Rabbit anti-Human RNF139 Polyclonal Antibody | anti-RNF139 antibody
RNF139 Antibody
Gene Names
RNF139; RCA1; TRC8; HRCA1
Reactivity
Human
Applications
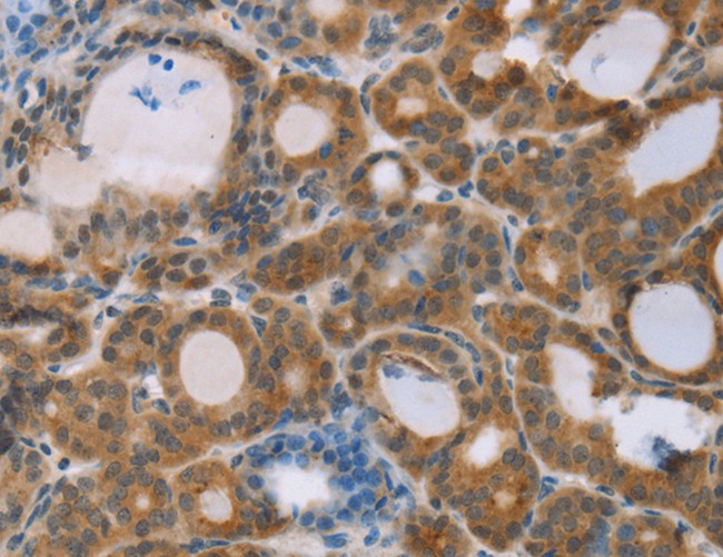
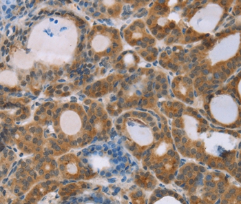
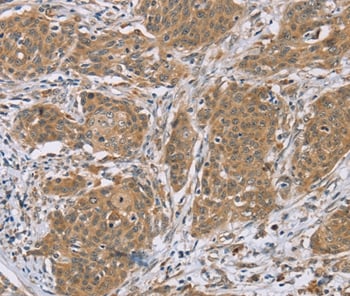
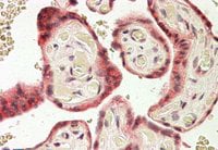
Immunohistochemistry
Purity
Antigen affinity purification.
Synonyms
RNF139, Antibody; RNF139 Antibody; RCA1; TRC8; HRCA1; anti-RNF139 antibody
Host
Rabbit
Reactivity
Human
Clonality
Polyclonal
Specificity
The antibody detects endogenous levels of total RNF139 protein.
Purity/Purification
Antigen affinity purification.
Form/Format
Rabbit IgG in pH7.3 PBS, 0.05% NaN3, 50% Glycerol.
Concentration
2.4 mg/ml (varies by lot)
Sequence Length
664
Applicable Applications for anti-RNF139 antibody
IHC (Immunohistochemistry)
Immunogen Type
Peptide
Immunogen Description
Synthetic peptide corresponding to a region derived from internal residues of human ring finger protein 139
Target Name
RNF139
Preparation and Storage
Store at -20 degree C
Related Product Information for anti-RNF139 antibody
The protein encoded by this gene is a multi-membrane spanning protein containing a RING-H2 finger. This protein is located in the endoplasmic reticulum, and has been shown to possess ubiquitin ligase activity. This gene was found to be interrupted by a t(3:8) translocation in a family with hereditary renal and non-medulary thyroid cancer. Studies of the Drosophila counterpart suggested that this protein may interact with tumor suppressor protein VHL, as well as with COPS5/JAB1, a protein responsible for the degradation of tumor suppressor CDKN1B/P27KIP.
Product Categories/Family for anti-RNF139 antibody
NCBI and Uniprot Product Information
NCBI GI #
NCBI GeneID
NCBI Accession #
NCBI GenBank Nucleotide #
Molecular Weight
75,994 Da
NCBI Official Full Name
E3 ubiquitin-protein ligase RNF139
NCBI Official Synonym Full Names
ring finger protein 139
NCBI Official Symbol
RNF139
NCBI Official Synonym Symbols
RCA1; TRC8; HRCA1
NCBI Protein Information
E3 ubiquitin-protein ligase RNF139
UniProt Protein Name
E3 ubiquitin-protein ligase RNF139
UniProt Gene Name
RNF139
UniProt Entry Name
RN139_HUMAN
Customer Reviews
Loading reviews...
Share Your Experience
Similar Products
Product Notes
The RNF139 rnf139 (Catalog #AAA304909) is an Antibody produced from Rabbit and is intended for research purposes only. The product is available for immediate purchase. The RNF139 Antibody reacts with Human and may cross-react with other species as described in the data sheet. AAA Biotech's RNF139 can be used in a range of immunoassay formats including, but not limited to, IHC (Immunohistochemistry). Researchers should empirically determine the suitability of the RNF139 rnf139 for an application not listed in the data sheet. Researchers commonly develop new applications and it is an integral, important part of the investigative research process. It is sometimes possible for the material contained within the vial of "RNF139, Polyclonal Antibody" to become dispersed throughout the inside of the vial, particularly around the seal of said vial, during shipment and storage. We always suggest centrifuging these vials to consolidate all of the liquid away from the lid and to the bottom of the vial prior to opening. Please be advised that certain products may require dry ice for shipping and that, if this is the case, an additional dry ice fee may also be required.Precautions
All products in the AAA Biotech catalog are strictly for research-use only, and are absolutely not suitable for use in any sort of medical, therapeutic, prophylactic, in-vivo, or diagnostic capacity. By purchasing a product from AAA Biotech, you are explicitly certifying that said products will be properly tested and used in line with industry standard. AAA Biotech and its authorized distribution partners reserve the right to refuse to fulfill any order if we have any indication that a purchaser may be intending to use a product outside of our accepted criteria.Disclaimer
Though we do strive to guarantee the information represented in this datasheet, AAA Biotech cannot be held responsible for any oversights or imprecisions. AAA Biotech reserves the right to adjust any aspect of this datasheet at any time and without notice. It is the responsibility of the customer to inform AAA Biotech of any product performance issues observed or experienced within 30 days of receipt of said product. To see additional details on this or any of our other policies, please see our Terms & Conditions page.Item has been added to Shopping Cart
If you are ready to order, navigate to Shopping Cart and get ready to checkout.
