Rabbit SMNDC1 Polyclonal Antibody | anti-SMNDC1 antibody
SMNDC1 Antibody
Gene Names
SMNDC1; SMNR; SPF30; TDRD16C
Reactivity
Human, Mouse, Rat
Applications
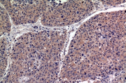
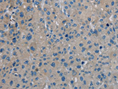
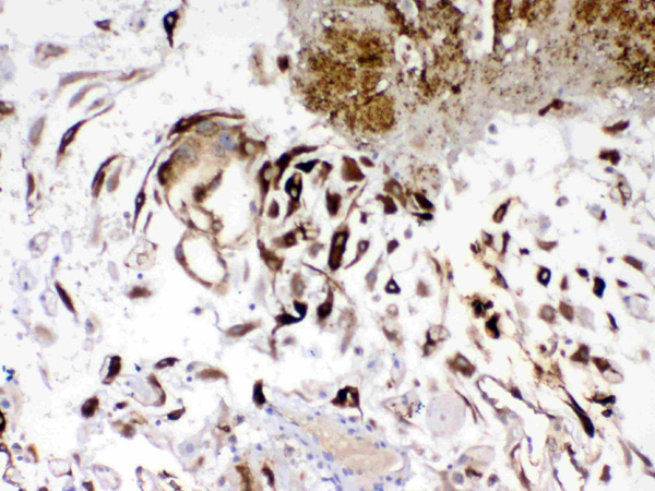
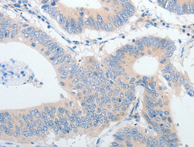
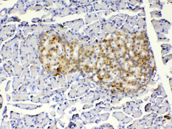
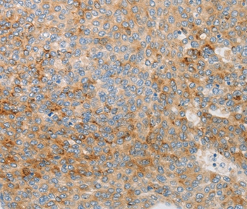
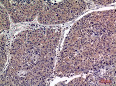
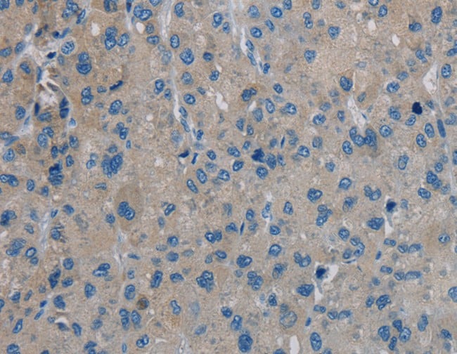
Immunohistochemistry, Western Blot
Purity
Antigen affinity purification
Synonyms
SMNDC1, Antibody; SMNDC1 Antibody; SMNDC1; SMNR; SPF30; anti-SMNDC1 antibody
Host
Rabbit
Reactivity
Human, Mouse, Rat
Clonality
Polyclonal
Isotype
IgG
Purity/Purification
Antigen affinity purification
Concentration
1mg/mL (varies by lot)
Sequence Length
238
Applicable Applications for anti-SMNDC1 antibody
IHC (Immunohistochemistry), WB (Western Blot)
Immunogen
Recombinant protein of human SMNDC1
Buffer
PBS with 0.02% sodium azide, 50% glycerol, pH7.3
Santa Cruz Alternative
Potential replacement for Santa Cruz Biotechnology antibody catalog# sc-66645 / sc-66647
Preparation and Storage
Store at -20 degree C (regular) and -80 degree C (long term). Avoid freeze / thaw cycles.
Related Product Information for anti-SMNDC1 antibody
SPF30 (survival of motor neuron-related-splicing factor 30), also known as SMNDC1 (survival motor neuron domain containing 1) or SMNR (SMN-related protein), is an essential splicing factor required for spliceosome assembly that belongs to the SMN family. It contains one Tudor domain with significant similarity to SMN (Survival Motor Neuron) and is expressed in skeletal muscle, pancreas and heart, localizing to Cajal bodies and nuclear speckles. SPF30 plays an important role in spliceosome assembly and directly interacts with five U snRNPs. The loss of SPF30 causes spliceosome assembly to arrest at prespliceosomes (A complex). This supports a function for SPF30 in mediating the incorporation/recruitment of U4/U5/U6 tri-snRNP to the prespliceosome. In addition, the overexpression of SPF30 can lead to apoptosis.
NCBI and Uniprot Product Information
NCBI GI #
NCBI GeneID
Molecular Weight
26,711 Da
NCBI Official Full Name
Survival of motor neuron-related-splicing factor 30
NCBI Official Synonym Full Names
survival motor neuron domain containing 1
NCBI Official Symbol
SMNDC1
NCBI Official Synonym Symbols
SMNR; SPF30; TDRD16C
NCBI Protein Information
survival of motor neuron-related-splicing factor 30; 30 kDa splicing factor SMNrp; SMN-related protein; splicing factor 30, survival of motor neuron-related; survival motor neuron domain-containing protein 1; tudor domain containing 16C
UniProt Protein Name
Survival of motor neuron-related-splicing factor 30
UniProt Gene Name
SMNDC1
UniProt Synonym Gene Names
SMNR; SPF30
UniProt Entry Name
SPF30_HUMAN
Similar Products
Product Notes
The SMNDC1 smndc1 (Catalog #AAA167764) is an Antibody produced from Rabbit and is intended for research purposes only. The product is available for immediate purchase. The SMNDC1 Antibody reacts with Human, Mouse, Rat and may cross-react with other species as described in the data sheet. AAA Biotech's SMNDC1 can be used in a range of immunoassay formats including, but not limited to, IHC (Immunohistochemistry), WB (Western Blot). Researchers should empirically determine the suitability of the SMNDC1 smndc1 for an application not listed in the data sheet. Researchers commonly develop new applications and it is an integral, important part of the investigative research process. It is sometimes possible for the material contained within the vial of "SMNDC1, Polyclonal Antibody" to become dispersed throughout the inside of the vial, particularly around the seal of said vial, during shipment and storage. We always suggest centrifuging these vials to consolidate all of the liquid away from the lid and to the bottom of the vial prior to opening. Please be advised that certain products may require dry ice for shipping and that, if this is the case, an additional dry ice fee may also be required.Precautions
All products in the AAA Biotech catalog are strictly for research-use only, and are absolutely not suitable for use in any sort of medical, therapeutic, prophylactic, in-vivo, or diagnostic capacity. By purchasing a product from AAA Biotech, you are explicitly certifying that said products will be properly tested and used in line with industry standard. AAA Biotech and its authorized distribution partners reserve the right to refuse to fulfill any order if we have any indication that a purchaser may be intending to use a product outside of our accepted criteria.Disclaimer
Though we do strive to guarantee the information represented in this datasheet, AAA Biotech cannot be held responsible for any oversights or imprecisions. AAA Biotech reserves the right to adjust any aspect of this datasheet at any time and without notice. It is the responsibility of the customer to inform AAA Biotech of any product performance issues observed or experienced within 30 days of receipt of said product. To see additional details on this or any of our other policies, please see our Terms & Conditions page.Item has been added to Shopping Cart
If you are ready to order, navigate to Shopping Cart and get ready to checkout.
