Rabbit SERCA2 ATPase Polyclonal Antibody | anti-ATP2A2 antibody
Anti-SERCA2 ATPase antibody
WB (Western Blot)
(Anti-SERCA2 ATPase antibody, AAA44932, Western blottingLane 1: Rat Skeletal Muscle Tissue LysateLane 2: Rat Kidney Tissue LysateLane 3: PANC Cell LysateLane 4: SMMC Cell Lysate)
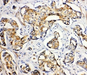
IHC (Immunohistochemistry)
(Anti-SERCA2 ATPase antibody, AAA44932, IHC(P)IHC(P): Human Mammary Cancer Tissue)
Background: SERCA2(SARCOPLASMIC RETICULUM Ca(2+)-ATPase 2), also called ATP2A2, ATP2B, encodes one of the SERCA Ca(2+)-ATPases, which are intracellular pumps located in the sarcoplasmic or endoplasmic reticula of muscle cells. They are closely related to the plasma membrane Ca(2+)-ATPases, or PMCAs. SERCA2 belongs to the large family of P-type cation pumps that couple ATP hydrolysis with cation transport across membranes. The SERCA2 gene is mapped on 12q24.11. SERCA2 was expressed in all specimens, with pronounced expression in the subnuclear aspect of basal epidermal keratinocytes. There was variable suprabasal expression.SERCA2 expression was also observed in the infundibulum and outer root sheath of hair follicles; germinative and mature cells of sebaceous glands; secretory coil and duct of eccrine glands; apocrine gland cells; and arrector pili muscle. In Darier disease skin, strong SERCA2 positivity was detected in the basal, suprabasal, and acantholytic lesional cells. Perilesional Darier disease skin was comparable to normal skin.
NCBI and Uniprot Product Information
Customer Reviews
Loading reviews...
Share Your Experience
Similar Products
Product Notes
The ATP2A2 atp2a2 (Catalog #AAA44932) is an Antibody produced from Rabbit and is intended for research purposes only. The product is available for immediate purchase. The Anti-SERCA2 ATPase antibody reacts with Human, Mouse, Rat and may cross-react with other species as described in the data sheet. AAA Biotech's SERCA2 ATPase can be used in a range of immunoassay formats including, but not limited to, IHC (Immunohistochemistry), WB (Western Blot). Researchers should empirically determine the suitability of the ATP2A2 atp2a2 for an application not listed in the data sheet. Researchers commonly develop new applications and it is an integral, important part of the investigative research process. It is sometimes possible for the material contained within the vial of "SERCA2 ATPase, Polyclonal Antibody" to become dispersed throughout the inside of the vial, particularly around the seal of said vial, during shipment and storage. We always suggest centrifuging these vials to consolidate all of the liquid away from the lid and to the bottom of the vial prior to opening. Please be advised that certain products may require dry ice for shipping and that, if this is the case, an additional dry ice fee may also be required.Precautions
All products in the AAA Biotech catalog are strictly for research-use only, and are absolutely not suitable for use in any sort of medical, therapeutic, prophylactic, in-vivo, or diagnostic capacity. By purchasing a product from AAA Biotech, you are explicitly certifying that said products will be properly tested and used in line with industry standard. AAA Biotech and its authorized distribution partners reserve the right to refuse to fulfill any order if we have any indication that a purchaser may be intending to use a product outside of our accepted criteria.Disclaimer
Though we do strive to guarantee the information represented in this datasheet, AAA Biotech cannot be held responsible for any oversights or imprecisions. AAA Biotech reserves the right to adjust any aspect of this datasheet at any time and without notice. It is the responsibility of the customer to inform AAA Biotech of any product performance issues observed or experienced within 30 days of receipt of said product. To see additional details on this or any of our other policies, please see our Terms & Conditions page.Item has been added to Shopping Cart
If you are ready to order, navigate to Shopping Cart and get ready to checkout.
