SLC12A1 Polyclonal Antibody | anti-SLC12A1 antibody
Anti-SLC12A1 Antibody
IHC (Immunohistochemistry)
(Anti- SLC12A1 Picoband antibody, AAA46231, IHC(P)IHC(P): Human Kidney Cancer Tissue)
IHC (Immunohistochemisry)
(Anti- SLC12A1 Picoband antibody, AAA46231, IHC(P)IHC(P): Rat Kidney Tissue)
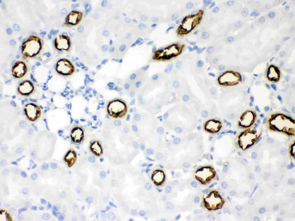
IHC (Immunohiostchemistry)
(Anti- SLC12A1 Picoband antibody, AAA46231, IHC(P)IHC(P): Mouse Kidney Tissue)
WB (Western Blot)
(Anti- SLC12A1 Picoband antibody, AAA46231, Western blottingAll lanes: Anti SLC12A1 (AAA46231) at 0.5ug/mlLane 1: HELA Whole Cell Lysate at 40ugLane 2: JURKAT Whole Cell Lysate at 40ugLane 3: SKOV Whole Cell Lysate at 40ugLane 4: Mouse Kidney Tissue Lysate at 50ugPredicted bind size: 121KDObserved bind size: 121KD)
Background: Solute carrier family 12 (sodium/potassium/chloride transporters), member 1, also called NKCC2 is specifically found in cells of the thick ascending limb of the loop of Henle in nephrons, the basic functional units of the kidney. This gene is mapped to 15q21.1. This gene encodes a kidney-specific sodium-potassium-chloride cotransporter that is expressed on the luminal membrane of renal epithelial cells of the thick ascending limb of Henle's loop and the macula densa. It plays a key role in concentrating urine and accounts for most of the NaCl resorption. It is sensitive to such diuretics as furosemide and bumetanide. Some Bartter-like syndromes result from defects in this gene. This gene plays a vital role in the regulation of ionic balance and cell volume.
NCBI and Uniprot Product Information
Customer Reviews
Loading reviews...
Share Your Experience
Similar Products
Product Notes
The SLC12A1 slc12a1 (Catalog #AAA46231) is an Antibody and is intended for research purposes only. The product is available for immediate purchase. The Anti-SLC12A1 Antibody reacts with Human, Mouse, Rat and may cross-react with other species as described in the data sheet. AAA Biotech's SLC12A1 can be used in a range of immunoassay formats including, but not limited to, IHC (Immunohistochemistry), WB (Western Blot). Researchers should empirically determine the suitability of the SLC12A1 slc12a1 for an application not listed in the data sheet. Researchers commonly develop new applications and it is an integral, important part of the investigative research process. It is sometimes possible for the material contained within the vial of "SLC12A1, Polyclonal Antibody" to become dispersed throughout the inside of the vial, particularly around the seal of said vial, during shipment and storage. We always suggest centrifuging these vials to consolidate all of the liquid away from the lid and to the bottom of the vial prior to opening. Please be advised that certain products may require dry ice for shipping and that, if this is the case, an additional dry ice fee may also be required.Precautions
All products in the AAA Biotech catalog are strictly for research-use only, and are absolutely not suitable for use in any sort of medical, therapeutic, prophylactic, in-vivo, or diagnostic capacity. By purchasing a product from AAA Biotech, you are explicitly certifying that said products will be properly tested and used in line with industry standard. AAA Biotech and its authorized distribution partners reserve the right to refuse to fulfill any order if we have any indication that a purchaser may be intending to use a product outside of our accepted criteria.Disclaimer
Though we do strive to guarantee the information represented in this datasheet, AAA Biotech cannot be held responsible for any oversights or imprecisions. AAA Biotech reserves the right to adjust any aspect of this datasheet at any time and without notice. It is the responsibility of the customer to inform AAA Biotech of any product performance issues observed or experienced within 30 days of receipt of said product. To see additional details on this or any of our other policies, please see our Terms & Conditions page.Item has been added to Shopping Cart
If you are ready to order, navigate to Shopping Cart and get ready to checkout.
