Rabbit Rpb1 CTD Polyclonal Antibody | anti-Rpb1 antibody
Phospho-Rpb1 CTD (Ser2/5) Antibody
Predicted: Pig, Zebrafish, Bovine, Horse, Sheep, Dog, Xenopus
Predicted: Pig, Zebrafish, Bovine, Horse, Sheep, Dog, Xenopus
WB (Western Blot)
(Western blot analysis of Phospho-Rpb1 CTD (Ser2/5) in lysates of COS7 EGF 200ng/ml 30', using Phospho-Rpb1 CTD (Ser2/5) Antibody.)
IHC (Immunohistochemisry)
(At 1/100 staining human gastric cancer tissue sections by IHC-P. The tissue was formaldehyde fixed and a heat mediated antigen retrieval step in citrate buffer was performed. The tissue was then blocked and incubated with the antibody for 1.5 hours at 22 degree C. An HRP conjugated goat anti-rabbit antibody was used as the secondary)
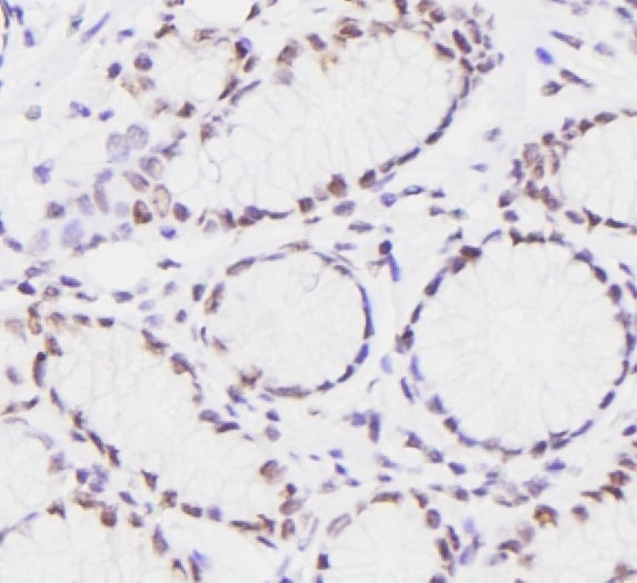
IHC (Immunohiostchemistry)
(At 1/100 staining rat heart tissue sections by IHC-P. The tissue was formaldehyde fixed and a heat mediated antigen retrieval step in citrate buffer was performed. The tissue was then blocked and incubated with the antibody for 1.5 hours at 22 degree C. An HRP conjugated goat anti-rabbit antibody was used as the secondary)
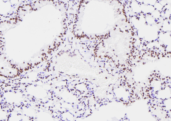
IHC (Immunohistochemistry)
(At 1/100 staining mouse lung tissue sections by IHC-P. The tissue was formaldehyde fixed and a heat mediated antigen retrieval step in citrate buffer was performed. The tissue was then blocked and incubated with the antibody for 1.5 hours at 22 degree C. An HRP conjugated goat anti-rabbit antibody was used as the secondary)
Post Translational Modifications: The tandem heptapeptide repeats in the C-terminal domain (CTD) can be highly phosphorylated. The phosphorylation activates Pol II. Phosphorylation occurs mainly at residues 'Ser-2' and 'Ser-5' of the heptapeptide repeat and is mediated, at least, by CDK7 and CDK9. CDK7 phosphorylation of POLR2A associated with DNA promotes transcription initiation by triggering dissociation from DNA. Phosphorylation also takes place at 'Ser-7' of the heptapeptide repeat, which is required for efficient transcription of snRNA genes and processing of the transcripts. The phosphorylation state is believed to result from the balanced action of site-specific CTD kinases and phosphatases, and a 'CTD code' that specifies the position of Pol II within the transcription cycle has been proposed. Dephosphorylated by the protein phosphatase CTDSP1. Among tandem heptapeptide repeats of the C-terminal domain (CTD) some do not match the Y-S-P-T-S-P-S consensus, the seventh serine residue 'Ser-7' being replaced by a lysine. 'Lys-7' in these non-consensus heptapeptide repeats can be alternatively acetylated, methylated and dimethylated. EP300 is one of the enzyme able to acetylate 'Lys-7'. Acetylation at 'Lys-7' of non-consensus heptapeptide repeats is associated with 'Ser-2' phosphorylation and active transcription. Regulates initiation or early elongation steps of transcription specially for inducible genes. Methylated at Arg-1810 prior to transcription initiation when the CTD is hypophosphorylated, phosphorylation at Ser-1805 and Ser-1808 preventing this methylation. Symmetrically or asymmetrically dimethylated at Arg-1810 by PRMT5 and CARM1 respectively. Symmetric or asymmetric dimethylation modulates interactions with CTD-binding proteins like SMN1/SMN2 and TDRD3. SMN1/SMN2 interacts preferentially with the symmetrically dimethylated form while TDRD3 interacts with the asymmetric form. Through the recruitment of SMN1/SMN2, symmetric dimethylation is required for resolving RNA-DNA hybrids created by RNA polymerase II, that form R-loop in transcription terminal regions, an important step in proper transcription termination. CTD dimethylation may also facilitate the expression of select RNAs. Among tandem heptapeptide repeats of the C-terminal domain (CTD) some do not match the Y-S-P-T-S-P-S consensus, the seventh serine residue 'Ser-7' being replaced by a lysine. 'Lys-7' in these non-consensus heptapeptide repeats can be alternatively acetylated, methylated, dimethylated and trimethylated. Methylation occurs in the earliest transcription stages and precedes or is concomitant to 'Ser-5' and 'Ser-7' phosphorylation. Dimethylation and trimehtylation at 'Lys-7' of non-consensus heptapeptide repeats are exclusively associated with phosphorylated CTD. Ubiquitinated by WWP2 leading to proteasomal degradation (By similarity). Following UV treatment, the elongating form of RNA polymerase II (RNA pol IIo) is ubiquitinated on UV damage sites without leading to degradation: ubiquitination is facilitated by KIAA1530/UVSSA and promotes RNA pol IIo backtracking to allow access to the nucleotide excision repair machinery.
Subunit Structure: Component of the RNA polymerase II (Pol II) complex consisting of 12 subunits. Component of a complex which is at least composed of HTATSF1/Tat-SF1, the P-TEFb complex components CDK9 and CCNT1, RNA polymerase II, SUPT5H, and NCL/nucleolin. The large PER complex involved in the repression of transcriptional termination is composed of at least PER2, CDK9, DDX5, DHX9, NCBP1 and POLR2A (active). Interacts (via the C-terminal domain (CTD)) with U2AF2; recruits PRPF19 and the Prp19 complex to the pre-mRNA and may couple transcription to pre-mRNA splicing. Interacts (via the C-terminal domain (CTD)) with SMN1/SMN2; recruits SMN1/SMN2 to RNA Pol II elongation complexes. Interacts via the phosphorylated C-terminal domain with WDR82 and with SETD1A and SETD1B only in the presence of WDR82. When phosphorylated at 'Ser-5', interacts with MEN1; the unphosphorylated form, or phosphorylated at 'Ser-2' does not interact. When phosphorylated at 'Ser-2', interacts with SUPT6H (via SH2 domain). Interacts with RECQL5 and TCEA1; binding of RECQL5 prevents TCEA1 binding. The phosphorylated C-terminal domain interacts with FNBP3 and SYNCRIP. Interacts with ATF7IP. Interacts with DDX5. Interacts with WWP2. Interacts with SETX. Interacts (phosphorylated) with PIH1D1. Interacts (via the C-terminal domain (CTD)) with TDRD3. Interacts with PRMT5. Interacts with XRN2. Interacts with SAFB/SAFB1. Interacts with CCNL1. Interacts with CCNL2, MYO1C, PAF1 and SFRS19. Interacts (via C-terminus) with CMTR1, CTDSP1 and SCAF8. Interacts (via the C-terminal domain (CTD)) with CCNT2 (PubMed:15563843).
Similarity: The C-terminal domain (CTD) serves as a platform for assembly of factors that regulate transcription initiation, elongation, termination and mRNA processing. Belongs to the RNA polymerase beta' chain family.
NCBI and Uniprot Product Information
Predicted: 218 kDa
Customer Reviews
Loading reviews...
Share Your Experience
Similar Products
Product Notes
The Rpb1 polr2a (Catalog #AAA328425) is an Antibody produced from Rabbit and is intended for research purposes only. The product is available for immediate purchase. The Phospho-Rpb1 CTD (Ser2/5) Antibody reacts with Human, Mouse, Rat Predicted: Pig, Zebrafish, Bovine, Horse, Sheep, Dog, Xenopus and may cross-react with other species as described in the data sheet. AAA Biotech's Rpb1 CTD can be used in a range of immunoassay formats including, but not limited to, ELISA (Peptide ELISA), IHC (Immunohistochemistry), WB (Western Blot). Researchers should empirically determine the suitability of the Rpb1 polr2a for an application not listed in the data sheet. Researchers commonly develop new applications and it is an integral, important part of the investigative research process. It is sometimes possible for the material contained within the vial of "Rpb1 CTD, Polyclonal Antibody" to become dispersed throughout the inside of the vial, particularly around the seal of said vial, during shipment and storage. We always suggest centrifuging these vials to consolidate all of the liquid away from the lid and to the bottom of the vial prior to opening. Please be advised that certain products may require dry ice for shipping and that, if this is the case, an additional dry ice fee may also be required.Precautions
All products in the AAA Biotech catalog are strictly for research-use only, and are absolutely not suitable for use in any sort of medical, therapeutic, prophylactic, in-vivo, or diagnostic capacity. By purchasing a product from AAA Biotech, you are explicitly certifying that said products will be properly tested and used in line with industry standard. AAA Biotech and its authorized distribution partners reserve the right to refuse to fulfill any order if we have any indication that a purchaser may be intending to use a product outside of our accepted criteria.Disclaimer
Though we do strive to guarantee the information represented in this datasheet, AAA Biotech cannot be held responsible for any oversights or imprecisions. AAA Biotech reserves the right to adjust any aspect of this datasheet at any time and without notice. It is the responsibility of the customer to inform AAA Biotech of any product performance issues observed or experienced within 30 days of receipt of said product. To see additional details on this or any of our other policies, please see our Terms & Conditions page.Item has been added to Shopping Cart
If you are ready to order, navigate to Shopping Cart and get ready to checkout.
