Rabbit RBBP7 Polyclonal Antibody | anti-RBBP7 antibody
RBBP7 Antibody
Phosphate buffered saline, pH 7.4, 150mM NaCl, 0.02% sodium azide and 50% glycerol.
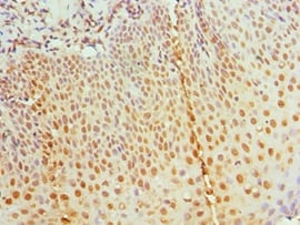
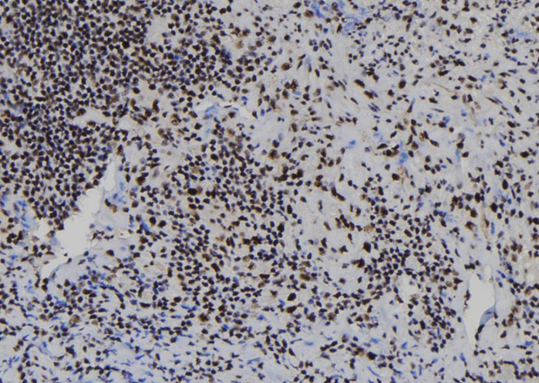
IHC (Immunohiostchemistry)
(AAA327380 at 1/100 staining Human spleen tissue by IHC-P. The sample was formaldehyde fixed and a heat mediated antigen retrieval step in citrate buffer was performed. The sample was then blocked and incubated with the antibody for 1.5 hours at 22 degree C. An HRP conjugated goat anti-rabbit antibody was used as the secondary.)
Subunit Structure: Binds directly to helix 1 of the histone fold of histone H4, a region that is not accessible when H4 is in chromatin. Subunit of the type B histone acetyltransferase (HAT) complex, composed of RBBP7 and HAT1. Subunit of the core histone deacetylase (HDAC) complex, which is composed of HDAC1, HDAC2, RBBP4 and RBBP7. The core HDAC complex associates with SIN3A, ARID4B/SAP180, SAP18, SAP30, SAP130, SUDS3/SAP45 and possibly ARID4A/RBP1 and ING1 to form the SIN3 HDAC complex. The core HDAC complex may also associate with MTA2, MBD3, CHD3 and CHD4 to form the nucleosome remodeling and histone deacetylase complex (the NuRD complex). The NuRD complex may also interact with MBD3L1 and MBD3L2. Interacts with MTA1. Subunit of the PRC2/EED-EZH2 complex, which is composed of at least EED, EZH2, RBBP4, RBBP7 and SUZ12 (PubMed:12435631). The PRC2/EED-EZH2 complex may also associate with HDAC1. Part of the nucleosome remodeling factor (NURF) complex which consists of SMARCA1; BPTF; RBBP4 and RBBP7. Interacts with the viral protein-binding domain of the retinoblastoma protein (RB1) (PubMed:7503932, PubMed:10220405). Interacts with CREBBP, and this interaction may be enhanced by the binding of phosphorylated CREB1 to CREBBP. Interacts with BRCA1, HDAC7 and SUV39H1. Interacts with CENPA (PubMed:25556658).
Similarity: Belongs to the WD repeat RBAP46/RBAP48/MSI1 family.
NCBI and Uniprot Product Information
Predicted: 48 kDa
Customer Reviews
Loading reviews...
Share Your Experience
Similar Products
Product Notes
The RBBP7 rbbp7 (Catalog #AAA327380) is an Antibody produced from Rabbit and is intended for research purposes only. The product is available for immediate purchase. The RBBP7 Antibody reacts with Human, Mouse, Rat and may cross-react with other species as described in the data sheet. AAA Biotech's RBBP7 can be used in a range of immunoassay formats including, but not limited to, ELISA, IHC (Immunohistochemistry), WB (Western Blot). Researchers should empirically determine the suitability of the RBBP7 rbbp7 for an application not listed in the data sheet. Researchers commonly develop new applications and it is an integral, important part of the investigative research process. It is sometimes possible for the material contained within the vial of "RBBP7, Polyclonal Antibody" to become dispersed throughout the inside of the vial, particularly around the seal of said vial, during shipment and storage. We always suggest centrifuging these vials to consolidate all of the liquid away from the lid and to the bottom of the vial prior to opening. Please be advised that certain products may require dry ice for shipping and that, if this is the case, an additional dry ice fee may also be required.Precautions
All products in the AAA Biotech catalog are strictly for research-use only, and are absolutely not suitable for use in any sort of medical, therapeutic, prophylactic, in-vivo, or diagnostic capacity. By purchasing a product from AAA Biotech, you are explicitly certifying that said products will be properly tested and used in line with industry standard. AAA Biotech and its authorized distribution partners reserve the right to refuse to fulfill any order if we have any indication that a purchaser may be intending to use a product outside of our accepted criteria.Disclaimer
Though we do strive to guarantee the information represented in this datasheet, AAA Biotech cannot be held responsible for any oversights or imprecisions. AAA Biotech reserves the right to adjust any aspect of this datasheet at any time and without notice. It is the responsibility of the customer to inform AAA Biotech of any product performance issues observed or experienced within 30 days of receipt of said product. To see additional details on this or any of our other policies, please see our Terms & Conditions page.Item has been added to Shopping Cart
If you are ready to order, navigate to Shopping Cart and get ready to checkout.
