Rabbit anti-Human RAPGEF4 Polyclonal Antibody | anti-RAPGEF4 antibody
RAPGEF4 Antibody
Gene Names
RAPGEF4; EPAC; CGEF2; EPAC2; EPAC 2; Nbla00496; CAMP-GEFII
Reactivity
Human
Applications
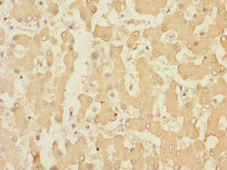
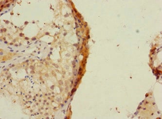
Immunohistochemistry, ELISA
Purity
Antigen Affinity Purified
Synonyms
RAPGEF4, Antibody; RAPGEF4 Antibody; Rap guanine nucleotide exchange factor 4; Exchange factor directly activated by cAMP 2; Exchange protein directly activated by cAMP 2; EPAC 2; cAMP-regulated guanine nucleotide exchange factor II; cAMP-GEFII; RAPGEF4; CGEF2; EPAC2; anti-RAPGEF4 antibody
Host
Rabbit
Reactivity
Human
Clonality
Polyclonal
Isotype
IgG
Purity/Purification
Antigen Affinity Purified
Form/Format
Liquid
Sequence Length
867
Applicable Applications for anti-RAPGEF4 antibody
IHC (Immunohistochemistry), ELISA
Species
Human
Immunogen
Recombinant human Rap guanine nucleotide exchange factor 4 protein (N-210AA)
Conjugate
Non-conjugated
Buffer
PBS with 0.02% sodium azide, 50% glycerol, pH7.3.
Santa Cruz Alternative
Potential replacement for Santa Cruz Biotechnology antibody catalog# sc-26364 / sc-9383 / sc-25633
Preparation and Storage
Shipped at 4 degree C. Upon delivery aliquot and store at -20 degree C or -80 degree C. Avoid repeated freeze.
Related Product Information for anti-RAPGEF4 antibody
Guanine nucleotide exchange factor (GEF) for RAP1A, RAP1B and RAP2A small GTPases that is activated by binding cAMP. Seems not to activate RAB3A. Involved in cAMP-dependent, PKA-independent exocytosis through interaction with RIMS2 (By similarity).
NCBI and Uniprot Product Information
NCBI GI #
NCBI GeneID
NCBI Accession #
NCBI GenBank Nucleotide #
Molecular Weight
96,269 Da
NCBI Official Full Name
rap guanine nucleotide exchange factor 4 isoform b
NCBI Official Synonym Full Names
Rap guanine nucleotide exchange factor 4
NCBI Official Symbol
RAPGEF4
NCBI Official Synonym Symbols
EPAC; CGEF2; EPAC2; EPAC 2; Nbla00496; CAMP-GEFII
NCBI Protein Information
rap guanine nucleotide exchange factor 4
UniProt Protein Name
Rap guanine nucleotide exchange factor 4
UniProt Gene Name
RAPGEF4
UniProt Synonym Gene Names
CGEF2; EPAC2; EPAC 2; cAMP-GEFII
UniProt Entry Name
RPGF4_HUMAN
Customer Reviews
Loading reviews...
Share Your Experience
Similar Products
Product Notes
The RAPGEF4 rapgef4 (Catalog #AAA231279) is an Antibody produced from Rabbit and is intended for research purposes only. The product is available for immediate purchase. The RAPGEF4 Antibody reacts with Human and may cross-react with other species as described in the data sheet. AAA Biotech's RAPGEF4 can be used in a range of immunoassay formats including, but not limited to, IHC (Immunohistochemistry), ELISA. Researchers should empirically determine the suitability of the RAPGEF4 rapgef4 for an application not listed in the data sheet. Researchers commonly develop new applications and it is an integral, important part of the investigative research process. It is sometimes possible for the material contained within the vial of "RAPGEF4, Polyclonal Antibody" to become dispersed throughout the inside of the vial, particularly around the seal of said vial, during shipment and storage. We always suggest centrifuging these vials to consolidate all of the liquid away from the lid and to the bottom of the vial prior to opening. Please be advised that certain products may require dry ice for shipping and that, if this is the case, an additional dry ice fee may also be required.Precautions
All products in the AAA Biotech catalog are strictly for research-use only, and are absolutely not suitable for use in any sort of medical, therapeutic, prophylactic, in-vivo, or diagnostic capacity. By purchasing a product from AAA Biotech, you are explicitly certifying that said products will be properly tested and used in line with industry standard. AAA Biotech and its authorized distribution partners reserve the right to refuse to fulfill any order if we have any indication that a purchaser may be intending to use a product outside of our accepted criteria.Disclaimer
Though we do strive to guarantee the information represented in this datasheet, AAA Biotech cannot be held responsible for any oversights or imprecisions. AAA Biotech reserves the right to adjust any aspect of this datasheet at any time and without notice. It is the responsibility of the customer to inform AAA Biotech of any product performance issues observed or experienced within 30 days of receipt of said product. To see additional details on this or any of our other policies, please see our Terms & Conditions page.Item has been added to Shopping Cart
If you are ready to order, navigate to Shopping Cart and get ready to checkout.
