Rabbit anti-Human RSPO3 Polyclonal Antibody | anti-RSPO3 antibody
RSPO3 Antibody
Gene Names
RSPO3; PWTSR; THSD2; CRISTIN1
Reactivity
Human
Applications
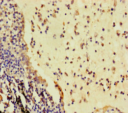
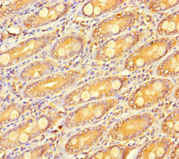
Immunohistochemistry, ELISA
Purity
>95%,Protein G purified
Synonyms
RSPO3, Antibody; RSPO3 Antibody; R-spondin-3; Protein with TSP type-1 repeat; hPWTSR; Roof plate-specific spondin-3; hRspo3; Thrombospondin type-1 domain-containing protein 2; RSPO3; PWTSR; THSD2; anti-RSPO3 antibody
Host
Rabbit
Reactivity
Human
Clonality
Polyclonal
Isotype
IgG
Purity/Purification
>95%,Protein G purified
Form/Format
Liquid
Sequence Length
272
Applicable Applications for anti-RSPO3 antibody
IHC (Immunohistochemistry), ELISA
Immunogen
Recombinant human R-spondin-3 protein
Conjugation
Non-conjugated
Storage Buffer
Preservative: 0.03% Proclin 300 Constituents: 50% Glycerol, 0.01M PBS, PH 7.4
Santa Cruz Alternative
Potential replacement for Santa Cruz Biotechnology antibody catalog# sc-107984 / sc-107985
Preparation and Storage
Shipped at 4 degree C. Upon delivery, aliquot and store at -20 degree C or -80 degree C.
Related Product Information for anti-RSPO3 antibody
Activator of the canonical Wnt signaling pathway by acting as a ligand for LGR4-6 receptors. Upon binding to LGR4-6 (LGR4, LGR5 or LGR6), LGR4-6 associate with phosphorylated LRP6 and frizzled receptors that are activated by extracellular Wnt receptors, triggering the canonical Wnt signaling pathway to increase expression of target genes. Also regulates the canonical Wnt/beta-catenin-dependent pathway and non-canonical Wnt signaling by acting as an inhibitor of ZNRF3, an important regulator of the Wnt signaling pathway. Acts as a ligand for frizzled FZD8 and LRP6. May negatively regulate the TGF-beta pathway.
NCBI and Uniprot Product Information
NCBI GI #
NCBI GeneID
NCBI Accession #
NCBI GenBank Nucleotide #
Molecular Weight
33,233 Da
NCBI Official Full Name
R-spondin-3
NCBI Official Synonym Full Names
R-spondin 3
NCBI Official Symbol
RSPO3
NCBI Official Synonym Symbols
PWTSR; THSD2; CRISTIN1
NCBI Protein Information
R-spondin-3
UniProt Protein Name
R-spondin-3
UniProt Gene Name
RSPO3
UniProt Synonym Gene Names
PWTSR; THSD2; hPWTSR; hRspo3
UniProt Entry Name
RSPO3_HUMAN
Customer Reviews
Loading reviews...
Share Your Experience
Similar Products
Product Notes
The RSPO3 rspo3 (Catalog #AAA230146) is an Antibody produced from Rabbit and is intended for research purposes only. The product is available for immediate purchase. The RSPO3 Antibody reacts with Human and may cross-react with other species as described in the data sheet. AAA Biotech's RSPO3 can be used in a range of immunoassay formats including, but not limited to, IHC (Immunohistochemistry), ELISA. Researchers should empirically determine the suitability of the RSPO3 rspo3 for an application not listed in the data sheet. Researchers commonly develop new applications and it is an integral, important part of the investigative research process. It is sometimes possible for the material contained within the vial of "RSPO3, Polyclonal Antibody" to become dispersed throughout the inside of the vial, particularly around the seal of said vial, during shipment and storage. We always suggest centrifuging these vials to consolidate all of the liquid away from the lid and to the bottom of the vial prior to opening. Please be advised that certain products may require dry ice for shipping and that, if this is the case, an additional dry ice fee may also be required.Precautions
All products in the AAA Biotech catalog are strictly for research-use only, and are absolutely not suitable for use in any sort of medical, therapeutic, prophylactic, in-vivo, or diagnostic capacity. By purchasing a product from AAA Biotech, you are explicitly certifying that said products will be properly tested and used in line with industry standard. AAA Biotech and its authorized distribution partners reserve the right to refuse to fulfill any order if we have any indication that a purchaser may be intending to use a product outside of our accepted criteria.Disclaimer
Though we do strive to guarantee the information represented in this datasheet, AAA Biotech cannot be held responsible for any oversights or imprecisions. AAA Biotech reserves the right to adjust any aspect of this datasheet at any time and without notice. It is the responsibility of the customer to inform AAA Biotech of any product performance issues observed or experienced within 30 days of receipt of said product. To see additional details on this or any of our other policies, please see our Terms & Conditions page.Item has been added to Shopping Cart
If you are ready to order, navigate to Shopping Cart and get ready to checkout.
