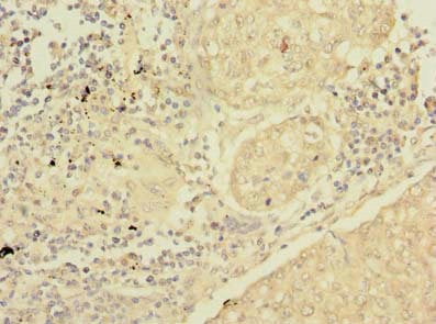
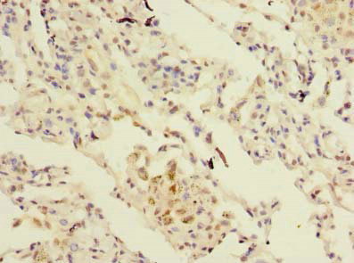
Rabbit anti-Human SFTPC Polyclonal Antibody | anti-SFTPC antibody
SFTPC Antibody
Gene Names
SFTPC; SP-C; PSP-C; SFTP2; SMDP2; BRICD6
Reactivity
Human
Applications
Immunohistochemistry, ELISA
Purity
Affinity Purified
Synonyms
SFTPC, Antibody; SFTPC Antibody; Pulmonary surfactant-associated protein C; SP-C; SFTPC; SFTP2; Pulmonary surfactant-associated proteolipid SPL(Val); SP5; anti-SFTPC antibody
Host
Rabbit
Reactivity
Human
Clonality
Polyclonal
Isotype
IgG
Purity/Purification
Affinity Purified
Form/Format
Liquid
Sequence Length
191
Applicable Applications for anti-SFTPC antibody
IHC (Immunohistochemistry), ELISA
Immunogen
Recombinant human Pulmonary surfactant-associated protein C protein
Conjugation
Non-conjugated
Storage Buffer
Preservative: 0.03% Proclin 300; Constituents: 50% Glycerol, 0.01M PBS, PH 7.4
Santa Cruz Alternative
Potential replacement for Santa Cruz Biotechnology antibody catalog# sc-7705 / sc-13979
Preparation and Storage
Shipped at 4 degree C. Upon delivery, aliquot and store at -20 degree C or -80 degree C.
Related Product Information for anti-SFTPC antibody
Pulmonary surfactant associated proteins promote alveolar stability by lowering the surface tension at the air-liquid interface in the peripheral air spaces.
NCBI and Uniprot Product Information
NCBI GI #
NCBI GeneID
NCBI Accession #
NCBI GenBank Nucleotide #
Molecular Weight
20,361 Da
NCBI Official Full Name
pulmonary surfactant-associated protein C isoform 2
NCBI Official Synonym Full Names
surfactant protein C
NCBI Official Symbol
SFTPC
NCBI Official Synonym Symbols
SP-C; PSP-C; SFTP2; SMDP2; BRICD6
NCBI Protein Information
pulmonary surfactant-associated protein C
UniProt Protein Name
Pulmonary surfactant-associated protein C
UniProt Gene Name
SFTPC
UniProt Synonym Gene Names
SFTP2; SP-C
UniProt Entry Name
PSPC_HUMAN
Customer Reviews
Loading reviews...
Share Your Experience
Similar Products
Product Notes
The SFTPC sftpc (Catalog #AAA230277) is an Antibody produced from Rabbit and is intended for research purposes only. The product is available for immediate purchase. The SFTPC Antibody reacts with Human and may cross-react with other species as described in the data sheet. AAA Biotech's SFTPC can be used in a range of immunoassay formats including, but not limited to, IHC (Immunohistochemistry), ELISA. Researchers should empirically determine the suitability of the SFTPC sftpc for an application not listed in the data sheet. Researchers commonly develop new applications and it is an integral, important part of the investigative research process. It is sometimes possible for the material contained within the vial of "SFTPC, Polyclonal Antibody" to become dispersed throughout the inside of the vial, particularly around the seal of said vial, during shipment and storage. We always suggest centrifuging these vials to consolidate all of the liquid away from the lid and to the bottom of the vial prior to opening. Please be advised that certain products may require dry ice for shipping and that, if this is the case, an additional dry ice fee may also be required.Precautions
All products in the AAA Biotech catalog are strictly for research-use only, and are absolutely not suitable for use in any sort of medical, therapeutic, prophylactic, in-vivo, or diagnostic capacity. By purchasing a product from AAA Biotech, you are explicitly certifying that said products will be properly tested and used in line with industry standard. AAA Biotech and its authorized distribution partners reserve the right to refuse to fulfill any order if we have any indication that a purchaser may be intending to use a product outside of our accepted criteria.Disclaimer
Though we do strive to guarantee the information represented in this datasheet, AAA Biotech cannot be held responsible for any oversights or imprecisions. AAA Biotech reserves the right to adjust any aspect of this datasheet at any time and without notice. It is the responsibility of the customer to inform AAA Biotech of any product performance issues observed or experienced within 30 days of receipt of said product. To see additional details on this or any of our other policies, please see our Terms & Conditions page.Item has been added to Shopping Cart
If you are ready to order, navigate to Shopping Cart and get ready to checkout.
