Rabbit SETD2 Polyclonal Antibody | anti-SETD2 antibody
Phospho-SETD2 (Ser532) Antibody
Predicted: Pig, Bovine, Horse, Sheep, Dog
Predicted: Pig, Bovine, Horse, Sheep, Dog
WB (Western Blot)
(Western blot analysis of Phospho-SETD2(Ser532) in lysates of HeLa?, using Phospho-SETD2(Ser532) Antibody.)
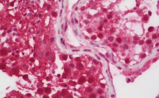
IHC (Immunohistochemisry)
(At 1/100 staining mouse heart tissue sections by IHC-P. The tissue was formaldehyde fixed and a heat mediated antigen retrieval step in citrate buffer was performed. The tissue was then blocked and incubated with the antibody for 1.5 hours at 22 degree C. An HRP conjugated goat anti-rabbit antibody was used as the secondary)
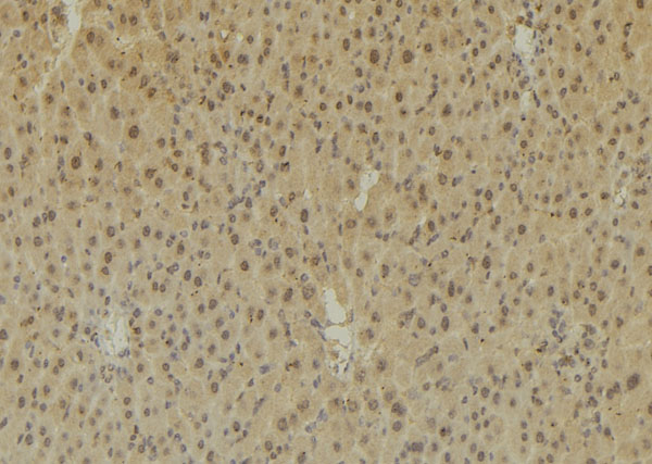
IHC (Immunohiostchemistry)
(At 1/100 staining rat liver tissue sections by IHC-P. The tissue was formaldehyde fixed and a heat mediated antigen retrieval step in citrate buffer was performed. The tissue was then blocked and incubated with the antibody for 1.5 hours at 22 degree C. An HRP conjugated goat anti-rabbit antibody was used as the secondary)
IHC (Immunohistochemistry)
(At 1/100 staining human kidney tissue sections by IHC-P. The tissue was formaldehyde fixed and a heat mediated antigen retrieval step in citrate buffer was performed. The tissue was then blocked and incubated with the antibody for 1.5 hours at 22 degree C. An HRP conjugated goat anti-rabbit antibody was used as the secondary)
Post Translational Modifications: May be automethylated.
Subunit Structure: Specifically interacts with hyperphosphorylated C-terminal domain (CTD) of RNA polymerase II large subunit (POLR2A): binds to CTD heptad repeats doubly phosphorylated on 'Ser-2' and 'Ser-5' of each heptad (PubMed:16118227, PubMed:16314571). Interacts with HTT (PubMed:11461154, PubMed:9700202, PubMed:10958656). Interacts with IWS1 (PubMed:19141475). Interacts with p53/TP53; leading to regulate p53/TP53 target genes (PubMed:18585004). Component of a complex with HNRNPL (PubMed:19332550). Interacts with TUBA1A; the interaction is independent on alpha-tubulin acetylation on 'Lys-40' (PubMed:27518565). Interacts with STAT1 (PubMed:28753426).
Similarity: The low charge region mediates the transcriptional activation activity. The catalytic SET domain binds histone H3 (PubMed:27474439, PubMed:28256625). It is also able to bind oncogenic histone H3 K36M/I found in a number of cancer types, in which histone H3 'Lys-36' is replaced by a Met or an Ile residue. When binding the oncogenic variant histone H3 K36M/I, the SET domain undergoes dramatic conformational change to accommodate the histone H3 peptide, leading to sequester and inhibit SETD2 activity and block global H3K36 methylation (PubMed:27474439, PubMed:28256625). Belongs to the class V-like SAM-binding methyltransferase superfamily. Histone-lysine methyltransferase family. SET2 subfamily.
NCBI and Uniprot Product Information
Predicted: 288 kDa
Customer Reviews
Loading reviews...
Share Your Experience
Similar Products
Product Notes
The SETD2 setd2 (Catalog #AAA328253) is an Antibody produced from Rabbit and is intended for research purposes only. The product is available for immediate purchase. The Phospho-SETD2 (Ser532) Antibody reacts with Human, Mouse, Rat Predicted: Pig, Bovine, Horse, Sheep, Dog and may cross-react with other species as described in the data sheet. AAA Biotech's SETD2 can be used in a range of immunoassay formats including, but not limited to, ELISA (Peptide ELISA), IHC (Immunohistochemistry), WB (Western Blot). Researchers should empirically determine the suitability of the SETD2 setd2 for an application not listed in the data sheet. Researchers commonly develop new applications and it is an integral, important part of the investigative research process. It is sometimes possible for the material contained within the vial of "SETD2, Polyclonal Antibody" to become dispersed throughout the inside of the vial, particularly around the seal of said vial, during shipment and storage. We always suggest centrifuging these vials to consolidate all of the liquid away from the lid and to the bottom of the vial prior to opening. Please be advised that certain products may require dry ice for shipping and that, if this is the case, an additional dry ice fee may also be required.Precautions
All products in the AAA Biotech catalog are strictly for research-use only, and are absolutely not suitable for use in any sort of medical, therapeutic, prophylactic, in-vivo, or diagnostic capacity. By purchasing a product from AAA Biotech, you are explicitly certifying that said products will be properly tested and used in line with industry standard. AAA Biotech and its authorized distribution partners reserve the right to refuse to fulfill any order if we have any indication that a purchaser may be intending to use a product outside of our accepted criteria.Disclaimer
Though we do strive to guarantee the information represented in this datasheet, AAA Biotech cannot be held responsible for any oversights or imprecisions. AAA Biotech reserves the right to adjust any aspect of this datasheet at any time and without notice. It is the responsibility of the customer to inform AAA Biotech of any product performance issues observed or experienced within 30 days of receipt of said product. To see additional details on this or any of our other policies, please see our Terms & Conditions page.Item has been added to Shopping Cart
If you are ready to order, navigate to Shopping Cart and get ready to checkout.
