Rabbit Retinoic Acid Receptor alpha Polyclonal Antibody | anti-RARA antibody
Phospho-Retinoic Acid Receptor alpha (Ser77) Antibody
Phosphate buffered saline, pH 7.4, 150mM NaCl, 0.02% sodium azide and 50% glycerol.
IF (Immunofluorescence)
(AAA320741 staining Hela by IF/ICC. The sample were fixed with PFA and permeabilized in 0.1% Triton X-100, then blocked in 10% serum for 45 minutes at 25 degree C. The primary antibody was diluted at 1/200 and incubated with the sample for 1 hour at 37 degree C. An Alexa Fluor 594 conjugated goat anti-rabbit IgG (H+L) Ab, diluted at 1/600, was used as the secondary antibody.)
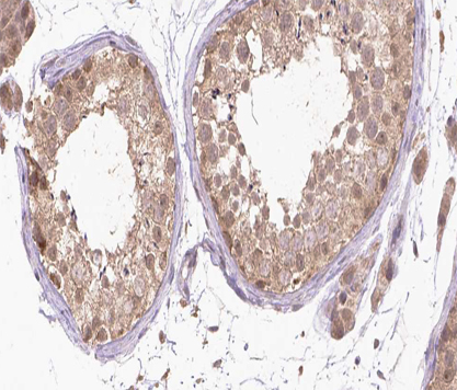
IHC (Immunohiostchemistry)
(AAA320741 at 1/200 staining human Testis tissue sections by IHC-P. The tissue was formaldehyde fixed and a heat mediated antigen retrieval step in citrate buffer was performed. The tissue was then blocked and incubated with the antibody for 1.5 hours at 22 degree C. An HRP conjugated goat anti-rabbit antibody was used as the secondary.)
WB (Western Blot)
(Western blot analysis on Jurkat cell lysate using Phospho-Retinoic Acid Receptor alpha (Ser77) Antibody, The lane on the left is treated with the antigen-specific peptide.)
Subunit Structure: Heterodimer; with RXRA. Binds DNA preferentially as a heterodimer. Interacts with CDK7 (By similarity). Interacts with coactivators NCOA3 and NCOA6. Interacts with NCOA7; the interaction requires ligand-binding. Interacts (via the ligand-binding domain) with PRAME; the interaction is ligand (retinoic acid)-dependent. Interacts with AKT1; the interaction phosphorylates RARA and represses transactivation. Interacts with PRKAR1A; the interaction negatively regulates RARA transcriptional activity. Interacts with NCOR1 and NCOR2. Interacts with PRMT2. Interacts with LRIF1. Interacts with ASXL1 and NCOA1. Interacts with ACTN4.
Post-translational Modifications: Phosphorylated on serine and threonine residues. Phosphorylation does not change during cell cycle. Phosphorylation on Ser-77 is crucial for transcriptional activity (By similarity). Phosphorylation by AKT1 is required for the repressor activity but has no effect on DNA binding, protein stability nor subcellular localization. Phosphorylated by PKA in vitro. This phosphorylation on Ser-219 and Ser-369 is critical for ligand binding, nuclear localization and transcriptional activity in response to FSH signaling. Sumoylated with SUMO2, mainly on Lys-399 which is also required for SENP6 binding. On all-trans retinoic acid (ATRA) binding, a confromational change may occur that allows sumoylation on two additional site, Lys-166 and Lys-171. Probably desumoylated by SENP6. Sumoylation levels determine nuclear localization and regulate ATRA-mediated transcriptional activity.Trimethylation enhances heterodimerization with RXRA and positively modulates the transcriptional activation. Ubiquitinated.
Similarity: Composed of three domains: a modulating N-terminal domain, a DNA-binding domain and a C-terminal ligand-binding domain. Belongs to the nuclear hormone receptor family. NR1 subfamily.
NCBI and Uniprot Product Information
Predicted: 51 kDa
Customer Reviews
Loading reviews...
Share Your Experience
Similar Products
Product Notes
The RARA rara (Catalog #AAA320741) is an Antibody produced from Rabbit and is intended for research purposes only. The product is available for immediate purchase. The Phospho-Retinoic Acid Receptor alpha (Ser77) Antibody reacts with Human, Mouse, Rat and may cross-react with other species as described in the data sheet. AAA Biotech's Retinoic Acid Receptor alpha can be used in a range of immunoassay formats including, but not limited to, ELISA, ICC (Immunocytochemistry), IF (Immunofluorescence), IHC (Immunohistochemistry), WB (Western Blot). Researchers should empirically determine the suitability of the RARA rara for an application not listed in the data sheet. Researchers commonly develop new applications and it is an integral, important part of the investigative research process. It is sometimes possible for the material contained within the vial of "Retinoic Acid Receptor alpha, Polyclonal Antibody" to become dispersed throughout the inside of the vial, particularly around the seal of said vial, during shipment and storage. We always suggest centrifuging these vials to consolidate all of the liquid away from the lid and to the bottom of the vial prior to opening. Please be advised that certain products may require dry ice for shipping and that, if this is the case, an additional dry ice fee may also be required.Precautions
All products in the AAA Biotech catalog are strictly for research-use only, and are absolutely not suitable for use in any sort of medical, therapeutic, prophylactic, in-vivo, or diagnostic capacity. By purchasing a product from AAA Biotech, you are explicitly certifying that said products will be properly tested and used in line with industry standard. AAA Biotech and its authorized distribution partners reserve the right to refuse to fulfill any order if we have any indication that a purchaser may be intending to use a product outside of our accepted criteria.Disclaimer
Though we do strive to guarantee the information represented in this datasheet, AAA Biotech cannot be held responsible for any oversights or imprecisions. AAA Biotech reserves the right to adjust any aspect of this datasheet at any time and without notice. It is the responsibility of the customer to inform AAA Biotech of any product performance issues observed or experienced within 30 days of receipt of said product. To see additional details on this or any of our other policies, please see our Terms & Conditions page.Item has been added to Shopping Cart
If you are ready to order, navigate to Shopping Cart and get ready to checkout.
