Rabbit RRM1 Polyclonal Antibody | anti-RRM1 antibody
RRM1 Antibody
Gene Names
RRM1; R1; RR1; RIR1
Reactivity
Human, Mouse, Rat
Applications
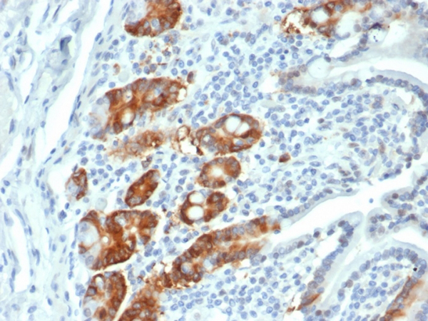
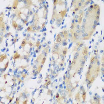
Immunofluorescence, Immunohistochemistry, Western Blot
Purity
Antibodies were purified by affinity purification using immunogen.
Synonyms
RRM1, Antibody; RRM1 Antibody; RRM1; R1; RIR1; RR1; anti-RRM1 antibody
Host
Rabbit
Reactivity
Human, Mouse, Rat
Clonality
Polyclonal
Specificity
The antibody detects endogenous level of total RRM1 protein.
Purity/Purification
Antibodies were purified by affinity purification using immunogen.
Form/Format
Supplied at 1.0mg/mL in phosphate buffered saline (without Mg2+ and Ca2+), pH 7.4, 150mM NaCl, 0.02% sodium azide and 50% glycerol.
Concentration
1.0 mg/ml (varies by lot)
Sequence Length
792
Applicable Applications for anti-RRM1 antibody
IF (Immunofluorescence), IHC (Immunohistochemistry), WB (Western Blot)
Immunogen Type
Recombinant Protein
Immunogen Description
Recombinant protein of human RRM1.
Target Name
RRM1
Preparation and Storage
Store at -20 degree C
Related Product Information for anti-RRM1 antibody
Ribonucleotide reductase catalyzes the rate-limiting step in the synthesis of deoxynucleotide triphosphates (dNTPs). The regulatory M1 subunit (RRM1) is present throughout the cell division cycle, but downregulated in quiescent cells (1). Research studies have demonstrated that RRM1 is involved in carcinogenesis and tumor progression, and its expression is correlated with resistance to chemotherapy in non-small cell lung cancer (2-4).
Product Categories/Family for anti-RRM1 antibody
NCBI and Uniprot Product Information
NCBI GI #
NCBI GeneID
NCBI Accession #
NCBI GenBank Nucleotide #
Molecular Weight
90,070 Da
NCBI Official Full Name
ribonucleoside-diphosphate reductase large subunit
NCBI Official Synonym Full Names
ribonucleotide reductase M1
NCBI Official Symbol
RRM1
NCBI Official Synonym Symbols
R1; RR1; RIR1
NCBI Protein Information
ribonucleoside-diphosphate reductase large subunit
UniProt Protein Name
Ribonucleoside-diphosphate reductase large subunit
UniProt Gene Name
RRM1
UniProt Synonym Gene Names
RR1
UniProt Entry Name
RIR1_HUMAN
Customer Reviews
Loading reviews...
Share Your Experience
Similar Products
Product Notes
The RRM1 rrm1 (Catalog #AAA302376) is an Antibody produced from Rabbit and is intended for research purposes only. The product is available for immediate purchase. The RRM1 Antibody reacts with Human, Mouse, Rat and may cross-react with other species as described in the data sheet. AAA Biotech's RRM1 can be used in a range of immunoassay formats including, but not limited to, IF (Immunofluorescence), IHC (Immunohistochemistry), WB (Western Blot). Researchers should empirically determine the suitability of the RRM1 rrm1 for an application not listed in the data sheet. Researchers commonly develop new applications and it is an integral, important part of the investigative research process. It is sometimes possible for the material contained within the vial of "RRM1, Polyclonal Antibody" to become dispersed throughout the inside of the vial, particularly around the seal of said vial, during shipment and storage. We always suggest centrifuging these vials to consolidate all of the liquid away from the lid and to the bottom of the vial prior to opening. Please be advised that certain products may require dry ice for shipping and that, if this is the case, an additional dry ice fee may also be required.Precautions
All products in the AAA Biotech catalog are strictly for research-use only, and are absolutely not suitable for use in any sort of medical, therapeutic, prophylactic, in-vivo, or diagnostic capacity. By purchasing a product from AAA Biotech, you are explicitly certifying that said products will be properly tested and used in line with industry standard. AAA Biotech and its authorized distribution partners reserve the right to refuse to fulfill any order if we have any indication that a purchaser may be intending to use a product outside of our accepted criteria.Disclaimer
Though we do strive to guarantee the information represented in this datasheet, AAA Biotech cannot be held responsible for any oversights or imprecisions. AAA Biotech reserves the right to adjust any aspect of this datasheet at any time and without notice. It is the responsibility of the customer to inform AAA Biotech of any product performance issues observed or experienced within 30 days of receipt of said product. To see additional details on this or any of our other policies, please see our Terms & Conditions page.Item has been added to Shopping Cart
If you are ready to order, navigate to Shopping Cart and get ready to checkout.
