary antibody.)
WB (Western Blot)
(Western blot analysis of HepG2 cell lysate, using RAPGEF3 Antibody. The lane on the left is treated with the antigen-specific peptide.)
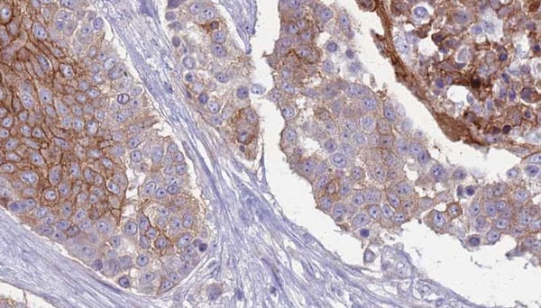
IHC (Immunohistochemistry)
(AAA326677 at 1/100 staining Human urothelial cancer tissue by IHC-P. The sample was formaldehyde fixed and a heat mediated antigen retrieval step in citrate buffer was performed. The sample was then blocked and incubated with the antibody for 1.5 hours at 22 degree C. An HRP conjugated goat anti-rabbit antibody was used as the secondary.)
Function: Guanine nucleotide exchange factor (GEF) for RAP1A and RAP2A small GTPases that is activated by binding cAMP. Through simultaneous binding of PDE3B to RAPGEF3 and PIK3R6 is assembled in a signaling complex in which it activates the PI3K gamma complex and which is involved in angiogenesis. Plays a role in the modulation of the cAMP-induced dynamic control of endothelial barrier function through a pathway that is independent on Rho-mediated signaling. Required for the actin rearrangement at cell-cell junctions, such as stress fibers and junctional actin.
Subunit Structure: Interacts with PDE3B.
Similarity: The DEP domain is involved in membrane localization independent from regulation by cAMP.
NCBI and Uniprot Product Information
Predicted: 104 kDa
Customer Reviews
Loading reviews...
Share Your Experience
Similar Products
Product Notes
The RAPGEF3 rapgef3 (Catalog #AAA326677) is an Antibody produced from Rabbit and is intended for research purposes only. The product is available for immediate purchase. The RAPGEF3 Antibody reacts with Human, Mouse, Rat and may cross-react with other species as described in the data sheet. AAA Biotech's RAPGEF3 can be used in a range of immunoassay formats including, but not limited to, ELISA, ICC (Immunocytochemistry), IF (Immunofluorescence), IHC (Immunohistochemistry), WB (Western Blot). Researchers should empirically determine the suitability of the RAPGEF3 rapgef3 for an application not listed in the data sheet. Researchers commonly develop new applications and it is an integral, important part of the investigative research process. It is sometimes possible for the material contained within the vial of "RAPGEF3, Polyclonal Antibody" to become dispersed throughout the inside of the vial, particularly around the seal of said vial, during shipment and storage. We always suggest centrifuging these vials to consolidate all of the liquid away from the lid and to the bottom of the vial prior to opening. Please be advised that certain products may require dry ice for shipping and that, if this is the case, an additional dry ice fee may also be required.Precautions
All products in the AAA Biotech catalog are strictly for research-use only, and are absolutely not suitable for use in any sort of medical, therapeutic, prophylactic, in-vivo, or diagnostic capacity. By purchasing a product from AAA Biotech, you are explicitly certifying that said products will be properly tested and used in line with industry standard. AAA Biotech and its authorized distribution partners reserve the right to refuse to fulfill any order if we have any indication that a purchaser may be intending to use a product outside of our accepted criteria.Disclaimer
Though we do strive to guarantee the information represented in this datasheet, AAA Biotech cannot be held responsible for any oversights or imprecisions. AAA Biotech reserves the right to adjust any aspect of this datasheet at any time and without notice. It is the responsibility of the customer to inform AAA Biotech of any product performance issues observed or experienced within 30 days of receipt of said product. To see additional details on this or any of our other policies, please see our Terms & Conditions page.Item has been added to Shopping Cart
If you are ready to order, navigate to Shopping Cart and get ready to checkout.
