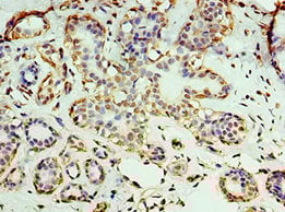
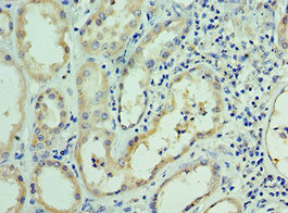
Rabbit anti-Human RNLS Polyclonal Antibody | anti-RNLS antibody
Rabbit anti-human RNLS polyclonal Antibody
Gene Names
RNLS; C10orf59; RENALASE
Reactivity
Human
Applications
Immunohistochemistry, ELISA
Purity
Antigen Affinity Purified
Synonyms
RNLS, Antibody; Rabbit anti-human RNLS polyclonal Antibody; Monoamine oxidase-C; MAO-C; alpha-NAD(P)H oxidase/anomerase; RNLS; C10orf59; anti-RNLS antibody
Host
Rabbit
Reactivity
Human
Clonality
Polyclonal
Isotype
IgG
Purity/Purification
Antigen Affinity Purified
Sequence Length
342
Applicable Applications for anti-RNLS antibody
IHC (Immunohistochemistry), ELISA
Storage Buffer
PBS with 0.02% sodium azide, 50% glycerol, pH7.3.
Conjugate
Non-conjugated
Immunogen
Recombinant human Renalase protein (18-342aa)
Santa Cruz Alternative
Potential replacement for Santa Cruz Biotechnology antibody catalog# sc-79593 / sc-366165
Preparation and Storage
Shipped at 4 degree C. Upon delivery aliquot and store at -20 degree C or -80 degree C. Avoid repeated freeze.
Related Product Information for anti-RNLS antibody
Catalyzes the oxidation of the less abundant alpha-NAD(P)H isoform to form beta-NAD(P)+. The enzyme hormone is secreted by the kidney, and circulates in blood and modulates cardiac function and systemic blood pressure. Lowers blood pressure in vivo by decreasing cardiac contractility and heart rate and preventing a compensatory increase in peripheral vascular tone, suggesting a causal link to the increased plasma catecholamine and heightened cardiovascular risk. High concentrations of catecholamines activate plasma renalase and promotes its secretion and synthesis.
NCBI and Uniprot Product Information
NCBI GI #
NCBI GeneID
NCBI Accession #
NCBI GenBank Nucleotide #
Molecular Weight
34,949 Da
NCBI Official Full Name
renalase isoform 1
NCBI Official Synonym Full Names
renalase, FAD-dependent amine oxidase
NCBI Official Symbol
RNLS
NCBI Official Synonym Symbols
C10orf59; RENALASE
NCBI Protein Information
renalase
UniProt Protein Name
Renalase
UniProt Gene Name
RNLS
UniProt Synonym Gene Names
C10orf59; MAO-C
UniProt Entry Name
RNLS_HUMAN
Customer Reviews
Loading reviews...
Share Your Experience
Similar Products
Product Notes
The RNLS rnls (Catalog #AAA119378) is an Antibody produced from Rabbit and is intended for research purposes only. The product is available for immediate purchase. The Rabbit anti-human RNLS polyclonal Antibody reacts with Human and may cross-react with other species as described in the data sheet. AAA Biotech's RNLS can be used in a range of immunoassay formats including, but not limited to, IHC (Immunohistochemistry), ELISA. Researchers should empirically determine the suitability of the RNLS rnls for an application not listed in the data sheet. Researchers commonly develop new applications and it is an integral, important part of the investigative research process. It is sometimes possible for the material contained within the vial of "RNLS, Polyclonal Antibody" to become dispersed throughout the inside of the vial, particularly around the seal of said vial, during shipment and storage. We always suggest centrifuging these vials to consolidate all of the liquid away from the lid and to the bottom of the vial prior to opening. Please be advised that certain products may require dry ice for shipping and that, if this is the case, an additional dry ice fee may also be required.Precautions
All products in the AAA Biotech catalog are strictly for research-use only, and are absolutely not suitable for use in any sort of medical, therapeutic, prophylactic, in-vivo, or diagnostic capacity. By purchasing a product from AAA Biotech, you are explicitly certifying that said products will be properly tested and used in line with industry standard. AAA Biotech and its authorized distribution partners reserve the right to refuse to fulfill any order if we have any indication that a purchaser may be intending to use a product outside of our accepted criteria.Disclaimer
Though we do strive to guarantee the information represented in this datasheet, AAA Biotech cannot be held responsible for any oversights or imprecisions. AAA Biotech reserves the right to adjust any aspect of this datasheet at any time and without notice. It is the responsibility of the customer to inform AAA Biotech of any product performance issues observed or experienced within 30 days of receipt of said product. To see additional details on this or any of our other policies, please see our Terms & Conditions page.Item has been added to Shopping Cart
If you are ready to order, navigate to Shopping Cart and get ready to checkout.
