Rabbit SLC9A3R1 Polyclonal Antibody | anti-SLC9A3R1 antibody
SLC9A3R1 Antibody
Phosphate buffered saline, pH 7.4, 150mM NaCl, 0.02% sodium azide and 50% glycerol.
IHC (Immunohistochemistry)
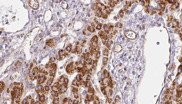
(AAA327445 at 1/100 staining Human liver cancer tissue by IHC-P. The sample was formaldehyde fixed and a heat mediated antigen retrieval step in citrate buffer was performed. The sample was then blocked and incubated with the antibody for 1.5 hours at 22 degree C. An HRP conjugated goat anti-rabbit antibody was used as the secondary.)
Subunit Structure: Homodimer, and heterodimer with SLC9A3R2. Binds the N-termini of EZR, RDX and MSN. Binds the C-termini of PDGFRA, PDGFRB, ADRB2, NOS2 and CFTR. Binds ARHGAP17, EPI64, RACK1, OPRK1, GNAQ, CTNNB1 and PLCB3. Binds PDZK1 (By similarity). Interacts with CLCN3. Binds the C-terminus of PAG1. In resting T-cells, part of a PAG1-SLC9A3R1-MSN complex which is disrupted upon TCR activation. Forms a complex with CFTR and SLC4A7. Forms a complex with SLC4A7 and ATP6V1B1. Interacts with TRPC4 (via the PDZ-binding domain). Directly interacts with HTR4 (By similarity). Interacts (via the PDZ 1 domain) with PODXL (via the C-terminal PDZ-binding motif DTHL); interaction is not detected in glomerular epithelium cells. Interacts (via the PDZ 1 domain) with PODXL (via the C-terminal PDZ-binding motif DTHL); the interaction take place early in the secretory pathway and is necessary for its apical membrane sorting (By similarity). Interacts with SLC26A3 (By similarity). Interacts with MCC. Interacts with SLC34A1. Interacts (via the PDZ domains) with SLC26A6 isoform 4 and isoform 5.
Post-translational Modifications: Phosphorylated on serine residues.
NCBI and Uniprot Product Information
Predicted: 39 kDa
Customer Reviews
Loading reviews...
Share Your Experience
Similar Products
Product Notes
The SLC9A3R1 slc9a3r1 (Catalog #AAA327445) is an Antibody produced from Rabbit and is intended for research purposes only. The product is available for immediate purchase. The SLC9A3R1 Antibody reacts with Human, Mouse, Rat and may cross-react with other species as described in the data sheet. AAA Biotech's SLC9A3R1 can be used in a range of immunoassay formats including, but not limited to, ELISA, IHC (Immunohistochemistry), WB (Western Blot). Researchers should empirically determine the suitability of the SLC9A3R1 slc9a3r1 for an application not listed in the data sheet. Researchers commonly develop new applications and it is an integral, important part of the investigative research process. It is sometimes possible for the material contained within the vial of "SLC9A3R1, Polyclonal Antibody" to become dispersed throughout the inside of the vial, particularly around the seal of said vial, during shipment and storage. We always suggest centrifuging these vials to consolidate all of the liquid away from the lid and to the bottom of the vial prior to opening. Please be advised that certain products may require dry ice for shipping and that, if this is the case, an additional dry ice fee may also be required.Precautions
All products in the AAA Biotech catalog are strictly for research-use only, and are absolutely not suitable for use in any sort of medical, therapeutic, prophylactic, in-vivo, or diagnostic capacity. By purchasing a product from AAA Biotech, you are explicitly certifying that said products will be properly tested and used in line with industry standard. AAA Biotech and its authorized distribution partners reserve the right to refuse to fulfill any order if we have any indication that a purchaser may be intending to use a product outside of our accepted criteria.Disclaimer
Though we do strive to guarantee the information represented in this datasheet, AAA Biotech cannot be held responsible for any oversights or imprecisions. AAA Biotech reserves the right to adjust any aspect of this datasheet at any time and without notice. It is the responsibility of the customer to inform AAA Biotech of any product performance issues observed or experienced within 30 days of receipt of said product. To see additional details on this or any of our other policies, please see our Terms & Conditions page.Item has been added to Shopping Cart
If you are ready to order, navigate to Shopping Cart and get ready to checkout.
