Rabbit anti-Human SHOX2 Polyclonal Antibody | anti-SHOX2 antibody
SHOX2 Antibody
Gene Names
SHOX2; OG12; SHOT; OG12X
Reactivity
Human
Applications
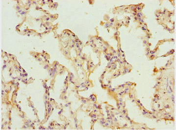
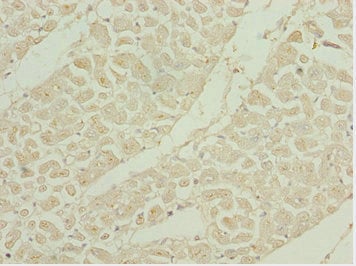
Immunohistochemistry, ELISA
Purity
Antigen Affinity Purified
Synonyms
SHOX2, Antibody; SHOX2 Antibody; Short stature homeobox protein 2; Homeobox protein Og12X; Paired-related homeobox protein SHOT; SHOX2; OG12X; SHOT; anti-SHOX2 antibody
Host
Rabbit
Reactivity
Human
Clonality
Polyclonal
Isotype
IgG
Purity/Purification
Antigen Affinity Purified
Form/Format
Liquid
Sequence Length
319
Applicable Applications for anti-SHOX2 antibody
IHC (Immunohistochemistry), ELISA
Species
Human
Immunogen
Recombinant human Short stature homeobox protein 2 protein (C-260AA)
Conjugate
Non-conjugated
Buffer
PBS with 0.02% sodium azide, 50% glycerol, pH7.3.
Santa Cruz Alternative
Potential replacement for Santa Cruz Biotechnology antibody catalog# sc-21898
Preparation and Storage
Shipped at 4 degree C. Upon delivery aliquot and store at -20 degree C or -80 degree C. Avoid repeated freeze.
Related Product Information for anti-SHOX2 antibody
May be a growth regulator and have a role in specifying neural systems involved in processing somatosensory information, as well as in face and body structure formation.
NCBI and Uniprot Product Information
NCBI GI #
NCBI GeneID
NCBI Accession #
NCBI GenBank Nucleotide #
Molecular Weight
37,634 Da
NCBI Official Full Name
short stature homeobox protein 2 isoform c
NCBI Official Synonym Full Names
short stature homeobox 2
NCBI Official Symbol
SHOX2
NCBI Official Synonym Symbols
OG12; SHOT; OG12X
NCBI Protein Information
short stature homeobox protein 2
UniProt Protein Name
Short stature homeobox protein 2
UniProt Gene Name
SHOX2
UniProt Synonym Gene Names
OG12X; SHOT
UniProt Entry Name
SHOX2_HUMAN
Customer Reviews
Loading reviews...
Share Your Experience
Similar Products
Product Notes
The SHOX2 shox2 (Catalog #AAA230922) is an Antibody produced from Rabbit and is intended for research purposes only. The product is available for immediate purchase. The SHOX2 Antibody reacts with Human and may cross-react with other species as described in the data sheet. AAA Biotech's SHOX2 can be used in a range of immunoassay formats including, but not limited to, IHC (Immunohistochemistry), ELISA. Researchers should empirically determine the suitability of the SHOX2 shox2 for an application not listed in the data sheet. Researchers commonly develop new applications and it is an integral, important part of the investigative research process. It is sometimes possible for the material contained within the vial of "SHOX2, Polyclonal Antibody" to become dispersed throughout the inside of the vial, particularly around the seal of said vial, during shipment and storage. We always suggest centrifuging these vials to consolidate all of the liquid away from the lid and to the bottom of the vial prior to opening. Please be advised that certain products may require dry ice for shipping and that, if this is the case, an additional dry ice fee may also be required.Precautions
All products in the AAA Biotech catalog are strictly for research-use only, and are absolutely not suitable for use in any sort of medical, therapeutic, prophylactic, in-vivo, or diagnostic capacity. By purchasing a product from AAA Biotech, you are explicitly certifying that said products will be properly tested and used in line with industry standard. AAA Biotech and its authorized distribution partners reserve the right to refuse to fulfill any order if we have any indication that a purchaser may be intending to use a product outside of our accepted criteria.Disclaimer
Though we do strive to guarantee the information represented in this datasheet, AAA Biotech cannot be held responsible for any oversights or imprecisions. AAA Biotech reserves the right to adjust any aspect of this datasheet at any time and without notice. It is the responsibility of the customer to inform AAA Biotech of any product performance issues observed or experienced within 30 days of receipt of said product. To see additional details on this or any of our other policies, please see our Terms & Conditions page.Item has been added to Shopping Cart
If you are ready to order, navigate to Shopping Cart and get ready to checkout.
