Loading...

Skip to main content
Call us at +1-800-604-9114 for more information about our products or contact us online Need help? +1-800-604-9114 or contact us

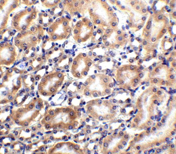
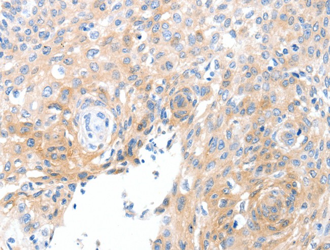
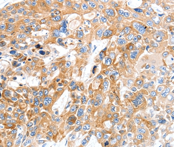
Rabbit Slc22A17 Polyclonal Antibody | anti-Slc22A17 antibody

Slc22A17 Antibody FITC Conjugated

Average rating 0.0
No ratings yet
Gene Names
SLC22A17; BOCT; BOIT; 24p3R; NGALR; hBOIT; NGALR2; NGALR3
Reactivity
Human, Mouse, Rat
Applications
Immunofluorescence
Purity
Purified by Protein A
Synonyms
Slc22A17, Antibody; Slc22A17 Antibody FITC Conjugated; BOCT; BOIT; 24p3R; NGALR; hBOIT; NGALR2; NGALR3; Solute carrier family 22 member 17; 24p3 receptor; Brain-type organic cation transporter; Lipocalin-2 receptor; Neutrophil gelatinase-associated lipocalin receptor; SLC22A17; anti-Slc22A17 antibody
Ordering
Host
Rabbit
Reactivity
Human, Mouse, Rat
Clonality
Polyclonal
Isotype
IgG
Purity/Purification
Purified by Protein A
Form/Format
0.01M TBS(pH7.4) with 1% BSA, 0.03% Proclin300 and 50% Glycerol.
Concentration
1mgml (varies by lot)
Applicable Applications for anti-Slc22A17 antibody
IF (Immunofluorescence)
Conjugation
FITC
Excitation Emission
494nm 518nm
Cell Localization
Cell membrane
Immunogen
KLH conjugated synthetic peptide aa 500-538 538 derived from human SLC22A17
Preparation and Storage
Store at -20°C for one year. Avoid repeated freeze/thaw cycles.
Related Product Information for anti-Slc22A17 antibody
Cell surface receptor for LCN2 (24p3) that plays a key role in iron homeostasis and transport. Able to bind iron-bound LCN2 (holo-24p3), followed by internalization of holo-24p3 and release of iron, thereby increasing intracellular iron concentration and leading to inhibition of apoptosis. Also binds iron-free LCN2 (apo-24p3), followed by internalization of apo-24p3 and its association with an intracellular siderophore, leading to iron chelation and iron transfer to the extracellular medium, thereby reducing intracellular iron concentration and resulting in apoptosis (By similarity).
Product Categories/Family for anti-Slc22A17 antibody

NCBI and Uniprot Product Information

NCBI GI #
NCBI GeneID
UniProt Accession #
NCBI Official Full Name
Solute carrier family 22 member 17
NCBI Official Synonym Full Names
solute carrier family 22, member 17
NCBI Official Symbol
SLC22A17
NCBI Official Synonym Symbols
BOCT; BOIT; 24p3R; NGALR; hBOIT; NGALR2; NGALR3
NCBI Protein Information
solute carrier family 22 member 17; 24p3 receptor; NGAL receptor; lipocalin-2 receptor; brain-type organic cation transporter; potent brain type organic ion transporter; neutrophil gelatinase-associated lipocalin receptor; solute carrier family 22 (organi
UniProt Protein Name
Solute carrier family 22 member 17
UniProt Gene Name
SLC22A17
UniProt Synonym Gene Names
BOCT; BOIT; 24p3R; NgalR
UniProt Entry Name
S22AH_HUMAN

Customer Reviews

View All Reviews

Loading reviews...

Share Your Experience

Rating

Similar Products

Product Notes

The Slc22A17 slc22a17 (Catalog #AAA312992) is an Antibody produced from Rabbit and is intended for research purposes only. The product is available for immediate purchase. The Slc22A17 Antibody FITC Conjugated reacts with Human, Mouse, Rat and may cross-react with other species as described in the data sheet. AAA Biotech's Slc22A17 can be used in a range of immunoassay formats including, but not limited to, IF (Immunofluorescence). Researchers should empirically determine the suitability of the Slc22A17 slc22a17 for an application not listed in the data sheet. Researchers commonly develop new applications and it is an integral, important part of the investigative research process. It is sometimes possible for the material contained within the vial of "Slc22A17, Polyclonal Antibody" to become dispersed throughout the inside of the vial, particularly around the seal of said vial, during shipment and storage. We always suggest centrifuging these vials to consolidate all of the liquid away from the lid and to the bottom of the vial prior to opening. Please be advised that certain products may require dry ice for shipping and that, if this is the case, an additional dry ice fee may also be required.

Precautions

All products in the AAA Biotech catalog are strictly for research-use only, and are absolutely not suitable for use in any sort of medical, therapeutic, prophylactic, in-vivo, or diagnostic capacity. By purchasing a product from AAA Biotech, you are explicitly certifying that said products will be properly tested and used in line with industry standard. AAA Biotech and its authorized distribution partners reserve the right to refuse to fulfill any order if we have any indication that a purchaser may be intending to use a product outside of our accepted criteria.

Disclaimer

Though we do strive to guarantee the information represented in this datasheet, AAA Biotech cannot be held responsible for any oversights or imprecisions. AAA Biotech reserves the right to adjust any aspect of this datasheet at any time and without notice. It is the responsibility of the customer to inform AAA Biotech of any product performance issues observed or experienced within 30 days of receipt of said product. To see additional details on this or any of our other policies, please see our Terms & Conditions page.

Item has been added to Shopping Cart

If you are ready to order, navigate to Shopping Cart and get ready to checkout.

Submit a Question

Please complete the form below and a representative will contact you as soon as possible.

Request more Information

Please complete the form below and a representative will contact you as soon as possible.

Request a Manual

Please complete the form below and a representative will contact you as soon as possible.

Request a Quote

Please complete the form below and a representative will contact you as soon as possible.