Rabbit anti-Human SFTPC Polyclonal Antibody | anti-SFTPC antibody
SFTPC Antibody (C-term)
IF (Immunofluorescence)
(Confocal immunofluorescent analysis of SFTPC Antibody (C-term) with HepG2 cell followed by Alexa Fluor 488-conjugated goat anti-rabbit lgG (green). DAPI was used to stain the cell nuclear (blue).)
IHC (Immunohistochemisry)
(All lanes: Anti-SFTPC Antibody (C-term) at 1:2000 dilutionLane 1: human lung IysatesLane 2: K562 whole cell Iysates Lysates/proteins at 20 ug per lane.Secondary Goat Anti-Rabbit igG. (H+L), Peroxidase conjugated at 1/10000 dilution.Predicted band size: 21 kDaBlocking/Dilution buffer: 5% NFDM/TBST.)
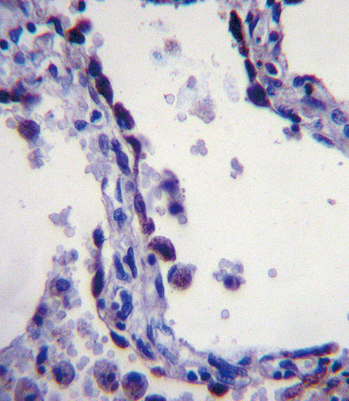
IHC (Immunohiostchemistry)
(SFTPC in human lung adenocarcinoma sections by Immunohistochemistry (IHC-Pparaformaldehyde-fixed, paraffin-embedded sections). Tissue was fixed with formaldehyde and blocked with 3% BSA for O. 5 hour at room temperature; antigen retrieval was by heat mediation with a citrate buffer (pH6). Samples were incubated with primary antibody (1/25) for 1 hours at 3rc. A undiluted biotinylated goat polyvalent antibody was used as the secondary antibody.)
WB (Western Blot)
(SFTPC Antibody (C-term) western blot analysis in Jurkat cell line lysates (35ug/lane).This demonstrates the SFTPC antibody detected the SFTPC protein (arrow).)
protein C (SPC), an extremely hydrophobic surfactant protein
essential for lung function and homeostasis after birth. Pulmonary
surfactant is a surface-active lipoprotein complex composed of 90%
lipids and 10% proteins which include plasma proteins and
apolipoproteins SPA, SPB, SPC and SPD. The surfactant is secreted
by the alveolar cells of the lung and maintains the stability of
pulmonary tissue by reducing the surface tension of fluids that
coat the lung. Multiple mutations in this gene have been
identified, which cause pulmonary surfactant metabolism dysfunction
type 2, also called pulmonary alveolar proteinosis due to
surfactant protein C deficiency, and are associated with
interstitial lung disease in older infants, children, and adults.
Alternatively spliced transcript variants encoding different
protein isoforms have been identified.
Schuurhof, A., et al. Pediatr. Pulmonol. 45(6):608-613(2010)
Thouvenin, G., et al. Arch. Dis. Child. 95(6):449-454(2010)
Crossno, P.F., et al. Chest 137(4):969-973(2010)
Davila, S., et al. Genes Immun. 11(3):232-238(2010)
NCBI and Uniprot Product Information
Customer Reviews
Loading reviews...
Share Your Experience
Similar Products
Product Notes
The SFTPC sftpc (Catalog #AAA286640) is an Antibody produced from Rabbit and is intended for research purposes only. The product is available for immediate purchase. The immunogen sequence is 144-173. The SFTPC Antibody (C-term) reacts with Human and may cross-react with other species as described in the data sheet. AAA Biotech's SFTPC can be used in a range of immunoassay formats including, but not limited to, IF (Immunofluorescence), IHC (Immunohistochemistry), ELISA, WB (Western Blot). Researchers should empirically determine the suitability of the SFTPC sftpc for an application not listed in the data sheet. Researchers commonly develop new applications and it is an integral, important part of the investigative research process. It is sometimes possible for the material contained within the vial of "SFTPC, Polyclonal Antibody" to become dispersed throughout the inside of the vial, particularly around the seal of said vial, during shipment and storage. We always suggest centrifuging these vials to consolidate all of the liquid away from the lid and to the bottom of the vial prior to opening. Please be advised that certain products may require dry ice for shipping and that, if this is the case, an additional dry ice fee may also be required.Precautions
All products in the AAA Biotech catalog are strictly for research-use only, and are absolutely not suitable for use in any sort of medical, therapeutic, prophylactic, in-vivo, or diagnostic capacity. By purchasing a product from AAA Biotech, you are explicitly certifying that said products will be properly tested and used in line with industry standard. AAA Biotech and its authorized distribution partners reserve the right to refuse to fulfill any order if we have any indication that a purchaser may be intending to use a product outside of our accepted criteria.Disclaimer
Though we do strive to guarantee the information represented in this datasheet, AAA Biotech cannot be held responsible for any oversights or imprecisions. AAA Biotech reserves the right to adjust any aspect of this datasheet at any time and without notice. It is the responsibility of the customer to inform AAA Biotech of any product performance issues observed or experienced within 30 days of receipt of said product. To see additional details on this or any of our other policies, please see our Terms & Conditions page.Item has been added to Shopping Cart
If you are ready to order, navigate to Shopping Cart and get ready to checkout.
