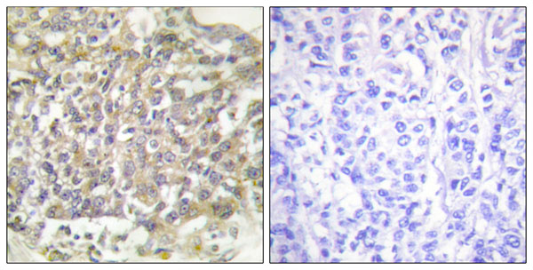
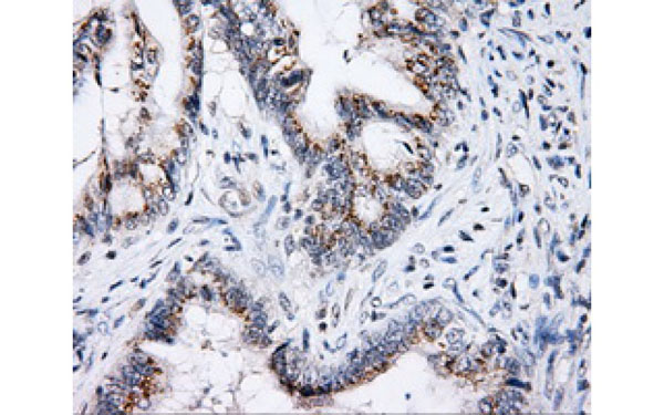
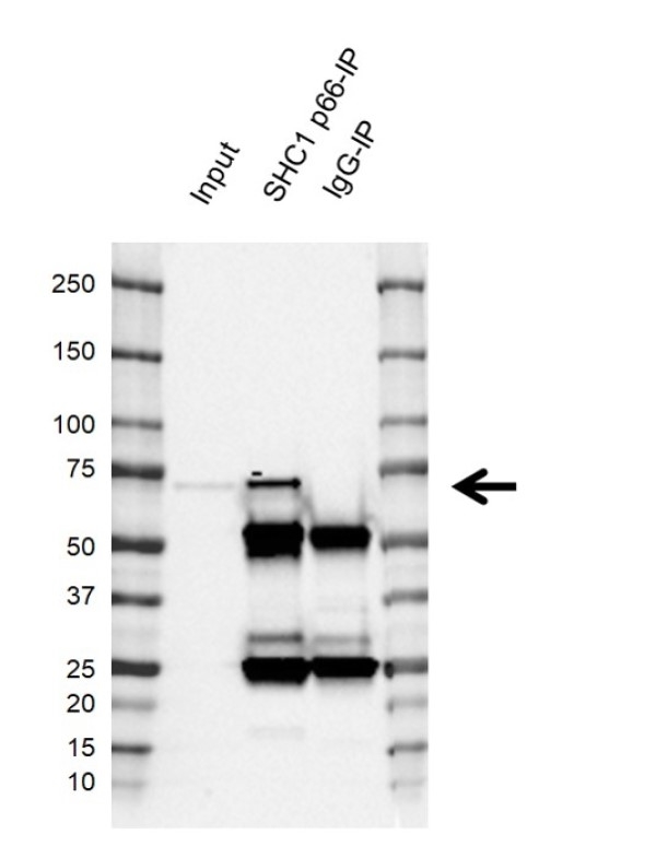
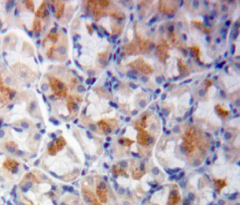
Rabbit anti-Human, Mouse SHC1 Polyclonal Antibody | anti-SHC1 antibody
SHC1 (Ab-349) Antibody
Gene Names
SHC1; SHC; SHCA
Reactivity
Human, Mouse
Applications
Immunofluorescence, Western Blot, ELISA
Purity
Antibodies were produced by immunizing rabbits with synthetic peptide and KLH conjugates. Antibodies were Purified by affinity-chromatography using epitope-specific peptide.
Synonyms
SHC1, Antibody; SHC1 (Ab-349) Antibody; SH2 domain protein C1; SHC; SHC-Transforming protein 1; SHCA; Src homology 2 domain-containing-Transforming protein C1; anti-SHC1 antibody
Host
Rabbit
Reactivity
Human, Mouse
Clonality
Polyclonal
Isotype
IgG
Purity/Purification
Antibodies were produced by immunizing rabbits with synthetic peptide and KLH conjugates. Antibodies were Purified by affinity-chromatography using epitope-specific peptide.
Form/Format
Liquid; Supplied at 1.0mg/mL In Phosphate Buffered Saline (without Mg2+ and Ca2+), pH 7.4, 150mM NaCl, 0.02% Sodium Azide and 50% Glycerol.
Applicable Applications for anti-SHC1 antibody
IF (Immunofluorescence), WB (Western Blot), ELISA
Immunogen
Peptide sequence around aa.347~351 (H-Q-Y-Y-N) derived from Human Shc1.
Immunogen Species
Human
Conjugate
Non-conjugated
Preparation and Storage
Upon receipt, store at -20 degree C or -80 degree C. Avoid repeated freeze.
Product Categories/Family for anti-SHC1 antibody
NCBI and Uniprot Product Information
NCBI GI #
NCBI GeneID
NCBI Accession #
NCBI GenBank Nucleotide #
UniProt Accession #
Molecular Weight
62,822 Da
NCBI Official Full Name
SHC-transforming protein 1 isoform 3
NCBI Official Synonym Full Names
SHC (Src homology 2 domain containing) transforming protein 1
NCBI Official Symbol
SHC1
NCBI Official Synonym Symbols
SHC; SHCA
NCBI Protein Information
SHC-transforming protein 1; SH2 domain protein C1; SHC-transforming protein 3; SHC-transforming protein A; SHC (Src homology 2 domain-containing) transforming protein 1
UniProt Protein Name
SHC-transforming protein 1
UniProt Gene Name
SHC1
UniProt Synonym Gene Names
SHC; SHCA; SH2 domain protein C1
UniProt Entry Name
SHC1_HUMAN
Customer Reviews
Loading reviews...
Share Your Experience
Similar Products
Product Notes
The SHC1 shc1 (Catalog #AAA242212) is an Antibody produced from Rabbit and is intended for research purposes only. The product is available for immediate purchase. The SHC1 (Ab-349) Antibody reacts with Human, Mouse and may cross-react with other species as described in the data sheet. AAA Biotech's SHC1 can be used in a range of immunoassay formats including, but not limited to, IF (Immunofluorescence), WB (Western Blot), ELISA. Researchers should empirically determine the suitability of the SHC1 shc1 for an application not listed in the data sheet. Researchers commonly develop new applications and it is an integral, important part of the investigative research process. It is sometimes possible for the material contained within the vial of "SHC1, Polyclonal Antibody" to become dispersed throughout the inside of the vial, particularly around the seal of said vial, during shipment and storage. We always suggest centrifuging these vials to consolidate all of the liquid away from the lid and to the bottom of the vial prior to opening. Please be advised that certain products may require dry ice for shipping and that, if this is the case, an additional dry ice fee may also be required.Precautions
All products in the AAA Biotech catalog are strictly for research-use only, and are absolutely not suitable for use in any sort of medical, therapeutic, prophylactic, in-vivo, or diagnostic capacity. By purchasing a product from AAA Biotech, you are explicitly certifying that said products will be properly tested and used in line with industry standard. AAA Biotech and its authorized distribution partners reserve the right to refuse to fulfill any order if we have any indication that a purchaser may be intending to use a product outside of our accepted criteria.Disclaimer
Though we do strive to guarantee the information represented in this datasheet, AAA Biotech cannot be held responsible for any oversights or imprecisions. AAA Biotech reserves the right to adjust any aspect of this datasheet at any time and without notice. It is the responsibility of the customer to inform AAA Biotech of any product performance issues observed or experienced within 30 days of receipt of said product. To see additional details on this or any of our other policies, please see our Terms & Conditions page.Item has been added to Shopping Cart
If you are ready to order, navigate to Shopping Cart and get ready to checkout.
