Rabbit anti-Human RORA Polyclonal Antibody | anti-RORA antibody
RORA antibody - N-terminal region
Gene Names
RORA; ROR1; ROR2; ROR3; RZRA; NR1F1; IDDECA; RZR-ALPHA
Reactivity
Human
Applications
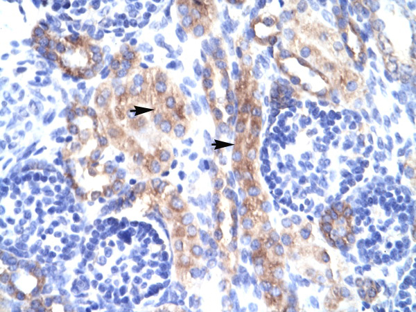
Western Blot, Immunohistochemistry
Purity
Protein A purified
Synonyms
RORA, Antibody; RORA antibody - N-terminal region; anti-RORA antibody
Host
Rabbit
Reactivity
Human
Clonality
Polyclonal
Purity/Purification
Protein A purified
Form/Format
Liquid. Purified antibody supplied in 1x PBS buffer with 0.09% (w/v) sodium azide and 2% sucrose.
Sequence
Synthetic peptide located within the following region: FGILQILHQCILSSGDAFVLTGVCCSWRQNGKPPYSQKEDKEVQTGYMNA
Sequence Length
556
Applicable Applications for anti-RORA antibody
WB (Western Blot), IHC (Immunohistochemistry)
Homology
Human: 100%
Immunogen
The immunogen is a synthetic peptide directed towards the N terminal region of human RORA
Preparation and Storage
For short term use, store at 2-8 degree C up to 1 week. For long term storage, store at -20 degree C in small aliquots to prevent freeze-thaw cycles.
Related Product Information for anti-RORA antibody
This is a rabbit polyclonal antibody against RORA. It was validated on Western Blot and immunohistochemistry
Target Description: The protein encoded by RORA is a member of the NR1 subfamily of nuclear hormone receptors. It can bind as a monomer or as a homodimer to hormone response elements upstream of several genes to enhance the expression of those genes. The specific functions of this protein are not known, but it has been shown to interact with NM23-2, a nucleoside diphosphate kinase involved in organogenesis and differentiation, as well as with NM23-1, the product of a tumor metastasis suppressor candidate gene.
Target Description: The protein encoded by RORA is a member of the NR1 subfamily of nuclear hormone receptors. It can bind as a monomer or as a homodimer to hormone response elements upstream of several genes to enhance the expression of those genes. The specific functions of this protein are not known, but it has been shown to interact with NM23-2, a nucleoside diphosphate kinase involved in organogenesis and differentiation, as well as with NM23-1, the product of a tumor metastasis suppressor candidate gene.
Product Categories/Family for anti-RORA antibody
NCBI and Uniprot Product Information
NCBI GI #
NCBI GeneID
NCBI Accession #
NCBI GenBank Nucleotide #
UniProt Accession #
Molecular Weight
63kDa
NCBI Official Full Name
nuclear receptor ROR-alpha isoform c
NCBI Official Synonym Full Names
RAR related orphan receptor A
NCBI Official Symbol
RORA
NCBI Official Synonym Symbols
ROR1; ROR2; ROR3; RZRA; NR1F1; IDDECA; RZR-ALPHA
NCBI Protein Information
nuclear receptor ROR-alpha
UniProt Protein Name
Nuclear receptor ROR-alpha
UniProt Gene Name
RORA
UniProt Synonym Gene Names
NR1F1; RZRA
UniProt Entry Name
RORA_HUMAN
Customer Reviews
Loading reviews...
Share Your Experience
Similar Products
Product Notes
The RORA rora (Catalog #AAA201754) is an Antibody produced from Rabbit and is intended for research purposes only. The product is available for immediate purchase. The RORA antibody - N-terminal region reacts with Human and may cross-react with other species as described in the data sheet. AAA Biotech's RORA can be used in a range of immunoassay formats including, but not limited to, WB (Western Blot), IHC (Immunohistochemistry). Researchers should empirically determine the suitability of the RORA rora for an application not listed in the data sheet. Researchers commonly develop new applications and it is an integral, important part of the investigative research process. The amino acid sequence is listed below: Synthetic peptide located within the following region: FGILQILHQC ILSSGDAFVL TGVCCSWRQN GKPPYSQKED KEVQTGYMNA. It is sometimes possible for the material contained within the vial of "RORA, Polyclonal Antibody" to become dispersed throughout the inside of the vial, particularly around the seal of said vial, during shipment and storage. We always suggest centrifuging these vials to consolidate all of the liquid away from the lid and to the bottom of the vial prior to opening. Please be advised that certain products may require dry ice for shipping and that, if this is the case, an additional dry ice fee may also be required.Precautions
All products in the AAA Biotech catalog are strictly for research-use only, and are absolutely not suitable for use in any sort of medical, therapeutic, prophylactic, in-vivo, or diagnostic capacity. By purchasing a product from AAA Biotech, you are explicitly certifying that said products will be properly tested and used in line with industry standard. AAA Biotech and its authorized distribution partners reserve the right to refuse to fulfill any order if we have any indication that a purchaser may be intending to use a product outside of our accepted criteria.Disclaimer
Though we do strive to guarantee the information represented in this datasheet, AAA Biotech cannot be held responsible for any oversights or imprecisions. AAA Biotech reserves the right to adjust any aspect of this datasheet at any time and without notice. It is the responsibility of the customer to inform AAA Biotech of any product performance issues observed or experienced within 30 days of receipt of said product. To see additional details on this or any of our other policies, please see our Terms & Conditions page.Item has been added to Shopping Cart
If you are ready to order, navigate to Shopping Cart and get ready to checkout.
