Goat Smooth muscle alpha-actin Polyclonal Antibody | anti-ACTA2 antibody
Goat anti-Smooth muscle alpha-actin Antibody
Expected from sequence similarity: Human, Mouse, Rat, Dog
Expected from sequence similarity: Human, Mouse, Rat, Dog
IF (Immunofluorescence)
(AAA61140 Immunofluorescence analysis of paraformaldehyde fixed HepG2 cells, permeabilized with 0.15% Triton. Primary incubation 1hr (10ug/ml) followed by Alexa Fluor 488 secondary antibody (1ug/ml), showing cytoplasmic staining. The nuclear stain is DAPI (blue). Negative control: Unimmunized goat IgG (10ug/ml) followed by Alexa Fluor 488 secondary antibody (1ug/ml). This data is from a previous batch, not on sale.)
IHC (Immunohistochemistry)
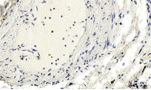
(AAA61140 Negative Control showing staining of paraffin embedded Human Lung, with no primary antibody. This data is from a previous batch, not on sale.)
IHC (Immunohistochemisry)
(AAA61140 (3.5 ug/ml) staining of paraffin embedded Human Lung. Heat induced antigen retrieval with citrate buffer pH 6, HRP-staining. This data is from a previous batch, not on sale.)
WB (Western Blot)
(AAA61140 (0.5ug/ml)staining of Human (A) and (1ug/ml) Mouse (B) Duodenum lysate (35ug protein in RIPA buffer). Detected by chemiluminescence.)
WB (Western Blot)
(AAA61140 (0.1ug/ml) staining of Human (A) and (0.3ug/ml) Rat (B) Duodenum lysate (35ug protein in RIPA buffer). Detected by chemiluminescence.)
NCBI and Uniprot Product Information
Customer Reviews
Loading reviews...
Share Your Experience
Similar Products
Product Notes
The ACTA2 acta2 (Catalog #AAA61140) is an Antibody produced from Goat and is intended for research purposes only. The product is available for immediate purchase. The Goat anti-Smooth muscle alpha-actin Antibody reacts with Tested: Human, Mouse Expected from sequence similarity: Human, Mouse, Rat, Dog and may cross-react with other species as described in the data sheet. AAA Biotech's Smooth muscle alpha-actin can be used in a range of immunoassay formats including, but not limited to, WB (Western Blot), ELISA (Peptide ELISA). Researchers should empirically determine the suitability of the ACTA2 acta2 for an application not listed in the data sheet. Researchers commonly develop new applications and it is an integral, important part of the investigative research process. The amino acid sequence is listed below: EEEDSTALVC. It is sometimes possible for the material contained within the vial of "Smooth muscle alpha-actin, Polyclonal Antibody" to become dispersed throughout the inside of the vial, particularly around the seal of said vial, during shipment and storage. We always suggest centrifuging these vials to consolidate all of the liquid away from the lid and to the bottom of the vial prior to opening. Please be advised that certain products may require dry ice for shipping and that, if this is the case, an additional dry ice fee may also be required.Precautions
All products in the AAA Biotech catalog are strictly for research-use only, and are absolutely not suitable for use in any sort of medical, therapeutic, prophylactic, in-vivo, or diagnostic capacity. By purchasing a product from AAA Biotech, you are explicitly certifying that said products will be properly tested and used in line with industry standard. AAA Biotech and its authorized distribution partners reserve the right to refuse to fulfill any order if we have any indication that a purchaser may be intending to use a product outside of our accepted criteria.Disclaimer
Though we do strive to guarantee the information represented in this datasheet, AAA Biotech cannot be held responsible for any oversights or imprecisions. AAA Biotech reserves the right to adjust any aspect of this datasheet at any time and without notice. It is the responsibility of the customer to inform AAA Biotech of any product performance issues observed or experienced within 30 days of receipt of said product. To see additional details on this or any of our other policies, please see our Terms & Conditions page.Item has been added to Shopping Cart
If you are ready to order, navigate to Shopping Cart and get ready to checkout.
