Rabbit Runt-related transcription factor 1 Polyclonal Antibody | anti-RUNX1 antibody
Anti-RUNX1/AML1 Antibody
Each vial contains 5mg BSA, 0.9mg NaCl, 0.2mg Na2HPO4, 0.05mg Thimerosal, 0.05mg NaN3.
IHC (Immunohistochemistry)
(Anti-RUNX1/AML1 Picoband antibody, AAA46058-4.JPGIHC(P): Mouse Intestine Tissue)
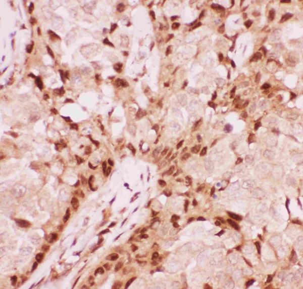
IHC (Immunohistochemisry)
(Anti-RUNX1/AML1 Picoband antibody, AAA46058-3.JPGIHC(P): Human Mammary Cancer Tissue)
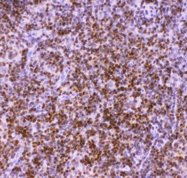
IHC (Immunohiostchemistry)
(Anti-RUNX1/AML1 Picoband antibody, AAA46058-2.JPGIHC(P): Rat Thymus Tissue)
Application Data
(Anti-RUNX1/AML1 Picoband antibody, AAA46058-1.jpgAll lanes: Anti RUNX1 (AAA46058) at 0.5ug/mlWB: Recombinant Human RUNX1 Protein 0.5ngPredicted bind size: 50KDObserved bind size: 50KD)
Background: Runt-related transcription factor 1 (RUNX1), also known as AML1 or CBFA2, is a protein that in humans is encoded by the RUNX1 gene. It belongs to the Runt-related transcription factor (RUNX) family of genes which are also called core binding factor-alpha (CBFalpha). RUNX1 is mapped to 21q22.12. RUNX1 is a transcription factor that regulates the differentiation of hematopoietic stem cells into mature blood cells. RUNX proteins form a heterodimeric complex with CBFbeta which confers increased DNA binding and stability to the complex. Chromosomal translocations involving the RUNX1 gene are associated with several types of leukemia including M2 AML. Mutations in RUNX1 are implicated in cases of breast cancer.
NCBI and Uniprot Product Information
Customer Reviews
Loading reviews...
Share Your Experience
Similar Products
Product Notes
The RUNX1 runx1 (Catalog #AAA46058) is an Antibody produced from Rabbit and is intended for research purposes only. The product is available for immediate purchase. The Anti-RUNX1/AML1 Antibody reacts with Human, Mouse, Rat. No cross reactivity with other proteins. and may cross-react with other species as described in the data sheet. AAA Biotech's Runt-related transcription factor 1 can be used in a range of immunoassay formats including, but not limited to, IHC (Immunohistochemistry), WB (Western Blot). Researchers should empirically determine the suitability of the RUNX1 runx1 for an application not listed in the data sheet. Researchers commonly develop new applications and it is an integral, important part of the investigative research process. It is sometimes possible for the material contained within the vial of "Runt-related transcription factor 1, Polyclonal Antibody" to become dispersed throughout the inside of the vial, particularly around the seal of said vial, during shipment and storage. We always suggest centrifuging these vials to consolidate all of the liquid away from the lid and to the bottom of the vial prior to opening. Please be advised that certain products may require dry ice for shipping and that, if this is the case, an additional dry ice fee may also be required.Precautions
All products in the AAA Biotech catalog are strictly for research-use only, and are absolutely not suitable for use in any sort of medical, therapeutic, prophylactic, in-vivo, or diagnostic capacity. By purchasing a product from AAA Biotech, you are explicitly certifying that said products will be properly tested and used in line with industry standard. AAA Biotech and its authorized distribution partners reserve the right to refuse to fulfill any order if we have any indication that a purchaser may be intending to use a product outside of our accepted criteria.Disclaimer
Though we do strive to guarantee the information represented in this datasheet, AAA Biotech cannot be held responsible for any oversights or imprecisions. AAA Biotech reserves the right to adjust any aspect of this datasheet at any time and without notice. It is the responsibility of the customer to inform AAA Biotech of any product performance issues observed or experienced within 30 days of receipt of said product. To see additional details on this or any of our other policies, please see our Terms & Conditions page.Item has been added to Shopping Cart
If you are ready to order, navigate to Shopping Cart and get ready to checkout.
